Deep learning reconstruction for detection of liver lesions at standard-dose and reduced-dose abdominal CT.

IF 4.7 2区 医学 Q1 RADIOLOGY, NUCLEAR MEDICINE & MEDICAL IMAGING
European Radiology Pub Date : 2025-10-01 Epub Date: 2025-04-19 DOI:10.1007/s00330-025-11596-z
Tormund H Njølstad, Kristin Jensen, Hilde K Andersen, Audun E Berstad, Gaute Hagen, Cathrine K Johansen, Kjetil Øye, Jan Glittum, Anniken Dybwad, Emma Thingstad, Marianne G Guren, Johann Baptist Dormagen, Anselm Schulz
{"title":"Deep learning reconstruction for detection of liver lesions at standard-dose and reduced-dose abdominal CT.","authors":"Tormund H Njølstad, Kristin Jensen, Hilde K Andersen, Audun E Berstad, Gaute Hagen, Cathrine K Johansen, Kjetil Øye, Jan Glittum, Anniken Dybwad, Emma Thingstad, Marianne G Guren, Johann Baptist Dormagen, Anselm Schulz","doi":"10.1007/s00330-025-11596-z","DOIUrl":null,"url":null,"abstract":"<p><strong>Objectives: </strong>Deep learning reconstruction (DLR) has shown promising image denoising ability, but its radiation dose reduction potential remains unknown. The objective of this study was to investigate the diagnostic performance of DLR compared to iterative reconstruction (IR) in the detection of liver lesions at standard-dose and reduced-dose CT.</p><p><strong>Materials and methods: </strong>Participants with known liver metastases from gastrointestinal and pancreatic adenocarcinoma were prospectively included from routine follow-up (October 2020 to March 2022). Participants received standard-dose CT and two additional reduced-dose scans during the same contrast administration, each reconstructed with IR and high-strength DLR. Two radiologists evaluated images for the presence of liver lesions, and a third established a reference standard. Diagnostic performance was compared using McNemar's test and mixed effects logistic regression.</p><p><strong>Results: </strong>Forty-four participants (mean age 66 years ± 11 [standard deviation], 28 men) were evaluated with 348 included liver lesions ≤ 20 mm (297 metastases, 51 benign; mean size 9.1 ± 4.3 mm). Mean volume CT dose index was 14.2, 7.8 mGy, and 5.1 mGy. Between algorithms, no significant difference in lesion detection was observed within dose levels. Detection of 233 lesions ≤ 10 mm was deteriorated with lower dose levels despite DLR denoising, with 185 detected at standard-dose IR (79.4%; 95% CI: 73.5-84.3) vs 128 at medium-dose DLR (54.9%; 95% CI: 48.3-61.4; p < 0.001) and 105 at low-dose DLR (45.1%; 95% CI: 38.6-51.7; p < 0.001).</p><p><strong>Conclusion: </strong>Diagnostic performance for liver lesion detection was comparable between algorithms. When the detection of smaller lesions is important, DLR did not facilitate substantial dose reduction.</p><p><strong>Key points: </strong>Question Methods to reduce CT radiation dose are desirable in clinical practice, and DLR has shown promising image denoising capabilities. Findings Liver lesion detection was comparable for DLR and IR across dose levels, but detection of smaller lesions deteriorated with lower dose levels. Clinical relevance Although potent in image noise reduction, the diagnostic performance of DLR is comparable to IR at standard-dose and reduced-dose CT. Care must be taken in pursuit of dose reduction when the detection and characterization of smaller liver lesions are of clinical importance.</p>","PeriodicalId":12076,"journal":{"name":"European Radiology","volume":" ","pages":"6140-6149"},"PeriodicalIF":4.7000,"publicationDate":"2025-10-01","publicationTypes":"Journal Article","fieldsOfStudy":null,"isOpenAccess":false,"openAccessPdf":"https://www.ncbi.nlm.nih.gov/pmc/articles/PMC12417284/pdf/","citationCount":"0","resultStr":null,"platform":"Semanticscholar","paperid":null,"PeriodicalName":"European Radiology","FirstCategoryId":"3","ListUrlMain":"https://doi.org/10.1007/s00330-025-11596-z","RegionNum":2,"RegionCategory":"医学","ArticlePicture":[],"TitleCN":null,"AbstractTextCN":null,"PMCID":null,"EPubDate":"2025/4/19 0:00:00","PubModel":"Epub","JCR":"Q1","JCRName":"RADIOLOGY, NUCLEAR MEDICINE & MEDICAL IMAGING","Score":null,"Total":0}
引用次数: 0

Abstract

Objectives: Deep learning reconstruction (DLR) has shown promising image denoising ability, but its radiation dose reduction potential remains unknown. The objective of this study was to investigate the diagnostic performance of DLR compared to iterative reconstruction (IR) in the detection of liver lesions at standard-dose and reduced-dose CT.

Materials and methods: Participants with known liver metastases from gastrointestinal and pancreatic adenocarcinoma were prospectively included from routine follow-up (October 2020 to March 2022). Participants received standard-dose CT and two additional reduced-dose scans during the same contrast administration, each reconstructed with IR and high-strength DLR. Two radiologists evaluated images for the presence of liver lesions, and a third established a reference standard. Diagnostic performance was compared using McNemar's test and mixed effects logistic regression.

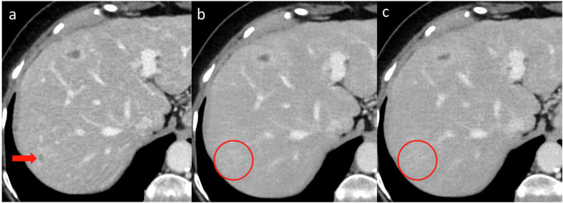
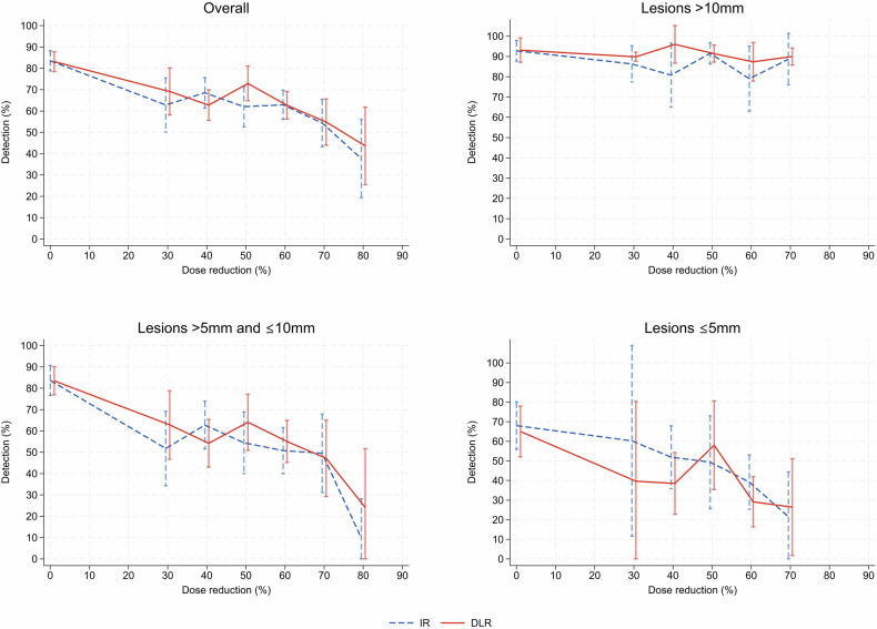
Results: Forty-four participants (mean age 66 years ± 11 [standard deviation], 28 men) were evaluated with 348 included liver lesions ≤ 20 mm (297 metastases, 51 benign; mean size 9.1 ± 4.3 mm). Mean volume CT dose index was 14.2, 7.8 mGy, and 5.1 mGy. Between algorithms, no significant difference in lesion detection was observed within dose levels. Detection of 233 lesions ≤ 10 mm was deteriorated with lower dose levels despite DLR denoising, with 185 detected at standard-dose IR (79.4%; 95% CI: 73.5-84.3) vs 128 at medium-dose DLR (54.9%; 95% CI: 48.3-61.4; p < 0.001) and 105 at low-dose DLR (45.1%; 95% CI: 38.6-51.7; p < 0.001).

Conclusion: Diagnostic performance for liver lesion detection was comparable between algorithms. When the detection of smaller lesions is important, DLR did not facilitate substantial dose reduction.

Key points: Question Methods to reduce CT radiation dose are desirable in clinical practice, and DLR has shown promising image denoising capabilities. Findings Liver lesion detection was comparable for DLR and IR across dose levels, but detection of smaller lesions deteriorated with lower dose levels. Clinical relevance Although potent in image noise reduction, the diagnostic performance of DLR is comparable to IR at standard-dose and reduced-dose CT. Care must be taken in pursuit of dose reduction when the detection and characterization of smaller liver lesions are of clinical importance.

Abstract Image

Abstract Image

Abstract Image

深度学习重建在标准剂量和减剂量腹部CT肝脏病变检测中的应用。
目的:深度学习重建(Deep learning reconstruction, DLR)具有较好的图像去噪能力,但其降低辐射剂量的潜力尚不清楚。本研究的目的是探讨DLR与迭代重建(IR)在标准剂量和降低剂量CT检测肝脏病变中的诊断性能。材料和方法:从常规随访(2020年10月至2022年3月)前瞻性纳入已知胃肠道和胰腺腺癌肝转移的参与者。参与者在相同的对比剂管理期间接受标准剂量CT和两次额外的降低剂量扫描,每次都用IR和高强度DLR重建。两名放射科医生评估图像是否存在肝脏病变,第三名医生建立了参考标准。采用McNemar检验和混合效应logistic回归比较诊断效果。结果:44名参与者(平均年龄66岁±11[标准差],28名男性)接受评估,其中348例肝病变≤20 mm(297例转移,51例良性;平均尺寸9.1±4.3 mm)。CT平均体积剂量指数分别为14.2、7.8、5.1 mGy。在不同的算法中,在剂量水平内病变检测没有显著差异。尽管DLR去噪,但在低剂量水平下,≤10 mm的病变检出率下降了233个,标准剂量IR检出率为185个(79.4%;95% CI: 73.5-84.3) vs中剂量DLR组128 (54.9%;95% ci: 48.3-61.4;结论:两种算法对肝脏病变的诊断性能具有可比性。当发现较小的病变很重要时,DLR不能促进剂量的实质性减少。临床需要降低CT辐射剂量的方法,DLR已显示出良好的图像去噪能力。发现DLR和IR在不同剂量水平下对肝脏病变的检测具有可比性,但对较小病变的检测随着剂量水平的降低而恶化。虽然DLR在图像降噪方面很有效,但在标准剂量和低剂量CT下的诊断性能与IR相当。当较小肝脏病变的检测和特征具有临床重要性时,必须注意减少剂量。
本文章由计算机程序翻译,如有差异,请以英文原文为准。
求助全文
约1分钟内获得全文 求助全文
来源期刊
European Radiology
European Radiology 医学-核医学
CiteScore
11.60
自引率
8.50%
发文量
874
审稿时长
2-4 weeks
期刊介绍: European Radiology (ER) continuously updates scientific knowledge in radiology by publication of strong original articles and state-of-the-art reviews written by leading radiologists. A well balanced combination of review articles, original papers, short communications from European radiological congresses and information on society matters makes ER an indispensable source for current information in this field. This is the Journal of the European Society of Radiology, and the official journal of a number of societies. From 2004-2008 supplements to European Radiology were published under its companion, European Radiology Supplements, ISSN 1613-3749.
×
引用
GB/T 7714-2015
复制
MLA
复制
APA
复制
导出至
BibTeX EndNote RefMan NoteFirst NoteExpress
×
提示
您的信息不完整,为了账户安全,请先补充。
现在去补充
×
提示
您因"违规操作"
具体请查看互助需知
我知道了
×
提示
确定
请完成安全验证×
copy
已复制链接
快去分享给好友吧!
我知道了
右上角分享
点击右上角分享
0
联系我们:info@booksci.cn Book学术提供免费学术资源搜索服务,方便国内外学者检索中英文文献。致力于提供最便捷和优质的服务体验。 Copyright © 2023 布克学术 All rights reserved.
京ICP备2023020795号-1
ghs 京公网安备 11010802042870号
Book学术文献互助
Book学术文献互助群
群 号:604180095
Book学术官方微信