Immunomodulatory and cardio-protective effects of differentially originated multipotent mesenchymal stroma cells during polymicrobial sepsis in mice.

IF 2.2 3区 医学 Q2 EMERGENCY MEDICINE
Anna Kanewska, Ina Lackner, Anne Friedrich, Martina Winkelmann, Markus Rojewski, Birte Weber, Jochen Preßmar, Mario Perl, Hubert Schrezenmeier, Miriam Kalbitz
{"title":"Immunomodulatory and cardio-protective effects of differentially originated multipotent mesenchymal stroma cells during polymicrobial sepsis in mice.","authors":"Anna Kanewska, Ina Lackner, Anne Friedrich, Martina Winkelmann, Markus Rojewski, Birte Weber, Jochen Preßmar, Mario Perl, Hubert Schrezenmeier, Miriam Kalbitz","doi":"10.1007/s00068-025-02862-2","DOIUrl":null,"url":null,"abstract":"<p><strong>Purpose: </strong>Sepsis is a life-threatening condition with cardiac complications being an independent predictor of poor outcome. Although their mechanisms have been widely investigated, therapeutic options remain limited. One promising therapeutic tool are mesenchymal stromal cells (MSCs). The aim of this study is to investigate the immunomodulatory effects of human MSCs from two different sources (bone marrow/BMMSC and adipose tissue/ASC) and to evaluate their cardioprotective potential.</p><p><strong>Methods: </strong>60 adult male C57BL/6 mice were divided into sham, sepsis (cecal ligation puncture (CLP)) and two i.v. treatment groups CLP + human BMMSC and CLP + human ASC with 5 animals in each group. The observation periods were 8, 24 and 72 h. Left ventricular tissue was analyzed histologically, by qPCR (C3ar, C5ar1, Il-1b, Il-6, Il-10, Tlr2, Tlr4, Tnfa, and Nlrp3) and western blot. Cardiac damage markers troponin I and heart fatty acid binding protein (HFABP) were detected in serum by ELISA.</p><p><strong>Results: </strong>Troponin I and HFABP were significantly increased in CLP group after 8 h compared to sham. In cardiac tissue the expression of C3ar, C5ar1, Il-1b, Il-6, Il-10, Tlr2, Tlr4, Tnfa and Nlrp3 inflammasome was upregulated up to 24h after CLP compared to sham. After BMMSC treatment, C3ar as well as C5ar, Tlr2 and Il-10 mRNA expression in left ventricle was downregulated compared to CLP, whereas ASC treatment was associated with the downregulation of Il-6 and Nlrp3.</p><p><strong>Conclusions: </strong>CLP-induced polymicrobial sepsis in mice was associated with cardiac damage and increased inflammation in left ventricular tissue. Therapeutic systemic application of human BMMSC and ASC ameliorated damage and inflammation in the heart.</p>","PeriodicalId":12064,"journal":{"name":"European Journal of Trauma and Emergency Surgery","volume":"51 1","pages":"178"},"PeriodicalIF":2.2000,"publicationDate":"2025-04-20","publicationTypes":"Journal Article","fieldsOfStudy":null,"isOpenAccess":false,"openAccessPdf":"https://www.ncbi.nlm.nih.gov/pmc/articles/PMC12009780/pdf/","citationCount":"0","resultStr":null,"platform":"Semanticscholar","paperid":null,"PeriodicalName":"European Journal of Trauma and Emergency Surgery","FirstCategoryId":"3","ListUrlMain":"https://doi.org/10.1007/s00068-025-02862-2","RegionNum":3,"RegionCategory":"医学","ArticlePicture":[],"TitleCN":null,"AbstractTextCN":null,"PMCID":null,"EPubDate":"","PubModel":"","JCR":"Q2","JCRName":"EMERGENCY MEDICINE","Score":null,"Total":0}
引用次数: 0

Abstract

Purpose: Sepsis is a life-threatening condition with cardiac complications being an independent predictor of poor outcome. Although their mechanisms have been widely investigated, therapeutic options remain limited. One promising therapeutic tool are mesenchymal stromal cells (MSCs). The aim of this study is to investigate the immunomodulatory effects of human MSCs from two different sources (bone marrow/BMMSC and adipose tissue/ASC) and to evaluate their cardioprotective potential.

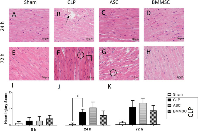
Methods: 60 adult male C57BL/6 mice were divided into sham, sepsis (cecal ligation puncture (CLP)) and two i.v. treatment groups CLP + human BMMSC and CLP + human ASC with 5 animals in each group. The observation periods were 8, 24 and 72 h. Left ventricular tissue was analyzed histologically, by qPCR (C3ar, C5ar1, Il-1b, Il-6, Il-10, Tlr2, Tlr4, Tnfa, and Nlrp3) and western blot. Cardiac damage markers troponin I and heart fatty acid binding protein (HFABP) were detected in serum by ELISA.

Results: Troponin I and HFABP were significantly increased in CLP group after 8 h compared to sham. In cardiac tissue the expression of C3ar, C5ar1, Il-1b, Il-6, Il-10, Tlr2, Tlr4, Tnfa and Nlrp3 inflammasome was upregulated up to 24h after CLP compared to sham. After BMMSC treatment, C3ar as well as C5ar, Tlr2 and Il-10 mRNA expression in left ventricle was downregulated compared to CLP, whereas ASC treatment was associated with the downregulation of Il-6 and Nlrp3.

Conclusions: CLP-induced polymicrobial sepsis in mice was associated with cardiac damage and increased inflammation in left ventricular tissue. Therapeutic systemic application of human BMMSC and ASC ameliorated damage and inflammation in the heart.

Abstract Image

Abstract Image

Abstract Image

不同来源的多能间充质间质细胞在小鼠多微生物脓毒症中的免疫调节和心脏保护作用。
目的:脓毒症是一种危及生命的疾病,心脏并发症是不良预后的独立预测因子。尽管其机制已被广泛研究,但治疗选择仍然有限。间充质间质细胞(MSCs)是一种很有前景的治疗工具。本研究的目的是研究两种不同来源的人骨髓间充质干细胞(BMMSC)和脂肪组织间充质干细胞(ASC)的免疫调节作用,并评估其心脏保护潜力。方法:将60只成年雄性C57BL/6小鼠分为假手术组、脓毒症组(盲肠结扎穿刺(CLP))和CLP +人骨髓间充质干细胞组和CLP +人ASC组,每组5只。观察时间分别为8、24、72 h。采用qPCR (C3ar、C5ar1、Il-1b、Il-6、Il-10、Tlr2、Tlr4、Tnfa、Nlrp3)和western blot对左心室组织进行组织学分析。ELISA法检测血清心肌损伤标志物肌钙蛋白I和心脏脂肪酸结合蛋白(HFABP)含量。结果:与假手术相比,CLP组肌钙蛋白I和HFABP在8 h后显著升高。与假手术相比,CLP后心脏组织中C3ar、C5ar1、Il-1b、Il-6、Il-10、Tlr2、Tlr4、Tnfa和Nlrp3炎症小体的表达上调至24小时。与CLP相比,BMMSC治疗后左心室C3ar、C5ar、Tlr2和Il-10 mRNA表达下调,而ASC治疗与Il-6和Nlrp3下调相关。结论:clp诱导的小鼠多微生物脓毒症与心脏损伤和左心室组织炎症增加有关。治疗性全身应用人骨髓间充质干细胞和ASC可改善心脏损伤和炎症。
本文章由计算机程序翻译,如有差异,请以英文原文为准。
求助全文
约1分钟内获得全文 求助全文
来源期刊
CiteScore
4.50
自引率
14.30%
发文量
311
审稿时长
3 months
期刊介绍: The European Journal of Trauma and Emergency Surgery aims to open an interdisciplinary forum that allows for the scientific exchange between basic and clinical science related to pathophysiology, diagnostics and treatment of traumatized patients. The journal covers all aspects of clinical management, operative treatment and related research of traumatic injuries. Clinical and experimental papers on issues relevant for the improvement of trauma care are published. Reviews, original articles, short communications and letters allow the appropriate presentation of major and minor topics.
×
引用
GB/T 7714-2015
复制
MLA
复制
APA
复制
导出至
BibTeX EndNote RefMan NoteFirst NoteExpress
×
提示
您的信息不完整,为了账户安全,请先补充。
现在去补充
×
提示
您因"违规操作"
具体请查看互助需知
我知道了
×
提示
确定
请完成安全验证×
copy
已复制链接
快去分享给好友吧!
我知道了
右上角分享
点击右上角分享
0
联系我们:info@booksci.cn Book学术提供免费学术资源搜索服务,方便国内外学者检索中英文文献。致力于提供最便捷和优质的服务体验。 Copyright © 2023 布克学术 All rights reserved.
京ICP备2023020795号-1
ghs 京公网安备 11010802042870号
Book学术文献互助
Book学术文献互助群
群 号:604180095
Book学术官方微信