A Rare Supraorbital Ridge Mass: The Chondroid Syringoma with Adipocytic Metaplasia.

IF 0.8 Q3 MEDICINE, GENERAL & INTERNAL
Anil Prasad, Binod Kumar, Sameer Kumar Mehta, Minakshi Mishra
{"title":"A Rare Supraorbital Ridge Mass: The Chondroid Syringoma with Adipocytic Metaplasia.","authors":"Anil Prasad, Binod Kumar, Sameer Kumar Mehta, Minakshi Mishra","doi":"10.4103/ijabmr.ijabmr_363_24","DOIUrl":null,"url":null,"abstract":"<p><p>Chondroid syringoma (CS) is a rare benign skin adnexal neoplasm. Its incidence is very low among all primary skin tumors. Diagnosing it clinically can be difficult as it closely resembles other benign salivary or adnexal neoplasms. Until now, only a few cases have been reported from the periorbital region. Clinically, it can be mistaken for epidermal cysts, but ectopic salivary glands are a close differential diagnosis. To diagnose it, a complete removal is usually required, followed by a histopathological examination. We present a unique case of a 45-year-old female patient with a CS in her right supraorbital ridge and review the pertinent literature.</p>","PeriodicalId":13727,"journal":{"name":"International Journal of Applied and Basic Medical Research","volume":"15 1","pages":"60-62"},"PeriodicalIF":0.8000,"publicationDate":"2025-01-01","publicationTypes":"Journal Article","fieldsOfStudy":null,"isOpenAccess":false,"openAccessPdf":"https://www.ncbi.nlm.nih.gov/pmc/articles/PMC12054656/pdf/","citationCount":"0","resultStr":null,"platform":"Semanticscholar","paperid":null,"PeriodicalName":"International Journal of Applied and Basic Medical Research","FirstCategoryId":"1085","ListUrlMain":"https://doi.org/10.4103/ijabmr.ijabmr_363_24","RegionNum":0,"RegionCategory":null,"ArticlePicture":[],"TitleCN":null,"AbstractTextCN":null,"PMCID":null,"EPubDate":"2025/1/9 0:00:00","PubModel":"Epub","JCR":"Q3","JCRName":"MEDICINE, GENERAL & INTERNAL","Score":null,"Total":0}
引用次数: 0

Abstract

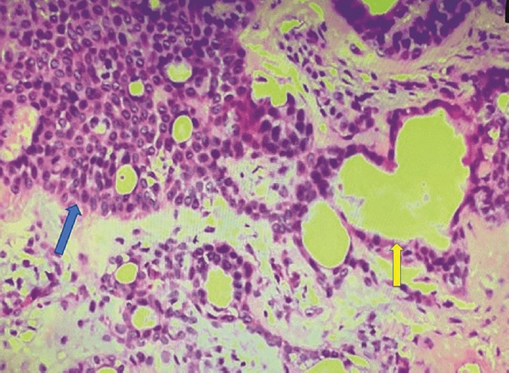
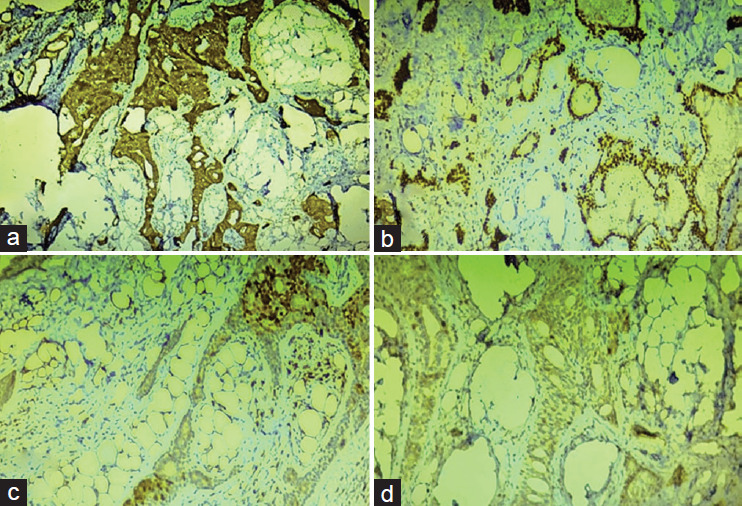
Chondroid syringoma (CS) is a rare benign skin adnexal neoplasm. Its incidence is very low among all primary skin tumors. Diagnosing it clinically can be difficult as it closely resembles other benign salivary or adnexal neoplasms. Until now, only a few cases have been reported from the periorbital region. Clinically, it can be mistaken for epidermal cysts, but ectopic salivary glands are a close differential diagnosis. To diagnose it, a complete removal is usually required, followed by a histopathological examination. We present a unique case of a 45-year-old female patient with a CS in her right supraorbital ridge and review the pertinent literature.

Abstract Image

Abstract Image

Abstract Image

罕见的眶上脊状肿块:软骨样淋巴管瘤伴脂肪细胞化生。
软骨样注射器瘤是一种罕见的良性皮肤附件肿瘤。在所有原发性皮肤肿瘤中发病率很低。临床诊断可能很困难,因为它与其他良性唾液或附件肿瘤非常相似。到目前为止,只有少数病例报道来自眶周区域。临床上,它可能被误认为表皮囊肿,但异位唾液腺是一个密切的鉴别诊断。为了诊断它,通常需要完全切除,然后进行组织病理学检查。我们报告一位45岁女性患者,其右侧眶上脊有CS,并回顾相关文献。
本文章由计算机程序翻译,如有差异,请以英文原文为准。
求助全文
约1分钟内获得全文 求助全文
来源期刊
自引率
0.00%
发文量
46
×
引用
GB/T 7714-2015
复制
MLA
复制
APA
复制
导出至
BibTeX EndNote RefMan NoteFirst NoteExpress
×
提示
您的信息不完整,为了账户安全,请先补充。
现在去补充
×
提示
您因"违规操作"
具体请查看互助需知
我知道了
×
提示
确定
请完成安全验证×
copy
已复制链接
快去分享给好友吧!
我知道了
右上角分享
点击右上角分享
0
联系我们:info@booksci.cn Book学术提供免费学术资源搜索服务,方便国内外学者检索中英文文献。致力于提供最便捷和优质的服务体验。 Copyright © 2023 布克学术 All rights reserved.
京ICP备2023020795号-1
ghs 京公网安备 11010802042870号
Book学术文献互助
Book学术文献互助群
群 号:604180095
Book学术官方微信