Phenolic-loaded nanofiber from Arctium lappa root: a potential therapy for testosterone-induced ovarian oxidative stress.

IF 6.5 3区 生物学 Q1 BIOCHEMICAL RESEARCH METHODS
Viana Khojasteh, Seyed Amirmohammad Mollanorouzi, Ehsan Karimi, Behrouz Ghorani, Ehsan Oskoueian
{"title":"Phenolic-loaded nanofiber from Arctium lappa root: a potential therapy for testosterone-induced ovarian oxidative stress.","authors":"Viana Khojasteh, Seyed Amirmohammad Mollanorouzi, Ehsan Karimi, Behrouz Ghorani, Ehsan Oskoueian","doi":"10.1186/s13036-025-00515-x","DOIUrl":null,"url":null,"abstract":"<p><p>Polycystic Ovary Syndrome (PCOS) is a hormonal disorder affecting women of reproductive age, often associated with oxidative stress and inflammation. This study explores the therapeutic potential of Arctium lappa phenolic-rich fraction encapsulated nanofiber (ALPRF-NF) in a testosterone-induced PCOS mouse model. All experiments were performed in triplicate and Duncan's Multiple Range Test was used to assess significant differences between means, with significance determined at p < 0.05. The ALPRF-NF formulation demonstrated favorable physicochemical properties, including a ribbon-like structure (216.9 nm), a zeta potential of -19.3 mV, and a high encapsulation efficiency (93.1%). In vivo findings showed that ALPRF-NF significantly improved body weight, feed intake, and liver enzyme profiles in PCOS-induced mice (p ≤ 0.05). It also enhanced the antioxidant defense system by elevating levels of glutathione peroxidase (GPX), superoxide dismutase (SOD), and catalase (CAT). Mechanistically, ALPRF-NF reduced oxidative stress and inflammation by delivering phenolic compounds that scavenge reactive oxygen species (ROS) and modulate gene expression in ovarian tissue. This included downregulation of inducible nitric oxide synthase (iNOS) and upregulation of SOD expression. These results suggest that ALPRF-NF effectively mitigates testosterone-induced ovarian oxidative damage and inflammation, offering a targeted, nanotechnology-based therapeutic approach for PCOS. The study provides valuable insights into novel strategies for improving women's reproductive health through bioactive compound delivery.</p>","PeriodicalId":15053,"journal":{"name":"Journal of Biological Engineering","volume":"19 1","pages":"42"},"PeriodicalIF":6.5000,"publicationDate":"2025-05-09","publicationTypes":"Journal Article","fieldsOfStudy":null,"isOpenAccess":false,"openAccessPdf":"https://www.ncbi.nlm.nih.gov/pmc/articles/PMC12065167/pdf/","citationCount":"0","resultStr":null,"platform":"Semanticscholar","paperid":null,"PeriodicalName":"Journal of Biological Engineering","FirstCategoryId":"99","ListUrlMain":"https://doi.org/10.1186/s13036-025-00515-x","RegionNum":3,"RegionCategory":"生物学","ArticlePicture":[],"TitleCN":null,"AbstractTextCN":null,"PMCID":null,"EPubDate":"","PubModel":"","JCR":"Q1","JCRName":"BIOCHEMICAL RESEARCH METHODS","Score":null,"Total":0}
引用次数: 0

Abstract

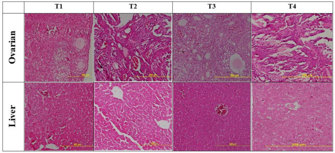
Polycystic Ovary Syndrome (PCOS) is a hormonal disorder affecting women of reproductive age, often associated with oxidative stress and inflammation. This study explores the therapeutic potential of Arctium lappa phenolic-rich fraction encapsulated nanofiber (ALPRF-NF) in a testosterone-induced PCOS mouse model. All experiments were performed in triplicate and Duncan's Multiple Range Test was used to assess significant differences between means, with significance determined at p < 0.05. The ALPRF-NF formulation demonstrated favorable physicochemical properties, including a ribbon-like structure (216.9 nm), a zeta potential of -19.3 mV, and a high encapsulation efficiency (93.1%). In vivo findings showed that ALPRF-NF significantly improved body weight, feed intake, and liver enzyme profiles in PCOS-induced mice (p ≤ 0.05). It also enhanced the antioxidant defense system by elevating levels of glutathione peroxidase (GPX), superoxide dismutase (SOD), and catalase (CAT). Mechanistically, ALPRF-NF reduced oxidative stress and inflammation by delivering phenolic compounds that scavenge reactive oxygen species (ROS) and modulate gene expression in ovarian tissue. This included downregulation of inducible nitric oxide synthase (iNOS) and upregulation of SOD expression. These results suggest that ALPRF-NF effectively mitigates testosterone-induced ovarian oxidative damage and inflammation, offering a targeted, nanotechnology-based therapeutic approach for PCOS. The study provides valuable insights into novel strategies for improving women's reproductive health through bioactive compound delivery.

Abstract Image

Abstract Image

Abstract Image

牛蒡根的酚负载纳米纤维:睾丸激素诱导的卵巢氧化应激的潜在疗法。
多囊卵巢综合征(PCOS)是一种影响育龄妇女的激素紊乱,通常与氧化应激和炎症有关。本研究探讨牛蒡富酚部分包封纳米纤维(ALPRF-NF)对睾酮诱导的PCOS小鼠模型的治疗潜力。所有实验均为三次重复,采用Duncan's多元极差检验来评估均值之间的显著性差异,显著性以p确定
本文章由计算机程序翻译,如有差异,请以英文原文为准。
求助全文
约1分钟内获得全文 求助全文
来源期刊
Journal of Biological Engineering
Journal of Biological Engineering BIOCHEMICAL RESEARCH METHODS-BIOTECHNOLOGY & APPLIED MICROBIOLOGY
CiteScore
7.10
自引率
1.80%
发文量
32
审稿时长
17 weeks
期刊介绍: Biological engineering is an emerging discipline that encompasses engineering theory and practice connected to and derived from the science of biology, just as mechanical engineering and electrical engineering are rooted in physics and chemical engineering in chemistry. Topical areas include, but are not limited to: Synthetic biology and cellular design Biomolecular, cellular and tissue engineering Bioproduction and metabolic engineering Biosensors Ecological and environmental engineering Biological engineering education and the biodesign process As the official journal of the Institute of Biological Engineering, Journal of Biological Engineering provides a home for the continuum from biological information science, molecules and cells, product formation, wastes and remediation, and educational advances in curriculum content and pedagogy at the undergraduate and graduate-levels. Manuscripts should explore commonalities with other fields of application by providing some discussion of the broader context of the work and how it connects to other areas within the field.
×
引用
GB/T 7714-2015
复制
MLA
复制
APA
复制
导出至
BibTeX EndNote RefMan NoteFirst NoteExpress
×
提示
您的信息不完整,为了账户安全,请先补充。
现在去补充
×
提示
您因"违规操作"
具体请查看互助需知
我知道了
×
提示
确定
请完成安全验证×
copy
已复制链接
快去分享给好友吧!
我知道了
右上角分享
点击右上角分享
0
联系我们:info@booksci.cn Book学术提供免费学术资源搜索服务,方便国内外学者检索中英文文献。致力于提供最便捷和优质的服务体验。 Copyright © 2023 布克学术 All rights reserved.
京ICP备2023020795号-1
ghs 京公网安备 11010802042870号
Book学术文献互助
Book学术文献互助群
群 号:604180095
Book学术官方微信