Immune Checkpoint Inhibitor-Mediated Aseptic Meningitis and Hypophysitis.

IF 0.6 Q4 ONCOLOGY
Case Reports in Oncological Medicine Pub Date : 2025-03-08 eCollection Date: 2025-01-01 DOI:10.1155/crom/3517328
Pavel Bleik, Panisara Fangsaard, Nataliya Yuklyaeva
{"title":"Immune Checkpoint Inhibitor-Mediated Aseptic Meningitis and Hypophysitis.","authors":"Pavel Bleik, Panisara Fangsaard, Nataliya Yuklyaeva","doi":"10.1155/crom/3517328","DOIUrl":null,"url":null,"abstract":"<p><p>Immune checkpoint inhibitors have revolutionized cancer treatment, yet their use is associated with unique and sometimes unpredictable immune-related adverse events. We present a case of a 67-year-old female with renal cell cancer treated with ipilimumab and nivolumab who developed aseptic meningitis and hypophysitis. This case highlights the challenges in managing immune-related adverse events and underscores the need for vigilance in monitoring patients receiving ICIs.</p>","PeriodicalId":9636,"journal":{"name":"Case Reports in Oncological Medicine","volume":"2025 ","pages":"3517328"},"PeriodicalIF":0.6000,"publicationDate":"2025-03-08","publicationTypes":"Journal Article","fieldsOfStudy":null,"isOpenAccess":false,"openAccessPdf":"https://www.ncbi.nlm.nih.gov/pmc/articles/PMC11991839/pdf/","citationCount":"0","resultStr":null,"platform":"Semanticscholar","paperid":null,"PeriodicalName":"Case Reports in Oncological Medicine","FirstCategoryId":"1085","ListUrlMain":"https://doi.org/10.1155/crom/3517328","RegionNum":0,"RegionCategory":null,"ArticlePicture":[],"TitleCN":null,"AbstractTextCN":null,"PMCID":null,"EPubDate":"2025/1/1 0:00:00","PubModel":"eCollection","JCR":"Q4","JCRName":"ONCOLOGY","Score":null,"Total":0}
引用次数: 0

Abstract

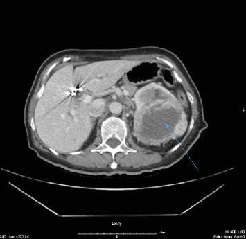
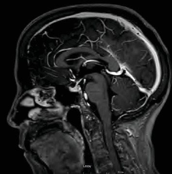
Immune checkpoint inhibitors have revolutionized cancer treatment, yet their use is associated with unique and sometimes unpredictable immune-related adverse events. We present a case of a 67-year-old female with renal cell cancer treated with ipilimumab and nivolumab who developed aseptic meningitis and hypophysitis. This case highlights the challenges in managing immune-related adverse events and underscores the need for vigilance in monitoring patients receiving ICIs.

Abstract Image

Abstract Image

Abstract Image

免疫检查点抑制剂介导的无菌性脑膜炎和垂体炎。
免疫检查点抑制剂已经彻底改变了癌症治疗,但它们的使用与独特的,有时不可预测的免疫相关不良事件有关。我们提出一个病例67岁的女性肾细胞癌与伊匹单抗和纳伏单抗治疗谁发展无菌性脑膜炎和垂体炎。该病例突出了在管理免疫相关不良事件方面的挑战,并强调了在监测接受ici的患者时保持警惕的必要性。
本文章由计算机程序翻译,如有差异,请以英文原文为准。
求助全文
约1分钟内获得全文 求助全文
来源期刊
自引率
0.00%
发文量
11
审稿时长
16 weeks
期刊介绍: Case Reports in Oncological Medicine is a peer-reviewed, Open Access journal that publishes case reports and case series related to breast cancer, lung cancer, gastrointestinal cancer, skin cancer, head and neck cancer, paediatric oncology, neurooncology as well as genitourinary cancer.
×
引用
GB/T 7714-2015
复制
MLA
复制
APA
复制
导出至
BibTeX EndNote RefMan NoteFirst NoteExpress
×
提示
您的信息不完整,为了账户安全,请先补充。
现在去补充
×
提示
您因"违规操作"
具体请查看互助需知
我知道了
×
提示
确定
请完成安全验证×
copy
已复制链接
快去分享给好友吧!
我知道了
右上角分享
点击右上角分享
0
联系我们:info@booksci.cn Book学术提供免费学术资源搜索服务,方便国内外学者检索中英文文献。致力于提供最便捷和优质的服务体验。 Copyright © 2023 布克学术 All rights reserved.
京ICP备2023020795号-1
ghs 京公网安备 11010802042870号
Book学术文献互助
Book学术文献互助群
群 号:604180095
Book学术官方微信