An Unusual Case of Ileitis and Partial Small Bowel Obstruction Secondary to Mesh Erosion After Totally Extraperitoneal Inguinal Hernia Repair.

IF 0.5 Q4 GASTROENTEROLOGY & HEPATOLOGY
Case Reports in Gastrointestinal Medicine Pub Date : 2025-05-05 eCollection Date: 2025-01-01 DOI:10.1155/crgm/3047912
Pranesh de Silva, Joseph Do Woong Choi, Craig Lynch, Stephen Pillinger, Saurabh Gupta, Praveen Ravindran
{"title":"An Unusual Case of Ileitis and Partial Small Bowel Obstruction Secondary to Mesh Erosion After Totally Extraperitoneal Inguinal Hernia Repair.","authors":"Pranesh de Silva, Joseph Do Woong Choi, Craig Lynch, Stephen Pillinger, Saurabh Gupta, Praveen Ravindran","doi":"10.1155/crgm/3047912","DOIUrl":null,"url":null,"abstract":"<p><p>The objectives were to highlight that: (1) mesh erosion related partial small bowel obstruction after laparoscopic totally extraperitoneal (TEP) inguinal hernia repair (IHR) as an uncommon complication can clinically and radiologically mimic ileocolic Crohn's disease in young adults; and (2) implore clinicians to consider a broad set of differential diagnosis and prompt involvement of other subspecialties, especially if preliminary investigations and treatment yield minimal results. The authors report a 34-year-old male who presented with computed tomography (CT) findings of ileitis, which was initially investigated for Crohns' disease. Due to persisting abdominal pain and negative initial investigations, he underwent a laparotomy demonstrating secondary mesh migration with erosion into distal ileum requiring bowel resection, 2.5 years after an uneventful laparoscopic right TEP IHR. The patient made an uneventful postoperative recovery and at 6 weeks follow-up, he had resolution of abdominal pains, and normal bowel function.</p>","PeriodicalId":45645,"journal":{"name":"Case Reports in Gastrointestinal Medicine","volume":"2025 ","pages":"3047912"},"PeriodicalIF":0.5000,"publicationDate":"2025-05-05","publicationTypes":"Journal Article","fieldsOfStudy":null,"isOpenAccess":false,"openAccessPdf":"https://www.ncbi.nlm.nih.gov/pmc/articles/PMC12069841/pdf/","citationCount":"0","resultStr":null,"platform":"Semanticscholar","paperid":null,"PeriodicalName":"Case Reports in Gastrointestinal Medicine","FirstCategoryId":"1085","ListUrlMain":"https://doi.org/10.1155/crgm/3047912","RegionNum":0,"RegionCategory":null,"ArticlePicture":[],"TitleCN":null,"AbstractTextCN":null,"PMCID":null,"EPubDate":"2025/1/1 0:00:00","PubModel":"eCollection","JCR":"Q4","JCRName":"GASTROENTEROLOGY & HEPATOLOGY","Score":null,"Total":0}
引用次数: 0

Abstract

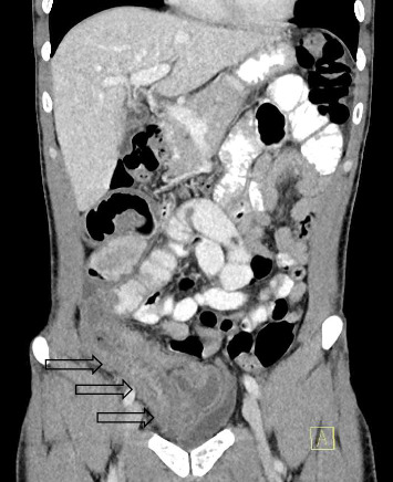
The objectives were to highlight that: (1) mesh erosion related partial small bowel obstruction after laparoscopic totally extraperitoneal (TEP) inguinal hernia repair (IHR) as an uncommon complication can clinically and radiologically mimic ileocolic Crohn's disease in young adults; and (2) implore clinicians to consider a broad set of differential diagnosis and prompt involvement of other subspecialties, especially if preliminary investigations and treatment yield minimal results. The authors report a 34-year-old male who presented with computed tomography (CT) findings of ileitis, which was initially investigated for Crohns' disease. Due to persisting abdominal pain and negative initial investigations, he underwent a laparotomy demonstrating secondary mesh migration with erosion into distal ileum requiring bowel resection, 2.5 years after an uneventful laparoscopic right TEP IHR. The patient made an uneventful postoperative recovery and at 6 weeks follow-up, he had resolution of abdominal pains, and normal bowel function.

Abstract Image

Abstract Image

Abstract Image

腹股沟疝全腹膜外修补术后补片糜烂致回肠炎及部分小肠梗阻1例。
目的是强调:(1)腹腔镜腹股沟疝全腹膜外修补术(IHR)后补片糜烂相关的部分小肠梗阻是一种罕见的并发症,可以在临床上和影像学上模拟年轻人回肠结肠克罗恩病;(2)恳请临床医生考虑广泛的鉴别诊断和其他亚专科的迅速参与,特别是如果初步调查和治疗产生最小的结果。作者报告了一位34岁的男性,他表现为计算机断层扫描(CT)发现回肠炎,最初是为了克罗恩病而调查的。由于持续的腹痛和阴性的初步调查,他接受了剖腹手术,显示继发性补片迁移,侵蚀到回肠远端,需要肠切除术,在顺利的腹腔镜右侧TEP IHR后2.5年。患者术后恢复顺利,随访6周,腹痛消退,肠功能正常。
本文章由计算机程序翻译,如有差异,请以英文原文为准。
求助全文
约1分钟内获得全文 求助全文
来源期刊
Case Reports in Gastrointestinal Medicine
Case Reports in Gastrointestinal Medicine GASTROENTEROLOGY & HEPATOLOGY-
自引率
0.00%
发文量
33
审稿时长
14 weeks
×
引用
GB/T 7714-2015
复制
MLA
复制
APA
复制
导出至
BibTeX EndNote RefMan NoteFirst NoteExpress
×
提示
您的信息不完整,为了账户安全,请先补充。
现在去补充
×
提示
您因"违规操作"
具体请查看互助需知
我知道了
×
提示
确定
请完成安全验证×
copy
已复制链接
快去分享给好友吧!
我知道了
右上角分享
点击右上角分享
0
联系我们:info@booksci.cn Book学术提供免费学术资源搜索服务,方便国内外学者检索中英文文献。致力于提供最便捷和优质的服务体验。 Copyright © 2023 布克学术 All rights reserved.
京ICP备2023020795号-1
ghs 京公网安备 11010802042870号
Book学术文献互助
Book学术文献互助群
群 号:604180095
Book学术官方微信