Evaluation of horizontal condylar guidance on a fully adjustable articulator at varying protrusive distances: An in vivo study.

IF 1 Q3 DENTISTRY, ORAL SURGERY & MEDICINE
Jayant N Palaskar, Amit Dhansukhlal Hindocha, Nikhil Joshi, Ketaki Balsaraf
{"title":"Evaluation of horizontal condylar guidance on a fully adjustable articulator at varying protrusive distances: An in vivo study.","authors":"Jayant N Palaskar, Amit Dhansukhlal Hindocha, Nikhil Joshi, Ketaki Balsaraf","doi":"10.4103/jips.jips_470_24","DOIUrl":null,"url":null,"abstract":"<p><strong>Aim: </strong>This study aimed to assess the accuracy of HCG values obtained with records at various protrusive distances on a fully adjustable articulator.</p><p><strong>Settings and design: </strong>Pantographs are used for condylar settings on a fully adjustable articulator but are complex and time-consuming. Protrusive interocclusal records can be used to set horizontal condylar guidance (HCG) in fully adjustable articulators; however, the ideal protrusive distance to do so remains unclear. This was an in vivo observational cross-sectional study.</p><p><strong>Materials and methods: </strong>Twenty-five dentate subjects participated in this study. Customized guides with calibrations at 2, 4, 6, and 8 mm were used to create protrusive interocclusal records at each increment. The HCG values derived from these records were set on a fully adjustable articulator (Denar D5A, Whip Mix Corp.). For control, standardized digital lateral cephalograms of each subject were taken in edge-to-edge and maximal intercuspal positions. These cephalograms were superimposed using Dolphin Imaging software (Dolphin Imaging and Management Solutions), allowing the determination of the cephalometric HCG angle by measuring the intersection between a line passing from the Condylion and the Frankfort horizontal plane. The HCG values from the articulator were compared with the cephalometric HCG values.</p><p><strong>Statistical analysis used: </strong>Statistical analysis was conducted using repeated measures ANOVA for intragroup comparison and one-way ANOVA with Bonferroni post hoc tests for intergroup comparisons. The Shapiro-Wilk test was conducted to assess normality.</p><p><strong>Results: </strong>The mean HCG values obtained at 2, 4, 6, and 8 mm were 49.92°, 44.28°, 36.60°, and 26.60°, respectively, while the cephalometric HCG value was 44.51°. Analysis revealed no significant difference between the cephalometric HCG and the 4 mm record (P > 0.05), but significant differences were noted at 2, 6, and 8 mm (P < 0.05).</p><p><strong>Conclusions: </strong>The HCG set on the Denar D5A articulator using a 4 mm protrusive interocclusal record closely matched the cephalometric HCG, suggesting that a 4 mm record may be optimal when using protrusive records for programming this articulator.</p>","PeriodicalId":22669,"journal":{"name":"The Journal of Indian Prosthodontic Society","volume":"25 2","pages":"144-149"},"PeriodicalIF":1.0000,"publicationDate":"2025-04-01","publicationTypes":"Journal Article","fieldsOfStudy":null,"isOpenAccess":false,"openAccessPdf":"https://www.ncbi.nlm.nih.gov/pmc/articles/PMC12057827/pdf/","citationCount":"0","resultStr":null,"platform":"Semanticscholar","paperid":null,"PeriodicalName":"The Journal of Indian Prosthodontic Society","FirstCategoryId":"1085","ListUrlMain":"https://doi.org/10.4103/jips.jips_470_24","RegionNum":0,"RegionCategory":null,"ArticlePicture":[],"TitleCN":null,"AbstractTextCN":null,"PMCID":null,"EPubDate":"2025/4/11 0:00:00","PubModel":"Epub","JCR":"Q3","JCRName":"DENTISTRY, ORAL SURGERY & MEDICINE","Score":null,"Total":0}
引用次数: 0

Abstract

Aim: This study aimed to assess the accuracy of HCG values obtained with records at various protrusive distances on a fully adjustable articulator.

Settings and design: Pantographs are used for condylar settings on a fully adjustable articulator but are complex and time-consuming. Protrusive interocclusal records can be used to set horizontal condylar guidance (HCG) in fully adjustable articulators; however, the ideal protrusive distance to do so remains unclear. This was an in vivo observational cross-sectional study.

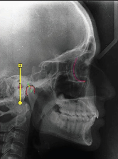
Materials and methods: Twenty-five dentate subjects participated in this study. Customized guides with calibrations at 2, 4, 6, and 8 mm were used to create protrusive interocclusal records at each increment. The HCG values derived from these records were set on a fully adjustable articulator (Denar D5A, Whip Mix Corp.). For control, standardized digital lateral cephalograms of each subject were taken in edge-to-edge and maximal intercuspal positions. These cephalograms were superimposed using Dolphin Imaging software (Dolphin Imaging and Management Solutions), allowing the determination of the cephalometric HCG angle by measuring the intersection between a line passing from the Condylion and the Frankfort horizontal plane. The HCG values from the articulator were compared with the cephalometric HCG values.

Statistical analysis used: Statistical analysis was conducted using repeated measures ANOVA for intragroup comparison and one-way ANOVA with Bonferroni post hoc tests for intergroup comparisons. The Shapiro-Wilk test was conducted to assess normality.

Results: The mean HCG values obtained at 2, 4, 6, and 8 mm were 49.92°, 44.28°, 36.60°, and 26.60°, respectively, while the cephalometric HCG value was 44.51°. Analysis revealed no significant difference between the cephalometric HCG and the 4 mm record (P > 0.05), but significant differences were noted at 2, 6, and 8 mm (P < 0.05).

Conclusions: The HCG set on the Denar D5A articulator using a 4 mm protrusive interocclusal record closely matched the cephalometric HCG, suggesting that a 4 mm record may be optimal when using protrusive records for programming this articulator.

Abstract Image

Abstract Image

Abstract Image

评估水平髁引导的完全可调关节在不同的突出距离:一项体内研究。
目的:本研究旨在评估在全可调关节器上不同突出距离记录HCG值的准确性。设置和设计:受电弓用于完全可调节的关节器上的髁突设置,但很复杂且耗时。在全可调关节器中,突出咬合记录可用于设置水平髁突导引(HCG);然而,这样做的理想突出距离仍不清楚。这是一项体内观察性横断面研究。材料与方法:本研究共25例有牙的受试者。在2、4、6和8 mm处进行校准的定制导轨用于在每个增量处创建突出的咬合间记录。从这些记录中得出的HCG值是在一个完全可调节的关节器上设定的(Denar D5A, Whip Mix Corp.)。作为对照,每个受试者的标准化数字侧位脑电图在边缘到边缘和最大的尖间位置拍摄。使用Dolphin Imaging软件(Dolphin Imaging and Management Solutions)对这些头颅图像进行叠加,通过测量从Condylion穿过的线与Frankfort水平面之间的交点来确定头颅测量HCG角度。将关节HCG值与头颅HCG值进行比较。采用统计学分析:组内比较采用重复测量方差分析,组间比较采用Bonferroni事后检验的单因素方差分析。夏皮罗-威尔克试验评估正常情况。结果:2、4、6、8 mm处HCG均值分别为49.92°、44.28°、36.60°、26.60°,头侧HCG均值为44.51°。分析显示,头测HCG与4 mm记录无显著差异(P < 0.05),但在2、6和8 mm记录有显著差异(P < 0.05)。结论:在Denar D5A关节上设置的HCG使用4mm的牙间突出记录与头侧测量的HCG非常匹配,提示在使用突出记录规划该关节时,4mm的HCG可能是最佳的。
本文章由计算机程序翻译,如有差异,请以英文原文为准。
求助全文
约1分钟内获得全文 求助全文
来源期刊
The Journal of Indian Prosthodontic Society
The Journal of Indian Prosthodontic Society DENTISTRY, ORAL SURGERY & MEDICINE-
CiteScore
2.20
自引率
8.30%
发文量
26
审稿时长
20 weeks
×
引用
GB/T 7714-2015
复制
MLA
复制
APA
复制
导出至
BibTeX EndNote RefMan NoteFirst NoteExpress
×
提示
您的信息不完整,为了账户安全,请先补充。
现在去补充
×
提示
您因"违规操作"
具体请查看互助需知
我知道了
×
提示
确定
请完成安全验证×
copy
已复制链接
快去分享给好友吧!
我知道了
右上角分享
点击右上角分享
0
联系我们:info@booksci.cn Book学术提供免费学术资源搜索服务,方便国内外学者检索中英文文献。致力于提供最便捷和优质的服务体验。 Copyright © 2023 布克学术 All rights reserved.
京ICP备2023020795号-1
ghs 京公网安备 11010802042870号
Book学术文献互助
Book学术文献互助群
群 号:604180095
Book学术官方微信