Nomogram to predict the prognostic value of tumor deposits for patients with papillary thyroid carcinoma.

IF 4.3 2区 医学 Q2 ENDOCRINOLOGY & METABOLISM
European Thyroid Journal Pub Date : 2025-04-28 Print Date: 2025-04-01 DOI:10.1530/ETJ-24-0343
Jie Tan, Junna Ge, Zhigang Wei, Baihui Sun, Tingting Li, Zhicheng Zhang, Weisheng Chen, Jixiang Zheng, Jiayuan Zou, Ting Wang, Shi-Tong Yu, Shangtong Lei
{"title":"Nomogram to predict the prognostic value of tumor deposits for patients with papillary thyroid carcinoma.","authors":"Jie Tan, Junna Ge, Zhigang Wei, Baihui Sun, Tingting Li, Zhicheng Zhang, Weisheng Chen, Jixiang Zheng, Jiayuan Zou, Ting Wang, Shi-Tong Yu, Shangtong Lei","doi":"10.1530/ETJ-24-0343","DOIUrl":null,"url":null,"abstract":"<p><strong>Background: </strong>Tumor deposits (TDs), nodules in the peritumoral adipose tissue with no architectural residue of lymph node, have previously been described in colorectal adenocarcinomas with poor prognosis. However, the significance of TD has not been fully investigated in patients with papillary thyroid carcinoma (PTC).</p><p><strong>Method: </strong>We retrospectively enrolled 541 patients undergoing surgery between 2015 and 2021. The patients were classified into two groups according to TD status (TD vs non-TD), and the clinicopathologic characteristics and disease-free survival (DFS) were compared. Associations of TD presence with other clinicopathologic factors were evaluated by logistic regression analysis. Univariate and multivariate Cox regression analyses were performed to determine the primary cohort's prognostic factors for DFS. A nomogram was constructed for clinicians as a quantitative tool for estimating DFS.</p><p><strong>Result: </strong>In our cohort, TD were identified in 16.1% of patients and had higher rate of aggressive features, including microscopic and gross extrathyroidal extension, invasion of the recurrent laryngeal nerve and esophagus, prevertebral fascia involvement or encasement of the carotid artery/internal jugular vein, extranodal extension, advanced clinical stage, tumor recurrence and distant metastasis (all P < 0.05). Univariate and multivariate Cox regression analyses confirmed TD as an independent prognostic factor for DFS, with a 2.501-fold increased risk of recurrence (P < 0.001). The nomogram, incorporating TD and other significant factors, demonstrated good discrimination and calibration (C-index = 0.79).</p><p><strong>Conclusion: </strong>The presence of TD was significantly associated with poor prognosis in PTC patients. TD showed promising efficacy as a potential prognostic indicator for PTC patients.</p>","PeriodicalId":12159,"journal":{"name":"European Thyroid Journal","volume":"14 2","pages":""},"PeriodicalIF":4.3000,"publicationDate":"2025-04-28","publicationTypes":"Journal Article","fieldsOfStudy":null,"isOpenAccess":false,"openAccessPdf":"https://www.ncbi.nlm.nih.gov/pmc/articles/PMC12060675/pdf/","citationCount":"0","resultStr":null,"platform":"Semanticscholar","paperid":null,"PeriodicalName":"European Thyroid Journal","FirstCategoryId":"3","ListUrlMain":"https://doi.org/10.1530/ETJ-24-0343","RegionNum":2,"RegionCategory":"医学","ArticlePicture":[],"TitleCN":null,"AbstractTextCN":null,"PMCID":null,"EPubDate":"2025/4/1 0:00:00","PubModel":"Print","JCR":"Q2","JCRName":"ENDOCRINOLOGY & METABOLISM","Score":null,"Total":0}
引用次数: 0

Abstract

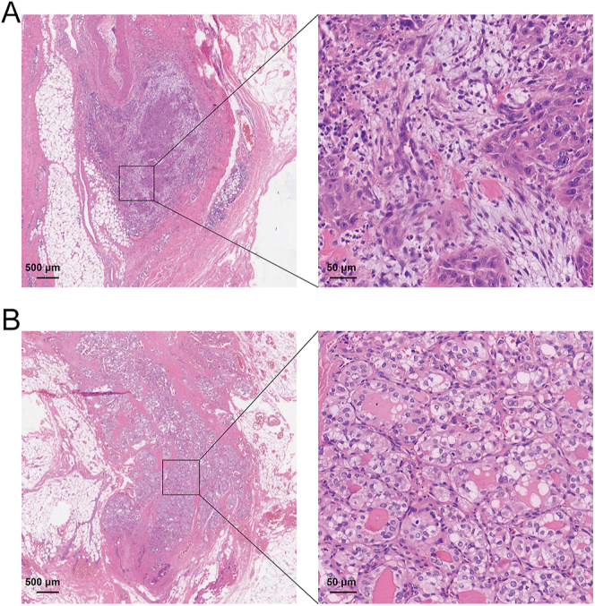
Background: Tumor deposits (TDs), nodules in the peritumoral adipose tissue with no architectural residue of lymph node, have previously been described in colorectal adenocarcinomas with poor prognosis. However, the significance of TD has not been fully investigated in patients with papillary thyroid carcinoma (PTC).

Method: We retrospectively enrolled 541 patients undergoing surgery between 2015 and 2021. The patients were classified into two groups according to TD status (TD vs non-TD), and the clinicopathologic characteristics and disease-free survival (DFS) were compared. Associations of TD presence with other clinicopathologic factors were evaluated by logistic regression analysis. Univariate and multivariate Cox regression analyses were performed to determine the primary cohort's prognostic factors for DFS. A nomogram was constructed for clinicians as a quantitative tool for estimating DFS.

Result: In our cohort, TD were identified in 16.1% of patients and had higher rate of aggressive features, including microscopic and gross extrathyroidal extension, invasion of the recurrent laryngeal nerve and esophagus, prevertebral fascia involvement or encasement of the carotid artery/internal jugular vein, extranodal extension, advanced clinical stage, tumor recurrence and distant metastasis (all P < 0.05). Univariate and multivariate Cox regression analyses confirmed TD as an independent prognostic factor for DFS, with a 2.501-fold increased risk of recurrence (P < 0.001). The nomogram, incorporating TD and other significant factors, demonstrated good discrimination and calibration (C-index = 0.79).

Conclusion: The presence of TD was significantly associated with poor prognosis in PTC patients. TD showed promising efficacy as a potential prognostic indicator for PTC patients.

Abstract Image

Abstract Image

Abstract Image

图预测肿瘤沉积对甲状腺乳头状癌患者的预后价值。
背景:肿瘤沉积(TDs),肿瘤周围脂肪组织的结节,没有淋巴结的建筑残留,以前在预后不良的结直肠腺癌中被描述过。然而,TD在甲状腺乳头状癌(PTC)患者中的意义尚未得到充分研究。方法:我们回顾性地纳入了541例2015年至2021年间接受手术的患者。根据患者的TD状态分为TD和非TD两组,比较两组患者的临床病理特征和无病生存期(DFS)。通过logistic回归分析评估TD与其他临床病理因素的关系。进行单因素和多因素Cox回归分析,以确定主要队列的DFS预后因素。为临床医生构建了一个nomogram,作为估计DFS的定量工具。结果:本组患者中有16.1%的患者诊断出TD,其侵袭性表现包括镜下及肉眼甲状腺外扩张、侵犯喉返神经及食道、椎前筋膜受累或颈动脉/颈内静脉被套、结外扩张、临床分期晚期、肿瘤复发及远处转移(均P < 0.05)。单因素和多因素Cox回归分析证实,TD是DFS的独立预后因素,复发风险增加2.501倍(P < 0.001)。结合TD等显著因素的nomogram具有较好的判别性和定标性(C-index = 0.79)。结论:TD的存在与PTC患者预后不良有显著相关性。作为PTC患者的潜在预后指标,TD显示出良好的疗效。
本文章由计算机程序翻译,如有差异,请以英文原文为准。
求助全文
约1分钟内获得全文 求助全文
来源期刊
European Thyroid Journal
European Thyroid Journal Medicine-Endocrinology, Diabetes and Metabolism
CiteScore
6.70
自引率
2.10%
发文量
156
期刊介绍: The ''European Thyroid Journal'' publishes papers reporting original research in basic, translational and clinical thyroidology. Original contributions cover all aspects of the field, from molecular and cellular biology to immunology and biochemistry, from physiology to pathology, and from pediatric to adult thyroid diseases with a special focus on thyroid cancer. Readers also benefit from reviews by noted experts, which highlight especially active areas of current research. The journal will further publish formal guidelines in the field, produced and endorsed by the European Thyroid Association.
×
引用
GB/T 7714-2015
复制
MLA
复制
APA
复制
导出至
BibTeX EndNote RefMan NoteFirst NoteExpress
×
提示
您的信息不完整,为了账户安全,请先补充。
现在去补充
×
提示
您因"违规操作"
具体请查看互助需知
我知道了
×
提示
确定
请完成安全验证×
copy
已复制链接
快去分享给好友吧!
我知道了
右上角分享
点击右上角分享
0
联系我们:info@booksci.cn Book学术提供免费学术资源搜索服务,方便国内外学者检索中英文文献。致力于提供最便捷和优质的服务体验。 Copyright © 2023 布克学术 All rights reserved.
京ICP备2023020795号-1
ghs 京公网安备 11010802042870号
Book学术文献互助
Book学术文献互助群
群 号:604180095
Book学术官方微信