Primary Mesenteric Well-Differentiated Inflammatory Liposarcoma With Mucosal Extension: A Lesion With High Risk for Misdiagnosis.

IF 0.5 Q4 SURGERY
Case Reports in Surgery Pub Date : 2025-04-19 eCollection Date: 2025-01-01 DOI:10.1155/cris/9162938
William Abel, Christopher J Peterson, David P Lebel, Douglas J Grider
{"title":"Primary Mesenteric Well-Differentiated Inflammatory Liposarcoma With Mucosal Extension: A Lesion With High Risk for Misdiagnosis.","authors":"William Abel, Christopher J Peterson, David P Lebel, Douglas J Grider","doi":"10.1155/cris/9162938","DOIUrl":null,"url":null,"abstract":"<p><p>Well-differentiated liposarcomas are common retroperitoneal lesions, but exceedingly rare when primary to the small bowel mesentery, with only a handful of cases reported in the literature. Presented is a patient with a primary mesenteric well-differentiated inflammatory liposarcoma with mucosal extension at high risk for misdiagnosis. A broad differential diagnosis with careful histopathologic observation, ancillary immunohistochemical studies, and fluorescent in situ hybridization for MDM2 amplification are key to make a correct diagnosis. This is especially true if such a lesion was first noted in the lamina propria on histopathology from an endoscopic mucosal biopsy.</p>","PeriodicalId":9600,"journal":{"name":"Case Reports in Surgery","volume":"2025 ","pages":"9162938"},"PeriodicalIF":0.5000,"publicationDate":"2025-04-19","publicationTypes":"Journal Article","fieldsOfStudy":null,"isOpenAccess":false,"openAccessPdf":"https://www.ncbi.nlm.nih.gov/pmc/articles/PMC12033056/pdf/","citationCount":"0","resultStr":null,"platform":"Semanticscholar","paperid":null,"PeriodicalName":"Case Reports in Surgery","FirstCategoryId":"1085","ListUrlMain":"https://doi.org/10.1155/cris/9162938","RegionNum":0,"RegionCategory":null,"ArticlePicture":[],"TitleCN":null,"AbstractTextCN":null,"PMCID":null,"EPubDate":"2025/1/1 0:00:00","PubModel":"eCollection","JCR":"Q4","JCRName":"SURGERY","Score":null,"Total":0}
引用次数: 0

Abstract

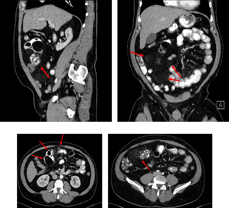
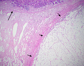
Well-differentiated liposarcomas are common retroperitoneal lesions, but exceedingly rare when primary to the small bowel mesentery, with only a handful of cases reported in the literature. Presented is a patient with a primary mesenteric well-differentiated inflammatory liposarcoma with mucosal extension at high risk for misdiagnosis. A broad differential diagnosis with careful histopathologic observation, ancillary immunohistochemical studies, and fluorescent in situ hybridization for MDM2 amplification are key to make a correct diagnosis. This is especially true if such a lesion was first noted in the lamina propria on histopathology from an endoscopic mucosal biopsy.

Abstract Image

Abstract Image

Abstract Image

原发性肠系膜高分化炎性脂肪肉瘤伴粘膜延伸:一种高误诊风险的病变。
高分化脂肪肉瘤是常见的腹膜后病变,但当原发于小肠肠系膜时极为罕见,文献中只有少数病例报道。本文报告一例具有高误诊风险的肠系膜高分化炎性脂肪肉瘤伴粘膜延伸。广泛的鉴别诊断,仔细的组织病理学观察,辅助免疫组织化学研究,以及MDM2荧光原位杂交扩增是做出正确诊断的关键。如果这种病变首先在内窥镜粘膜活检的组织病理学上发现于固有层,则尤其如此。
本文章由计算机程序翻译,如有差异,请以英文原文为准。
求助全文
约1分钟内获得全文 求助全文
来源期刊
自引率
0.00%
发文量
60
审稿时长
13 weeks
×
引用
GB/T 7714-2015
复制
MLA
复制
APA
复制
导出至
BibTeX EndNote RefMan NoteFirst NoteExpress
×
提示
您的信息不完整,为了账户安全,请先补充。
现在去补充
×
提示
您因"违规操作"
具体请查看互助需知
我知道了
×
提示
确定
请完成安全验证×
copy
已复制链接
快去分享给好友吧!
我知道了
右上角分享
点击右上角分享
0
联系我们:info@booksci.cn Book学术提供免费学术资源搜索服务,方便国内外学者检索中英文文献。致力于提供最便捷和优质的服务体验。 Copyright © 2023 布克学术 All rights reserved.
京ICP备2023020795号-1
ghs 京公网安备 11010802042870号
Book学术文献互助
Book学术文献互助群
群 号:604180095
Book学术官方微信