An Unusual Lingual Ulcerated Capillary Angioma After Dressmaker Needle Trauma, Above Migratory Glossitis Lesion, in a Patient With a History of Cancer: A Case Report.

IF 0.9 Q4 DENTISTRY, ORAL SURGERY & MEDICINE
Case Reports in Dentistry Pub Date : 2025-05-06 eCollection Date: 2025-01-01 DOI:10.1155/crid/9921608
Cinzia Casu, Andrea Butera, Clara Gerosa, Andrea Scribante, Martina Salvatorina Murgia, Germano Orrù
{"title":"An Unusual Lingual Ulcerated Capillary Angioma After Dressmaker Needle Trauma, Above Migratory Glossitis Lesion, in a Patient With a History of Cancer: A Case Report.","authors":"Cinzia Casu, Andrea Butera, Clara Gerosa, Andrea Scribante, Martina Salvatorina Murgia, Germano Orrù","doi":"10.1155/crid/9921608","DOIUrl":null,"url":null,"abstract":"<p><p>Vascular malformations are relatively common benign proliferative lesions of vascular and connective tissue origin that can present in oral regions, such as on the tongue. Etiological factors include genetic mutations or molecular changes related to syndromes, trauma, vascular wall resistance to blood flow, and may form part of other systemic diseases. Clinically, they can be extremely heterogeneous, and they can also cause important diagnostic doubts. Migratory glossitis is a very common oral condition in the general population, linked to immunological factors, sometimes connected with intestinal health problems. The aim of this work is to report an atypical case of ulcerated angioma on the tongue and the contemporary presence of migratory glossitis. A 54-year-old Caucasian female with a history of an intestinal cancer presented a particular exophytic lesion on the tip of the tongue where the hypothetical diagnosis of oral metastasis had been included, also for the rapid onset of the oral lesion. The dressmaker's needle trauma related to the patient's work activity could have been the triggering factor for the appearance of the neoformation. The diagnosis after histological evaluation was ulcerated capillary angioma. Due to the unusual presentation of this type of lesion, it is needed to reconsider current knowledge on the etiopathogenesis of vascular lesions and its clinical inclusion in the differential diagnosis.</p>","PeriodicalId":46841,"journal":{"name":"Case Reports in Dentistry","volume":"2025 ","pages":"9921608"},"PeriodicalIF":0.9000,"publicationDate":"2025-05-06","publicationTypes":"Journal Article","fieldsOfStudy":null,"isOpenAccess":false,"openAccessPdf":"https://www.ncbi.nlm.nih.gov/pmc/articles/PMC12074836/pdf/","citationCount":"0","resultStr":null,"platform":"Semanticscholar","paperid":null,"PeriodicalName":"Case Reports in Dentistry","FirstCategoryId":"1085","ListUrlMain":"https://doi.org/10.1155/crid/9921608","RegionNum":0,"RegionCategory":null,"ArticlePicture":[],"TitleCN":null,"AbstractTextCN":null,"PMCID":null,"EPubDate":"2025/1/1 0:00:00","PubModel":"eCollection","JCR":"Q4","JCRName":"DENTISTRY, ORAL SURGERY & MEDICINE","Score":null,"Total":0}
引用次数: 0

Abstract

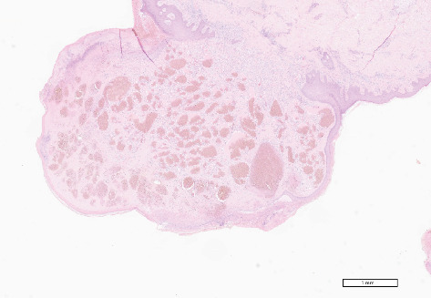
Vascular malformations are relatively common benign proliferative lesions of vascular and connective tissue origin that can present in oral regions, such as on the tongue. Etiological factors include genetic mutations or molecular changes related to syndromes, trauma, vascular wall resistance to blood flow, and may form part of other systemic diseases. Clinically, they can be extremely heterogeneous, and they can also cause important diagnostic doubts. Migratory glossitis is a very common oral condition in the general population, linked to immunological factors, sometimes connected with intestinal health problems. The aim of this work is to report an atypical case of ulcerated angioma on the tongue and the contemporary presence of migratory glossitis. A 54-year-old Caucasian female with a history of an intestinal cancer presented a particular exophytic lesion on the tip of the tongue where the hypothetical diagnosis of oral metastasis had been included, also for the rapid onset of the oral lesion. The dressmaker's needle trauma related to the patient's work activity could have been the triggering factor for the appearance of the neoformation. The diagnosis after histological evaluation was ulcerated capillary angioma. Due to the unusual presentation of this type of lesion, it is needed to reconsider current knowledge on the etiopathogenesis of vascular lesions and its clinical inclusion in the differential diagnosis.

Abstract Image

Abstract Image

一位有癌症病史的患者,在裁缝针外伤后,在移动性舌炎病变上方出现不寻常的舌溃疡性毛细血管瘤1例报告。
血管畸形是相对常见的血管和结缔组织起源的良性增生性病变,可出现在口腔区域,如舌头上。病因因素包括与综合征、创伤、血管壁血流阻力相关的基因突变或分子改变,并可能形成其他全身性疾病的一部分。在临床上,它们可能非常不均匀,也可能引起重要的诊断怀疑。迁移性舌炎是普通人群中非常常见的口腔疾病,与免疫因素有关,有时与肠道健康问题有关。这项工作的目的是报告一个不典型的情况下溃疡血管瘤的舌头和迁移舌炎的当代存在。一位54岁的白人女性,有肠癌病史,在舌尖出现了一种特殊的外生性病变,其中包括口腔转移的假设诊断,也包括口腔病变的快速发作。与患者工作活动有关的裁缝针的创伤可能是引发新生物出现的因素。经组织学检查诊断为溃疡性毛细血管瘤。由于这种类型病变的不寻常表现,需要重新考虑目前对血管病变的发病机制及其临床鉴别诊断的认识。
本文章由计算机程序翻译,如有差异,请以英文原文为准。
求助全文
约1分钟内获得全文 求助全文
来源期刊
Case Reports in Dentistry
Case Reports in Dentistry DENTISTRY, ORAL SURGERY & MEDICINE-
CiteScore
1.40
自引率
12.50%
发文量
107
审稿时长
14 weeks
期刊介绍: Case Reports in Dentistry is a peer-reviewed, Open Access journal that publishes case reports and case series in all areas of dentistry, including periodontal diseases, dental implants, oral pathology, as well as oral and maxillofacial surgery.
×
引用
GB/T 7714-2015
复制
MLA
复制
APA
复制
导出至
BibTeX EndNote RefMan NoteFirst NoteExpress
×
提示
您的信息不完整,为了账户安全,请先补充。
现在去补充
×
提示
您因"违规操作"
具体请查看互助需知
我知道了
×
提示
确定
请完成安全验证×
copy
已复制链接
快去分享给好友吧!
我知道了
右上角分享
点击右上角分享
0
联系我们:info@booksci.cn Book学术提供免费学术资源搜索服务,方便国内外学者检索中英文文献。致力于提供最便捷和优质的服务体验。 Copyright © 2023 布克学术 All rights reserved.
京ICP备2023020795号-1
ghs 京公网安备 11010802042870号
Book学术文献互助
Book学术文献互助群
群 号:604180095
Book学术官方微信