Maxillary Sinus Assessment: A Computed Tomography Analysis and Classification.

IF 1.1 Q3 OTORHINOLARYNGOLOGY
International Archives of Otorhinolaryngology Pub Date : 2025-04-15 eCollection Date: 2025-04-01 DOI:10.1055/s-0044-1791728
Mohammad Waheed El-Anwar, Mohamed Kamel Alawady, Hoda Ismail Abdelhamid, Tamer Oraby, Mohamed Talaat Albasiouny, Ashraf El-Hussiny
{"title":"Maxillary Sinus Assessment: A Computed Tomography Analysis and Classification.","authors":"Mohammad Waheed El-Anwar, Mohamed Kamel Alawady, Hoda Ismail Abdelhamid, Tamer Oraby, Mohamed Talaat Albasiouny, Ashraf El-Hussiny","doi":"10.1055/s-0044-1791728","DOIUrl":null,"url":null,"abstract":"<p><p><b>Introduction</b>  The preoperative assessment of the computed tomography (CT) characteristics of the maxillary sinus helps to preserve its anatomical and functional integrity during and after surgery. <b>Objective</b>  To use CT scanning to identify maxillary sinus variations and types that were not previously published. <b>Methods</b>  The present study was carried out on 110 paranasal CT scans (220 sides). Axial images were obtained with multiplanar scans, to visualize details in coronal and sagittal planes for all subjects. <b>Results</b>  Among the 110 CTs (220 sides) of the maxillary sinus's floor, there were 53.2% type 1, 29.1% type 2, 10% type 3, and 7.7% type 4, with significant difference between genders. The most common maxillary sinus floor was type 1. The lateral maxillary sinus wall was found to be type 1 in 32.7%, type 2 in 65%, and type 3 in 2.3%, with a significant difference between genders. The most common lateral wall of the maxillary sinus type was type 2. The orbital floor was found to be type 1 in 0.9%, type 2 in 21.3%, type 3 in 50.5%, and type 4 in 27.3%, without significant difference between genders. Asymmetry was detected between the right and left sides for the maxillary sinus floor of in 22.7%, lateral maxillary wall in 16%, and orbital floor (maxillary roof) in 30%. <b>Conclusion</b>  This study aims to increase surgeons' awareness of maxillary sinus variations, creating new classifications for usage and communication in the otorhinolaryngology and endoscopic fields. It could also be helpful for training medical residents.</p>","PeriodicalId":13731,"journal":{"name":"International Archives of Otorhinolaryngology","volume":"29 2","pages":"1-6"},"PeriodicalIF":1.1000,"publicationDate":"2025-04-15","publicationTypes":"Journal Article","fieldsOfStudy":null,"isOpenAccess":false,"openAccessPdf":"https://www.ncbi.nlm.nih.gov/pmc/articles/PMC12020587/pdf/","citationCount":"0","resultStr":null,"platform":"Semanticscholar","paperid":null,"PeriodicalName":"International Archives of Otorhinolaryngology","FirstCategoryId":"1085","ListUrlMain":"https://doi.org/10.1055/s-0044-1791728","RegionNum":0,"RegionCategory":null,"ArticlePicture":[],"TitleCN":null,"AbstractTextCN":null,"PMCID":null,"EPubDate":"2025/4/1 0:00:00","PubModel":"eCollection","JCR":"Q3","JCRName":"OTORHINOLARYNGOLOGY","Score":null,"Total":0}
引用次数: 0

Abstract

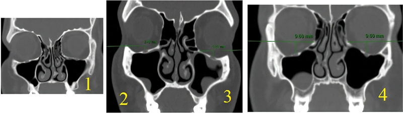
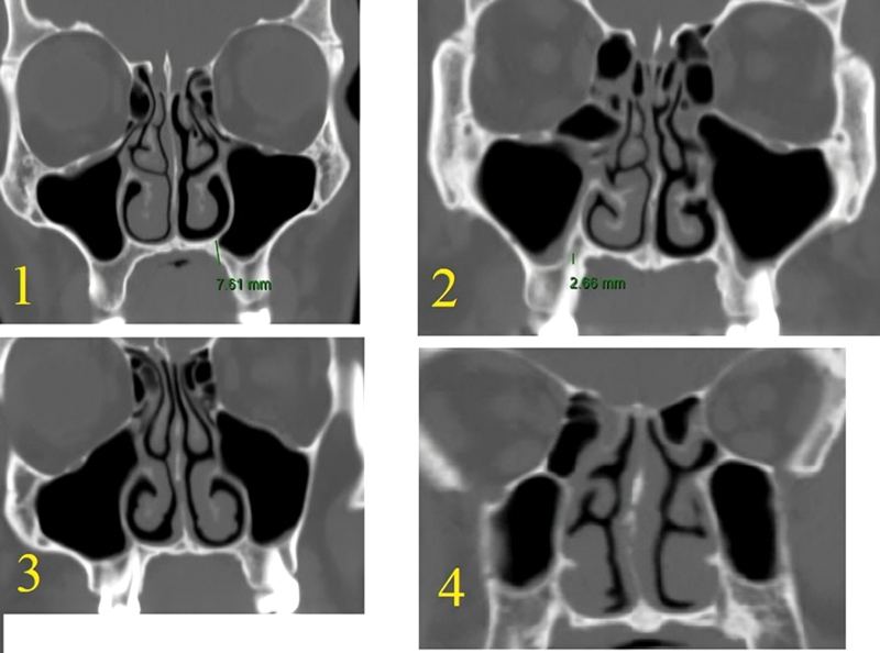
Introduction  The preoperative assessment of the computed tomography (CT) characteristics of the maxillary sinus helps to preserve its anatomical and functional integrity during and after surgery. Objective  To use CT scanning to identify maxillary sinus variations and types that were not previously published. Methods  The present study was carried out on 110 paranasal CT scans (220 sides). Axial images were obtained with multiplanar scans, to visualize details in coronal and sagittal planes for all subjects. Results  Among the 110 CTs (220 sides) of the maxillary sinus's floor, there were 53.2% type 1, 29.1% type 2, 10% type 3, and 7.7% type 4, with significant difference between genders. The most common maxillary sinus floor was type 1. The lateral maxillary sinus wall was found to be type 1 in 32.7%, type 2 in 65%, and type 3 in 2.3%, with a significant difference between genders. The most common lateral wall of the maxillary sinus type was type 2. The orbital floor was found to be type 1 in 0.9%, type 2 in 21.3%, type 3 in 50.5%, and type 4 in 27.3%, without significant difference between genders. Asymmetry was detected between the right and left sides for the maxillary sinus floor of in 22.7%, lateral maxillary wall in 16%, and orbital floor (maxillary roof) in 30%. Conclusion  This study aims to increase surgeons' awareness of maxillary sinus variations, creating new classifications for usage and communication in the otorhinolaryngology and endoscopic fields. It could also be helpful for training medical residents.

Abstract Image

Abstract Image

Abstract Image

上颌窦评估:计算机断层分析和分类。
术前评估上颌窦的CT特征有助于在手术中和术后保持其解剖和功能的完整性。目的利用CT扫描鉴别上颌窦的变异和类型。方法对110例(220侧)旁鼻部CT进行扫描。通过多平面扫描获得轴向图像,以可视化所有受试者的冠状面和矢状面细节。结果110例(220侧)上颌窦底ct中,1型占53.2%,2型占29.1%,3型占10%,4型占7.7%,性别差异有统计学意义。上颌窦底型以1型最为常见。上颌外侧窦壁1型占32.7%,2型占65%,3型占2.3%,性别差异显著。上颌窦最常见的外侧壁类型为2型。眼眶底1型占0.9%,2型占21.3%,3型占50.5%,4型占27.3%,性别间无显著差异。左右两侧上颌窦底不对称占22.7%,上颌侧壁不对称占16%,眶底(上颌顶)不对称占30%。结论本研究旨在提高外科医生对上颌窦变异的认识,为耳鼻喉科和内窥镜领域的使用和交流创造新的分类。这对培训住院医师也有帮助。
本文章由计算机程序翻译,如有差异,请以英文原文为准。
求助全文
约1分钟内获得全文 求助全文
来源期刊
CiteScore
2.80
自引率
0.00%
发文量
84
审稿时长
12 weeks
×
引用
GB/T 7714-2015
复制
MLA
复制
APA
复制
导出至
BibTeX EndNote RefMan NoteFirst NoteExpress
×
提示
您的信息不完整,为了账户安全,请先补充。
现在去补充
×
提示
您因"违规操作"
具体请查看互助需知
我知道了
×
提示
确定
请完成安全验证×
copy
已复制链接
快去分享给好友吧!
我知道了
右上角分享
点击右上角分享
0
联系我们:info@booksci.cn Book学术提供免费学术资源搜索服务,方便国内外学者检索中英文文献。致力于提供最便捷和优质的服务体验。 Copyright © 2023 布克学术 All rights reserved.
京ICP备2023020795号-1
ghs 京公网安备 11010802042870号
Book学术文献互助
Book学术文献互助群
群 号:604180095
Book学术官方微信