Enhancing tumor control in liver metastases treated with SBRT: dosimetric predictors and clinical outcomes from a single-center analysis.

IF 3.2 3区 医学 Q2 ONCOLOGY
Lisa Seyfried, Michael J Eble, Ahmed Allam Mohamed
{"title":"Enhancing tumor control in liver metastases treated with SBRT: dosimetric predictors and clinical outcomes from a single-center analysis.","authors":"Lisa Seyfried, Michael J Eble, Ahmed Allam Mohamed","doi":"10.1007/s10585-025-10344-3","DOIUrl":null,"url":null,"abstract":"<p><p>Liver metastases, a hallmark of systemic disease, carry a poor prognosis despite advancements in systemic therapies. Stereotactic body radiation therapy (SBRT) has emerged as a promising local treatment, offering durable tumor control with minimal toxicity. However, the optimal dosimetric strategies to maximize outcomes remain an area of active investigation. This retrospective study evaluated 76 patients with 101 liver metastases treated with SBRT between November 2012 and June 2024. Dosimetric parameters were analyzed, including prescribed dose (PD) and dose metrics for planning target volume (PTV) and gross tumor volume (GTV), with doses converted to equivalent doses in 2 Gy fractions (EQD2, α/β = 10). Tumor control probability (TCP) models and survival outcomes were assessed, with a focus on the prognostic impact of dosimetric and clinical factors. Median overall survival (OS) was 33 months, with 1-year and 3-year OS rates of 74.1% and 39.4%, respectively. Freedom from local progression (FFLP) was 82.5% at 12 months. PD emerged as the strongest independent predictor of local control, with an optimal threshold of 77.44 Gy EQD2 significantly improving 1-year FFLP rates (96.8% vs. 67.2%; p = 0.007). Advanced motion management techniques, including internal breath-hold (iBH) with image-guided radiotherapy (IGRT), demonstrated superior local control outcomes. Predictive modeling confirmed PD as the most robust dosimetric metric, correlating with a high TCP and outperforming other dose metrics. Toxicity was minimal, with only 3.9% experiencing grade ≥ 3 adverse events. SBRT represents a highly effective and safe approach for liver metastases, with PD and advanced imaging emerging as pivotal determinants of tumor control. These findings underscore the importance of precise dosimetric planning and motion management in optimizing SBRT outcomes. This study provides a robust framework for personalized treatment strategies, contributing to the integration of SBRT as a cornerstone in the multidisciplinary management of liver metastases.</p>","PeriodicalId":10267,"journal":{"name":"Clinical & Experimental Metastasis","volume":"42 3","pages":"28"},"PeriodicalIF":3.2000,"publicationDate":"2025-04-26","publicationTypes":"Journal Article","fieldsOfStudy":null,"isOpenAccess":false,"openAccessPdf":"https://www.ncbi.nlm.nih.gov/pmc/articles/PMC12033208/pdf/","citationCount":"0","resultStr":null,"platform":"Semanticscholar","paperid":null,"PeriodicalName":"Clinical & Experimental Metastasis","FirstCategoryId":"3","ListUrlMain":"https://doi.org/10.1007/s10585-025-10344-3","RegionNum":3,"RegionCategory":"医学","ArticlePicture":[],"TitleCN":null,"AbstractTextCN":null,"PMCID":null,"EPubDate":"","PubModel":"","JCR":"Q2","JCRName":"ONCOLOGY","Score":null,"Total":0}
引用次数: 0

Abstract

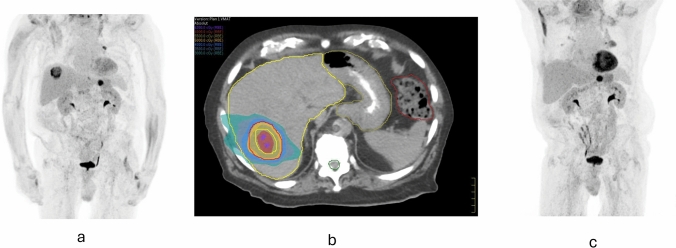
Liver metastases, a hallmark of systemic disease, carry a poor prognosis despite advancements in systemic therapies. Stereotactic body radiation therapy (SBRT) has emerged as a promising local treatment, offering durable tumor control with minimal toxicity. However, the optimal dosimetric strategies to maximize outcomes remain an area of active investigation. This retrospective study evaluated 76 patients with 101 liver metastases treated with SBRT between November 2012 and June 2024. Dosimetric parameters were analyzed, including prescribed dose (PD) and dose metrics for planning target volume (PTV) and gross tumor volume (GTV), with doses converted to equivalent doses in 2 Gy fractions (EQD2, α/β = 10). Tumor control probability (TCP) models and survival outcomes were assessed, with a focus on the prognostic impact of dosimetric and clinical factors. Median overall survival (OS) was 33 months, with 1-year and 3-year OS rates of 74.1% and 39.4%, respectively. Freedom from local progression (FFLP) was 82.5% at 12 months. PD emerged as the strongest independent predictor of local control, with an optimal threshold of 77.44 Gy EQD2 significantly improving 1-year FFLP rates (96.8% vs. 67.2%; p = 0.007). Advanced motion management techniques, including internal breath-hold (iBH) with image-guided radiotherapy (IGRT), demonstrated superior local control outcomes. Predictive modeling confirmed PD as the most robust dosimetric metric, correlating with a high TCP and outperforming other dose metrics. Toxicity was minimal, with only 3.9% experiencing grade ≥ 3 adverse events. SBRT represents a highly effective and safe approach for liver metastases, with PD and advanced imaging emerging as pivotal determinants of tumor control. These findings underscore the importance of precise dosimetric planning and motion management in optimizing SBRT outcomes. This study provides a robust framework for personalized treatment strategies, contributing to the integration of SBRT as a cornerstone in the multidisciplinary management of liver metastases.

Abstract Image

Abstract Image

Abstract Image

加强SBRT治疗肝转移的肿瘤控制:来自单中心分析的剂量学预测因子和临床结果。
肝转移是全身性疾病的标志,尽管在全身性治疗方面取得了进展,但预后却很差。立体定向全身放射治疗(SBRT)已成为一种有前途的局部治疗方法,提供持久的肿瘤控制和最小的毒性。然而,最大化结果的最佳剂量学策略仍然是一个积极研究的领域。这项回顾性研究评估了2012年11月至2024年6月期间接受SBRT治疗的76例101例肝转移患者。分析剂量学参数,包括处方剂量(PD)、计划靶体积(PTV)和总肿瘤体积(GTV)的剂量指标,并将剂量转换为2 Gy分数的等效剂量(EQD2, α/β = 10)。评估肿瘤控制概率(TCP)模型和生存结果,重点关注剂量学和临床因素对预后的影响。中位总生存期(OS)为33个月,1年和3年OS率分别为74.1%和39.4%。12个月时局部进展自由(FFLP)为82.5%。PD是局部控制最强的独立预测因子,EQD2的最佳阈值为77.44 Gy,显著提高了1年FFLP率(96.8% vs 67.2%;p = 0.007)。先进的运动管理技术,包括内部屏气(iBH)和图像引导放射治疗(IGRT),显示出优越的局部控制结果。预测模型证实PD是最可靠的剂量计量指标,与高TCP相关,优于其他剂量计量指标。毒性很小,只有3.9%发生≥3级不良事件。SBRT是一种非常有效和安全的肝转移治疗方法,PD和先进的影像学正在成为肿瘤控制的关键决定因素。这些发现强调了精确的剂量规划和运动管理在优化SBRT结果中的重要性。该研究为个性化治疗策略提供了一个强有力的框架,有助于将SBRT整合为肝转移多学科管理的基石。
本文章由计算机程序翻译,如有差异,请以英文原文为准。
求助全文
约1分钟内获得全文 求助全文
来源期刊
CiteScore
7.80
自引率
5.00%
发文量
55
审稿时长
12 months
期刊介绍: The Journal''s scope encompasses all aspects of metastasis research, whether laboratory-based, experimental or clinical and therapeutic. It covers such areas as molecular biology, pharmacology, tumor biology, and clinical cancer treatment (with all its subdivisions of surgery, chemotherapy and radio-therapy as well as pathology and epidemiology) insofar as these disciplines are concerned with the Journal''s core subject of metastasis formation, prevention and treatment.
×
引用
GB/T 7714-2015
复制
MLA
复制
APA
复制
导出至
BibTeX EndNote RefMan NoteFirst NoteExpress
×
提示
您的信息不完整,为了账户安全,请先补充。
现在去补充
×
提示
您因"违规操作"
具体请查看互助需知
我知道了
×
提示
确定
请完成安全验证×
copy
已复制链接
快去分享给好友吧!
我知道了
右上角分享
点击右上角分享
0
联系我们:info@booksci.cn Book学术提供免费学术资源搜索服务,方便国内外学者检索中英文文献。致力于提供最便捷和优质的服务体验。 Copyright © 2023 布克学术 All rights reserved.
京ICP备2023020795号-1
ghs 京公网安备 11010802042870号
Book学术文献互助
Book学术文献互助群
群 号:604180095
Book学术官方微信