Primary Carcinoid Tumor of the Central Nervous System: A Rare Case Report with a Diagnostic Challenge.

IF 0.8 Q3 MEDICINE, GENERAL & INTERNAL
Anurag Singh, Alka Singh, Kamlesh Singh Bhaisora, Narendra Krishnani
{"title":"Primary Carcinoid Tumor of the Central Nervous System: A Rare Case Report with a Diagnostic Challenge.","authors":"Anurag Singh, Alka Singh, Kamlesh Singh Bhaisora, Narendra Krishnani","doi":"10.4103/ijabmr.ijabmr_523_24","DOIUrl":null,"url":null,"abstract":"<p><p>Carcinoid tumors (CTs) are slow-growing neuroendocrine neoplasms that may arise in any part of the body. They usually affect the lungs or gut. Primary intradural extramedullary CTs of the central nervous system are rare; few cases have been reported. This case report describes a 36-year-old patient with lower back discomfort, weakness, and lower leg pain for 8 months. Contrast-enhanced magnetic resonance imaging of the lumbosacral spine, from the lower L3 vertebral level to the L4-5 disc level, revealed a 4.5 cm × 2.5 cm × 1.5 cm intradural mass lesion. The main differential diagnoses were on clinical and radiographic examination: nerve sheath tumors, meningiomas, and myxopapillary ependymomas. The tumor was excised en bloc after an L3-L5 lumbar laminectomy. Histomorphology and immunohistochemistry made a definitive diagnosis of CT of the lumbar spine. Two years after surgery, there was no clinical or radiological evidence of tumor recurrence or metastasis. The present case study is intended to effectively diagnose and treat spinal intradural extramedullary CTs.</p>","PeriodicalId":13727,"journal":{"name":"International Journal of Applied and Basic Medical Research","volume":"15 2","pages":"128-131"},"PeriodicalIF":0.8000,"publicationDate":"2025-04-01","publicationTypes":"Journal Article","fieldsOfStudy":null,"isOpenAccess":false,"openAccessPdf":"https://www.ncbi.nlm.nih.gov/pmc/articles/PMC12058044/pdf/","citationCount":"0","resultStr":null,"platform":"Semanticscholar","paperid":null,"PeriodicalName":"International Journal of Applied and Basic Medical Research","FirstCategoryId":"1085","ListUrlMain":"https://doi.org/10.4103/ijabmr.ijabmr_523_24","RegionNum":0,"RegionCategory":null,"ArticlePicture":[],"TitleCN":null,"AbstractTextCN":null,"PMCID":null,"EPubDate":"2025/4/7 0:00:00","PubModel":"Epub","JCR":"Q3","JCRName":"MEDICINE, GENERAL & INTERNAL","Score":null,"Total":0}
引用次数: 0

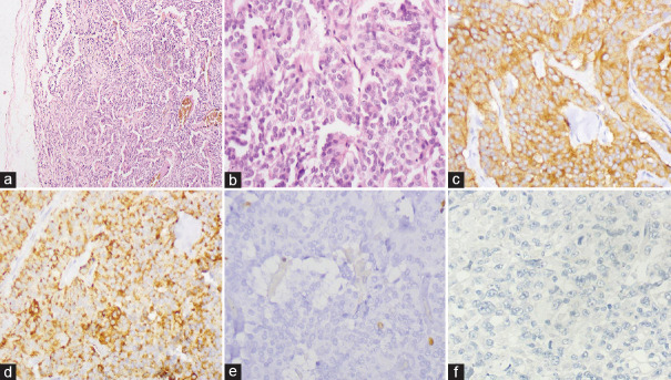
Abstract

Carcinoid tumors (CTs) are slow-growing neuroendocrine neoplasms that may arise in any part of the body. They usually affect the lungs or gut. Primary intradural extramedullary CTs of the central nervous system are rare; few cases have been reported. This case report describes a 36-year-old patient with lower back discomfort, weakness, and lower leg pain for 8 months. Contrast-enhanced magnetic resonance imaging of the lumbosacral spine, from the lower L3 vertebral level to the L4-5 disc level, revealed a 4.5 cm × 2.5 cm × 1.5 cm intradural mass lesion. The main differential diagnoses were on clinical and radiographic examination: nerve sheath tumors, meningiomas, and myxopapillary ependymomas. The tumor was excised en bloc after an L3-L5 lumbar laminectomy. Histomorphology and immunohistochemistry made a definitive diagnosis of CT of the lumbar spine. Two years after surgery, there was no clinical or radiological evidence of tumor recurrence or metastasis. The present case study is intended to effectively diagnose and treat spinal intradural extramedullary CTs.

Abstract Image

Abstract Image

原发性中枢神经系统类癌:一罕见病例报告与诊断挑战。
类癌肿瘤(CTs)是生长缓慢的神经内分泌肿瘤,可出现在身体的任何部位。它们通常会影响肺部或肠道。原发性中枢神经系统硬膜内髓外ct是罕见的;报告的病例很少。本病例报告描述了一名36岁的患者,腰背部不适,无力和下肢疼痛8个月。腰骶棘磁共振增强成像,从下L3椎体水平到L4-5椎间盘水平,显示4.5 cm × 2.5 cm × 1.5 cm硬膜内肿块病变。主要鉴别诊断为临床及影像学检查:神经鞘瘤、脑膜瘤、黏液乳头状室管膜瘤。肿瘤在L3-L5腰椎椎板切除术后整体切除。组织形态学和免疫组织化学对腰椎的CT进行了明确的诊断。手术后两年,没有临床或放射学证据表明肿瘤复发或转移。本病例研究旨在有效诊断和治疗脊髓硬膜内髓外ct。
本文章由计算机程序翻译,如有差异,请以英文原文为准。
求助全文
约1分钟内获得全文 求助全文
来源期刊
自引率
0.00%
发文量
46
×
引用
GB/T 7714-2015
复制
MLA
复制
APA
复制
导出至
BibTeX EndNote RefMan NoteFirst NoteExpress
×
提示
您的信息不完整,为了账户安全,请先补充。
现在去补充
×
提示
您因"违规操作"
具体请查看互助需知
我知道了
×
提示
确定
请完成安全验证×
copy
已复制链接
快去分享给好友吧!
我知道了
右上角分享
点击右上角分享
0
联系我们:info@booksci.cn Book学术提供免费学术资源搜索服务,方便国内外学者检索中英文文献。致力于提供最便捷和优质的服务体验。 Copyright © 2023 布克学术 All rights reserved.
京ICP备2023020795号-1
ghs 京公网安备 11010802042870号
Book学术文献互助
Book学术文献互助群
群 号:604180095
Book学术官方微信