Lapdoctor: Multicentre Validation of a Scoring System for Preoperative Evaluation of Difficulty of Laparoscopic Donor Nephrectomy.

IF 3 3区 医学 Q1 SURGERY
Transplant International Pub Date : 2025-04-23 eCollection Date: 2025-01-01 DOI:10.3389/ti.2025.14100
Jacopo Romagnoli, Gionata Spagnoletti, Francesco Emilio Rossini, Roberto Iezzi, Alessandro Posa, Maria Paola Salerno, Patrizia Silvestri, Aldo Eugenio Rossini, Cristina Silvestre, Barbara Franchin, Alessandro Giacomoni, Leonardo Centonze, Marco Spada, Maurizio Iaria, Carmelo Puliatti, Lucrezia Furian
{"title":"Lapdoctor: Multicentre Validation of a Scoring System for Preoperative Evaluation of Difficulty of Laparoscopic Donor Nephrectomy.","authors":"Jacopo Romagnoli, Gionata Spagnoletti, Francesco Emilio Rossini, Roberto Iezzi, Alessandro Posa, Maria Paola Salerno, Patrizia Silvestri, Aldo Eugenio Rossini, Cristina Silvestre, Barbara Franchin, Alessandro Giacomoni, Leonardo Centonze, Marco Spada, Maurizio Iaria, Carmelo Puliatti, Lucrezia Furian","doi":"10.3389/ti.2025.14100","DOIUrl":null,"url":null,"abstract":"<p><p>We previously developed and validated LAPDOCTOR (LAParoscopic-Donor-nephreCTomy-scORe), a novel scoring system for the preoperative assessment of the difficulty of living donor nephrectomy (LDN). To prove its significance, we extended our investigation to a prospective, multicenter, national study. Difficulty was assessed by the operating surgeon using a scale from 1 to 3 (1-standard, 2-moderately difficult, 3-very difficult) based on eight parameters: availability of laparoscopic space, mobilization of the colon, kidney, gonadal, adrenal and renal vein, renal artery, and ureter. Donor CT-scans were blindly reviewed by a radiologist, and the LAPDOCTOR scores were compared with the difficulty levels assigned by the surgeon to investigate the match rates. One hundred eighty-five donors were enrolled, with a mean age of 54 years (range 24-77), BMI 25 kg/m2 (range 17-35), and male/female 59/126. LDN was blindly scored as standard in 45% of the cases, moderately-difficult in 52%, and very-difficult in 3%. The agreement between the LAPDOCTOR and expert donor surgeons' rate in categorizing LDN into risk groups had a QWK of 0.711 (95% CI 0.577-0.844) with p < 0.001. The LAPDOCTOR enables precise preoperative determination of the difficulty of LDN, particularly in very difficult cases, and assessment of surgical risk in living kidney donors.</p><p><strong>Clinical trial notation: </strong>https://ClinicalTrials.gov, Identifier NCT05769686.</p>","PeriodicalId":23343,"journal":{"name":"Transplant International","volume":"38 ","pages":"14100"},"PeriodicalIF":3.0000,"publicationDate":"2025-04-23","publicationTypes":"Journal Article","fieldsOfStudy":null,"isOpenAccess":false,"openAccessPdf":"https://www.ncbi.nlm.nih.gov/pmc/articles/PMC12055550/pdf/","citationCount":"0","resultStr":null,"platform":"Semanticscholar","paperid":null,"PeriodicalName":"Transplant International","FirstCategoryId":"3","ListUrlMain":"https://doi.org/10.3389/ti.2025.14100","RegionNum":3,"RegionCategory":"医学","ArticlePicture":[],"TitleCN":null,"AbstractTextCN":null,"PMCID":null,"EPubDate":"2025/1/1 0:00:00","PubModel":"eCollection","JCR":"Q1","JCRName":"SURGERY","Score":null,"Total":0}
引用次数: 0

Abstract

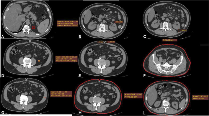
We previously developed and validated LAPDOCTOR (LAParoscopic-Donor-nephreCTomy-scORe), a novel scoring system for the preoperative assessment of the difficulty of living donor nephrectomy (LDN). To prove its significance, we extended our investigation to a prospective, multicenter, national study. Difficulty was assessed by the operating surgeon using a scale from 1 to 3 (1-standard, 2-moderately difficult, 3-very difficult) based on eight parameters: availability of laparoscopic space, mobilization of the colon, kidney, gonadal, adrenal and renal vein, renal artery, and ureter. Donor CT-scans were blindly reviewed by a radiologist, and the LAPDOCTOR scores were compared with the difficulty levels assigned by the surgeon to investigate the match rates. One hundred eighty-five donors were enrolled, with a mean age of 54 years (range 24-77), BMI 25 kg/m2 (range 17-35), and male/female 59/126. LDN was blindly scored as standard in 45% of the cases, moderately-difficult in 52%, and very-difficult in 3%. The agreement between the LAPDOCTOR and expert donor surgeons' rate in categorizing LDN into risk groups had a QWK of 0.711 (95% CI 0.577-0.844) with p < 0.001. The LAPDOCTOR enables precise preoperative determination of the difficulty of LDN, particularly in very difficult cases, and assessment of surgical risk in living kidney donors.

Clinical trial notation: https://ClinicalTrials.gov, Identifier NCT05769686.

Abstract Image

Abstract Image

Abstract Image

腹腔镜供肾切除术难度评估评分系统的多中心验证。
我们之前开发并验证了LAPDOCTOR(腹腔镜-供体-肾切除术-评分),这是一种用于活体供体肾切除术(LDN)术前难度评估的新型评分系统。为了证明其重要性,我们将我们的调查扩展到一个前瞻性的、多中心的、全国性的研究。手术难度由外科医生根据8个参数(腹腔镜空间的可用性,结肠、肾脏、性腺、肾上腺和肾静脉、肾动脉和输尿管的活动性),采用1到3级(1-标准、2-中等困难、3-非常困难)进行评估。放射科医生对供体ct扫描进行盲目检查,并将LAPDOCTOR评分与外科医生分配的难度水平进行比较,以调查匹配率。共招募了185名捐赠者,平均年龄54岁(范围24-77),BMI为25 kg/m2(范围17-35),男女比例为59/126。在45%的病例中,LDN被盲目评分为标准,52%为中度困难,3%为非常困难。LAPDOCTOR和专家供体外科医生将LDN划分为危险组的一致性QWK为0.711 (95% CI 0.577 ~ 0.844), p < 0.001。LAPDOCTOR能够在术前精确确定LDN的难度,特别是在非常困难的病例中,并评估活体肾供者的手术风险。临床试验符号:https://ClinicalTrials.gov,标识符NCT05769686。
本文章由计算机程序翻译,如有差异,请以英文原文为准。
求助全文
约1分钟内获得全文 求助全文
来源期刊
Transplant International
Transplant International 医学-外科
CiteScore
4.70
自引率
6.50%
发文量
211
审稿时长
3-8 weeks
期刊介绍: The aim of the journal is to serve as a forum for the exchange of scientific information in the form of original and high quality papers in the field of transplantation. Clinical and experimental studies, as well as editorials, letters to the editors, and, occasionally, reviews on the biology, physiology, and immunology of transplantation of tissues and organs, are published. Publishing time for the latter is approximately six months, provided major revisions are not needed. The journal is published in yearly volumes, each volume containing twelve issues. Papers submitted to the journal are subject to peer review.
×
引用
GB/T 7714-2015
复制
MLA
复制
APA
复制
导出至
BibTeX EndNote RefMan NoteFirst NoteExpress
×
提示
您的信息不完整,为了账户安全,请先补充。
现在去补充
×
提示
您因"违规操作"
具体请查看互助需知
我知道了
×
提示
确定
请完成安全验证×
copy
已复制链接
快去分享给好友吧!
我知道了
右上角分享
点击右上角分享
0
联系我们:info@booksci.cn Book学术提供免费学术资源搜索服务,方便国内外学者检索中英文文献。致力于提供最便捷和优质的服务体验。 Copyright © 2023 布克学术 All rights reserved.
京ICP备2023020795号-1
ghs 京公网安备 11010802042870号
Book学术文献互助
Book学术文献互助群
群 号:604180095
Book学术官方微信