Spontaneous Retropharyngeal and Cervical Hematoma: A Case Report.

IF 0.6 Q3 MEDICINE, GENERAL & INTERNAL
Clinical Medicine Insights. Case Reports Pub Date : 2025-04-28 eCollection Date: 2025-01-01 DOI:10.1177/11795476251337223
Hatim Bensouda Korachi, Safa Darouich, Said Anajar, Khalid Snoussi, Mustapha Essaadi, Amal Hajjij
{"title":"Spontaneous Retropharyngeal and Cervical Hematoma: A Case Report.","authors":"Hatim Bensouda Korachi, Safa Darouich, Said Anajar, Khalid Snoussi, Mustapha Essaadi, Amal Hajjij","doi":"10.1177/11795476251337223","DOIUrl":null,"url":null,"abstract":"<p><strong>Background: </strong>Spontaneous Retropharyngeal Hematoma and cervical hematoma are rare conditions characterized by the accumulation of blood in the retropharyngeal and cervical region and poses a potential life-threatening risk. This complication can occur unexpectedly and without apparent trauma, particularly in patients on vitamin K antagonists.</p><p><strong>Case presentation: </strong>A 60-year-old man presented to the emergency with acute dysphagia, dysphonia and a right-sided neck ecchymosis. The patient had been on vitamin K antagonists for 7 years following a left intraventricular thrombus. Blood tests revealed an International Normalized Ratio of 7. The diagnosis of Spontaneous Retropharyngeal Hematoma was suspected given the absence of an identified cause and was confirmed by contrast-enhanced computed tomography. The hematoma was attributed to the patient's long-term use of vitamin K antagonists, which predisposed him to spontaneous bleeding. Treatment involved the administration of vitamin K but the patient ultimately passed as a result of respiratory arrest.</p><p><strong>Conclusion: </strong>Spontaneous Retropharyngeal Hematoma due to VKA-related incidents is a rare but significant complication to consider in patients undergoing anticoagulant therapy. Awareness among healthcare professionals is crucial to ensure early recognition and appropriate management.</p>","PeriodicalId":10357,"journal":{"name":"Clinical Medicine Insights. Case Reports","volume":"18 ","pages":"11795476251337223"},"PeriodicalIF":0.6000,"publicationDate":"2025-04-28","publicationTypes":"Journal Article","fieldsOfStudy":null,"isOpenAccess":false,"openAccessPdf":"https://www.ncbi.nlm.nih.gov/pmc/articles/PMC12038189/pdf/","citationCount":"0","resultStr":null,"platform":"Semanticscholar","paperid":null,"PeriodicalName":"Clinical Medicine Insights. Case Reports","FirstCategoryId":"1085","ListUrlMain":"https://doi.org/10.1177/11795476251337223","RegionNum":0,"RegionCategory":null,"ArticlePicture":[],"TitleCN":null,"AbstractTextCN":null,"PMCID":null,"EPubDate":"2025/1/1 0:00:00","PubModel":"eCollection","JCR":"Q3","JCRName":"MEDICINE, GENERAL & INTERNAL","Score":null,"Total":0}
引用次数: 0

Abstract

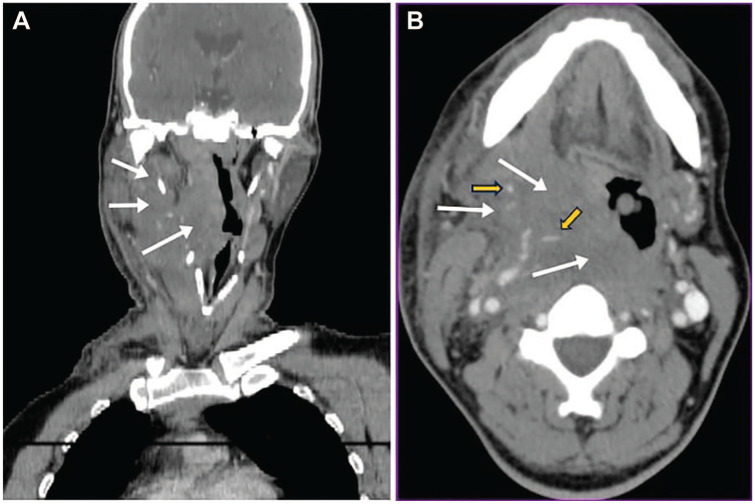
Background: Spontaneous Retropharyngeal Hematoma and cervical hematoma are rare conditions characterized by the accumulation of blood in the retropharyngeal and cervical region and poses a potential life-threatening risk. This complication can occur unexpectedly and without apparent trauma, particularly in patients on vitamin K antagonists.

Case presentation: A 60-year-old man presented to the emergency with acute dysphagia, dysphonia and a right-sided neck ecchymosis. The patient had been on vitamin K antagonists for 7 years following a left intraventricular thrombus. Blood tests revealed an International Normalized Ratio of 7. The diagnosis of Spontaneous Retropharyngeal Hematoma was suspected given the absence of an identified cause and was confirmed by contrast-enhanced computed tomography. The hematoma was attributed to the patient's long-term use of vitamin K antagonists, which predisposed him to spontaneous bleeding. Treatment involved the administration of vitamin K but the patient ultimately passed as a result of respiratory arrest.

Conclusion: Spontaneous Retropharyngeal Hematoma due to VKA-related incidents is a rare but significant complication to consider in patients undergoing anticoagulant therapy. Awareness among healthcare professionals is crucial to ensure early recognition and appropriate management.

Abstract Image

Abstract Image

Abstract Image

自发性咽后及宫颈血肿1例报告。
背景:自发性咽后血肿和宫颈血肿是一种罕见的疾病,其特征是血液在咽后和宫颈区域积聚,具有潜在的生命危险。这种并发症可以意外发生,没有明显的创伤,特别是在服用维生素K拮抗剂的患者中。病例介绍:一名60岁男性因急性吞咽困难、发音困难和右侧颈部瘀斑就诊。患者在左脑室血栓后服用维生素K拮抗剂7年。血液测试显示国际标准化比率为7。自发性咽后血肿的诊断被怀疑是由于没有确定的原因,并通过对比增强计算机断层扫描证实。血肿归因于患者长期使用维生素K拮抗剂,这使他易于自发性出血。治疗包括服用维生素K,但患者最终因呼吸停止而死亡。结论:在接受抗凝治疗的患者中,由vka相关事件引起的自发性咽后血肿是一种罕见但重要的并发症。医疗保健专业人员的意识对于确保早期识别和适当管理至关重要。
本文章由计算机程序翻译,如有差异,请以英文原文为准。
求助全文
约1分钟内获得全文 求助全文
来源期刊
Clinical Medicine Insights. Case Reports
Clinical Medicine Insights. Case Reports MEDICINE, GENERAL & INTERNAL-
CiteScore
1.10
自引率
0.00%
发文量
57
审稿时长
8 weeks
×
引用
GB/T 7714-2015
复制
MLA
复制
APA
复制
导出至
BibTeX EndNote RefMan NoteFirst NoteExpress
×
提示
您的信息不完整,为了账户安全,请先补充。
现在去补充
×
提示
您因"违规操作"
具体请查看互助需知
我知道了
×
提示
确定
请完成安全验证×
copy
已复制链接
快去分享给好友吧!
我知道了
右上角分享
点击右上角分享
0
联系我们:info@booksci.cn Book学术提供免费学术资源搜索服务,方便国内外学者检索中英文文献。致力于提供最便捷和优质的服务体验。 Copyright © 2023 布克学术 All rights reserved.
京ICP备2023020795号-1
ghs 京公网安备 11010802042870号
Book学术文献互助
Book学术文献互助群
群 号:604180095
Book学术官方微信