Cytomegalovirus Isolated to a Colon Polyp in a Patient with Ulcerative Colitis on Ozanimod: A Case Report.

IF 0.6 Q4 GASTROENTEROLOGY & HEPATOLOGY
Case Reports in Gastroenterology Pub Date : 2025-05-13 eCollection Date: 2025-01-01 DOI:10.1159/000545642
Zehra Naseem, Ahmed Nadeem, Aidan J David, Aun Muhammad, Fatima Zehra Shah, Brian M Fung, Stephen B Hanauer, Joseph David
{"title":"Cytomegalovirus Isolated to a Colon Polyp in a Patient with Ulcerative Colitis on Ozanimod: A Case Report.","authors":"Zehra Naseem, Ahmed Nadeem, Aidan J David, Aun Muhammad, Fatima Zehra Shah, Brian M Fung, Stephen B Hanauer, Joseph David","doi":"10.1159/000545642","DOIUrl":null,"url":null,"abstract":"<p><strong>Introduction: </strong>Cytomegalovirus (CMV) infection is a notable gastrointestinal infection affecting immunocompromised patients. In the gastrointestinal tract, CMV often presents with patchy or diffuse mucosal involvement and can cause fulminant colitis. However, polypoid CMV lesions are rare. We present a case of a 49-year-old man with ulcerative colitis (UC) in remission on ozanimod who developed CMV isolated to inflammatory colon polyps.</p><p><strong>Case presentation: </strong>A 49-year-old patient with UC in clinical remission on ozanimod underwent routine surveillance colonoscopy, which revealed multiple inflamed polyps with white caps. Biopsy results confirmed inflammatory polyps with positive CMV immunostaining, while adjacent tissues and plasma CMV PCR tests were negative. The patient successfully completed a 3-week course of valganciclovir. Follow-up colonoscopy revealed additional inflammatory polyps but no evidence of CMV. He remained in clinical remission and continued ozanimod therapy.</p><p><strong>Conclusion: </strong>The unusual nature of this presentation suggests a clinically silent CMV reactivation or, alternatively, a primary CMV infection in our patient, with an unclear natural history and optimal management. This report emphasizes the importance of considering CMV in UC patients with unusual endoscopic findings and the need for multidisciplinary collaboration to optimize care.</p>","PeriodicalId":9614,"journal":{"name":"Case Reports in Gastroenterology","volume":"19 1","pages":"352-357"},"PeriodicalIF":0.6000,"publicationDate":"2025-05-13","publicationTypes":"Journal Article","fieldsOfStudy":null,"isOpenAccess":false,"openAccessPdf":"https://www.ncbi.nlm.nih.gov/pmc/articles/PMC12074617/pdf/","citationCount":"0","resultStr":null,"platform":"Semanticscholar","paperid":null,"PeriodicalName":"Case Reports in Gastroenterology","FirstCategoryId":"1085","ListUrlMain":"https://doi.org/10.1159/000545642","RegionNum":0,"RegionCategory":null,"ArticlePicture":[],"TitleCN":null,"AbstractTextCN":null,"PMCID":null,"EPubDate":"2025/1/1 0:00:00","PubModel":"eCollection","JCR":"Q4","JCRName":"GASTROENTEROLOGY & HEPATOLOGY","Score":null,"Total":0}
引用次数: 0

Abstract

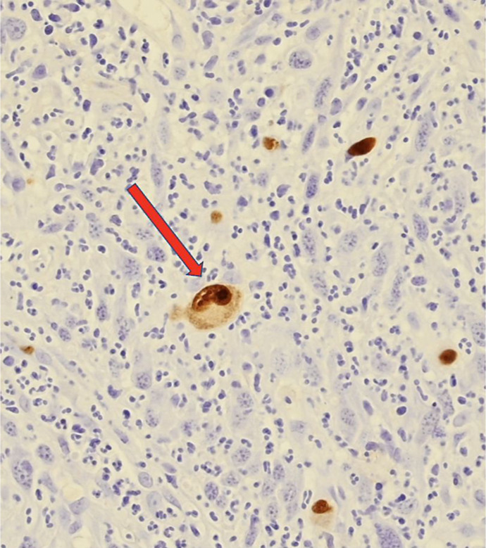
Introduction: Cytomegalovirus (CMV) infection is a notable gastrointestinal infection affecting immunocompromised patients. In the gastrointestinal tract, CMV often presents with patchy or diffuse mucosal involvement and can cause fulminant colitis. However, polypoid CMV lesions are rare. We present a case of a 49-year-old man with ulcerative colitis (UC) in remission on ozanimod who developed CMV isolated to inflammatory colon polyps.

Case presentation: A 49-year-old patient with UC in clinical remission on ozanimod underwent routine surveillance colonoscopy, which revealed multiple inflamed polyps with white caps. Biopsy results confirmed inflammatory polyps with positive CMV immunostaining, while adjacent tissues and plasma CMV PCR tests were negative. The patient successfully completed a 3-week course of valganciclovir. Follow-up colonoscopy revealed additional inflammatory polyps but no evidence of CMV. He remained in clinical remission and continued ozanimod therapy.

Conclusion: The unusual nature of this presentation suggests a clinically silent CMV reactivation or, alternatively, a primary CMV infection in our patient, with an unclear natural history and optimal management. This report emphasizes the importance of considering CMV in UC patients with unusual endoscopic findings and the need for multidisciplinary collaboration to optimize care.

Abstract Image

Abstract Image

Abstract Image

奥扎尼莫德在溃疡性结肠炎患者结肠息肉中分离巨细胞病毒1例。
巨细胞病毒(CMV)感染是一种影响免疫功能低下患者的重要胃肠道感染。在胃肠道,巨细胞病毒常表现为斑片状或弥漫性粘膜受累,可引起暴发性结肠炎。然而,息肉样CMV病变是罕见的。我们提出一个病例,49岁的男子溃疡性结肠炎(UC)缓解ozanimod谁开发CMV分离炎性结肠息肉。病例介绍:一名49岁的临床缓解的UC患者接受常规监测结肠镜检查,发现多个白色帽状炎症息肉。活检结果证实炎性息肉CMV免疫染色阳性,而邻近组织和血浆CMV PCR检测为阴性。患者成功完成了为期3周的缬更昔洛韦疗程。后续结肠镜检查发现了额外的炎性息肉,但没有CMV的证据。他仍处于临床缓解期,并继续接受奥扎莫得治疗。结论:这种不寻常的表现表明临床沉默的巨细胞病毒再激活,或者,我们的患者是原发性巨细胞病毒感染,自然史不清楚,治疗方法不佳。本报告强调考虑巨细胞病毒的重要性UC患者的不寻常的内镜发现和需要多学科合作,以优化护理。
本文章由计算机程序翻译,如有差异,请以英文原文为准。
求助全文
约1分钟内获得全文 求助全文
来源期刊
Case Reports in Gastroenterology
Case Reports in Gastroenterology Medicine-Gastroenterology
CiteScore
1.10
自引率
0.00%
发文量
99
审稿时长
7 weeks
期刊介绍:
×
引用
GB/T 7714-2015
复制
MLA
复制
APA
复制
导出至
BibTeX EndNote RefMan NoteFirst NoteExpress
×
提示
您的信息不完整,为了账户安全,请先补充。
现在去补充
×
提示
您因"违规操作"
具体请查看互助需知
我知道了
×
提示
确定
请完成安全验证×
copy
已复制链接
快去分享给好友吧!
我知道了
右上角分享
点击右上角分享
0
联系我们:info@booksci.cn Book学术提供免费学术资源搜索服务,方便国内外学者检索中英文文献。致力于提供最便捷和优质的服务体验。 Copyright © 2023 布克学术 All rights reserved.
京ICP备2023020795号-1
ghs 京公网安备 11010802042870号
Book学术文献互助
Book学术文献互助群
群 号:604180095
Book学术官方微信