High B7-H3 protein expression in Medulloblastoma is associated with metastasis and unfavorable patient outcomes.

IF 2.3 3区 医学 Q2 PATHOLOGY
Patrícia Fontão, Gustavo Ramos Teixeira, Daniel Antunes Moreno, Rui Ferreira Marques, João Norberto Stavale, Suzana Maria Fleury Malheiros, Carlos Almeida Júnior, Bruna Minniti Mançano, Rui Manuel Reis
{"title":"High B7-H3 protein expression in Medulloblastoma is associated with metastasis and unfavorable patient outcomes.","authors":"Patrícia Fontão, Gustavo Ramos Teixeira, Daniel Antunes Moreno, Rui Ferreira Marques, João Norberto Stavale, Suzana Maria Fleury Malheiros, Carlos Almeida Júnior, Bruna Minniti Mançano, Rui Manuel Reis","doi":"10.1186/s13000-025-01645-y","DOIUrl":null,"url":null,"abstract":"<p><strong>Background: </strong>Medulloblastoma (MB) is the most common malignant brain tumor in children. Although the 5-year survival rate is approximately 70-80%, the current standard treatment results in severe and long-term side effects. The search for new anticancer immunotherapeutic targets has identified B7-H3 as a promising candidate in various solid tumors. However, the role of B7-H3 in MB remains unclear, and studies reporting its protein expression and association with clinicopathological characteristics are still limited.</p><p><strong>Methods: </strong>In this study, B7-H3 protein expression was evaluated by immunohistochemistry in seven non-tumor samples and 43 molecularly characterized MB tissues. Its expression profile was correlated with B7-H3 (CD276) mRNA levels, which were previously determined by nCounter, as well as with the patients' clinical features.</p><p><strong>Results: </strong>Only 14.3% (1/7) of non-tumor brain and cerebellum tissues showed B7-H3 positivity, whereas 95.6% (41/43) of the MB samples expressed this protein at distinct levels. B7-H3 was found in the cytoplasm and on the membrane of cancer cells. A significant positive correlation was observed between CD276 mRNA and B7-H3 protein levels. Moreover, high expression of B7-H3 protein was associated with worse overall survival and the presence of metastasis at diagnosis.</p><p><strong>Conclusions: </strong>This is the first study to associate CD276 mRNA and B7-H3 protein levels in MB, revealing a significant positive correlation. We observed that B7-H3 was overexpressed in MB compared to non-tumor brain tissue. High B7-H3 expression was associated with a worse outcome and with the presence of metastasis at diagnosis.</p>","PeriodicalId":11237,"journal":{"name":"Diagnostic Pathology","volume":"20 1","pages":"49"},"PeriodicalIF":2.3000,"publicationDate":"2025-04-23","publicationTypes":"Journal Article","fieldsOfStudy":null,"isOpenAccess":false,"openAccessPdf":"https://www.ncbi.nlm.nih.gov/pmc/articles/PMC12016131/pdf/","citationCount":"0","resultStr":null,"platform":"Semanticscholar","paperid":null,"PeriodicalName":"Diagnostic Pathology","FirstCategoryId":"3","ListUrlMain":"https://doi.org/10.1186/s13000-025-01645-y","RegionNum":3,"RegionCategory":"医学","ArticlePicture":[],"TitleCN":null,"AbstractTextCN":null,"PMCID":null,"EPubDate":"","PubModel":"","JCR":"Q2","JCRName":"PATHOLOGY","Score":null,"Total":0}
引用次数: 0

Abstract

Background: Medulloblastoma (MB) is the most common malignant brain tumor in children. Although the 5-year survival rate is approximately 70-80%, the current standard treatment results in severe and long-term side effects. The search for new anticancer immunotherapeutic targets has identified B7-H3 as a promising candidate in various solid tumors. However, the role of B7-H3 in MB remains unclear, and studies reporting its protein expression and association with clinicopathological characteristics are still limited.

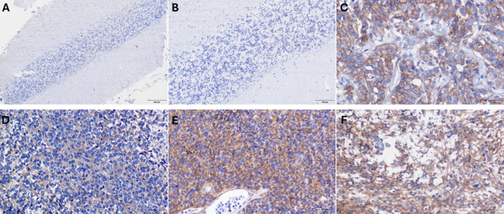
Methods: In this study, B7-H3 protein expression was evaluated by immunohistochemistry in seven non-tumor samples and 43 molecularly characterized MB tissues. Its expression profile was correlated with B7-H3 (CD276) mRNA levels, which were previously determined by nCounter, as well as with the patients' clinical features.

Results: Only 14.3% (1/7) of non-tumor brain and cerebellum tissues showed B7-H3 positivity, whereas 95.6% (41/43) of the MB samples expressed this protein at distinct levels. B7-H3 was found in the cytoplasm and on the membrane of cancer cells. A significant positive correlation was observed between CD276 mRNA and B7-H3 protein levels. Moreover, high expression of B7-H3 protein was associated with worse overall survival and the presence of metastasis at diagnosis.

Conclusions: This is the first study to associate CD276 mRNA and B7-H3 protein levels in MB, revealing a significant positive correlation. We observed that B7-H3 was overexpressed in MB compared to non-tumor brain tissue. High B7-H3 expression was associated with a worse outcome and with the presence of metastasis at diagnosis.

Abstract Image

Abstract Image

Abstract Image

髓母细胞瘤中B7-H3蛋白的高表达与转移和不良的患者预后相关。
背景:髓母细胞瘤是儿童最常见的恶性脑肿瘤。虽然5年生存率约为70-80%,但目前的标准治疗导致严重和长期的副作用。寻找新的抗癌免疫治疗靶点已经确定B7-H3是各种实体肿瘤的有希望的候选者。然而,B7-H3在MB中的作用尚不清楚,报道其蛋白表达及其与临床病理特征的关联的研究仍然有限。方法:采用免疫组化方法检测7例非肿瘤组织和43例MB分子特征组织中B7-H3蛋白的表达。其表达谱与B7-H3 (CD276) mRNA水平(之前由nCounter测定)以及患者的临床特征相关。结果:仅14.3%(1/7)的非肿瘤脑组织和小脑组织表达B7-H3蛋白,而95.6%(41/43)的MB组织表达该蛋白。B7-H3存在于癌细胞的细胞质和细胞膜上。CD276 mRNA与B7-H3蛋白水平呈显著正相关。此外,B7-H3蛋白的高表达与较差的总生存率和诊断时存在转移相关。结论:本研究首次将MB中CD276 mRNA和B7-H3蛋白水平联系起来,显示出显著的正相关。我们观察到,与非肿瘤脑组织相比,B7-H3在MB中过表达。高B7-H3表达与较差的预后和诊断时存在转移相关。
本文章由计算机程序翻译,如有差异,请以英文原文为准。
求助全文
约1分钟内获得全文 求助全文
来源期刊
Diagnostic Pathology
Diagnostic Pathology 医学-病理学
CiteScore
4.60
自引率
0.00%
发文量
93
审稿时长
1 months
期刊介绍: Diagnostic Pathology is an open access, peer-reviewed, online journal that considers research in surgical and clinical pathology, immunology, and biology, with a special focus on cutting-edge approaches in diagnostic pathology and tissue-based therapy. The journal covers all aspects of surgical pathology, including classic diagnostic pathology, prognosis-related diagnosis (tumor stages, prognosis markers, such as MIB-percentage, hormone receptors, etc.), and therapy-related findings. The journal also focuses on the technological aspects of pathology, including molecular biology techniques, morphometry aspects (stereology, DNA analysis, syntactic structure analysis), communication aspects (telecommunication, virtual microscopy, virtual pathology institutions, etc.), and electronic education and quality assurance (for example interactive publication, on-line references with automated updating, etc.).
×
引用
GB/T 7714-2015
复制
MLA
复制
APA
复制
导出至
BibTeX EndNote RefMan NoteFirst NoteExpress
×
提示
您的信息不完整,为了账户安全,请先补充。
现在去补充
×
提示
您因"违规操作"
具体请查看互助需知
我知道了
×
提示
确定
请完成安全验证×
copy
已复制链接
快去分享给好友吧!
我知道了
右上角分享
点击右上角分享
0
联系我们:info@booksci.cn Book学术提供免费学术资源搜索服务,方便国内外学者检索中英文文献。致力于提供最便捷和优质的服务体验。 Copyright © 2023 布克学术 All rights reserved.
京ICP备2023020795号-1
ghs 京公网安备 11010802042870号
Book学术文献互助
Book学术文献互助群
群 号:604180095
Book学术官方微信