Diagnostic insights into solid pseudopapillary neoplasms of the pancreas: a decade of experience with pediatric representation.

IF 2.3 3区 医学 Q2 PATHOLOGY
Noura A A Ebrahim, Moamen O Othman, Rasha A Salama, Dalia Abdelfatah, Neveen S Tahoun
{"title":"Diagnostic insights into solid pseudopapillary neoplasms of the pancreas: a decade of experience with pediatric representation.","authors":"Noura A A Ebrahim, Moamen O Othman, Rasha A Salama, Dalia Abdelfatah, Neveen S Tahoun","doi":"10.1186/s13000-025-01648-9","DOIUrl":null,"url":null,"abstract":"<p><strong>Background: </strong>Solid pseudopapillary neoplasms (SPNs) of the pancreas are rare, low-grade malignancies that predominantly affect young females. Their diagnosis is often facilitated by a characteristic histomorphological pattern and immunohistochemical profile. However, diagnostic challenges persist, especially in pediatric and atypical presentations. Recent attention has focused on the diagnostic value of CD99 and LEF1 in distinguishing SPNs from other pancreatic neoplasms.</p><p><strong>Objective: </strong>To evaluate the diagnostic accuracy and utility of CD99 and LEF1 as immunohistochemical markers for SPNs.</p><p><strong>Methods: </strong>A retrospective analysis of 60 SPN cases diagnosed between 2015 and 2024 was performed. Histopathological features were systematically reviewed, and immunohistochemical staining for CD99, LEF1, β-catenin, Cyclin D1, PR, Ki-67 was evaluated. Immunohistochemical marker interpretation was standardized using internally validated thresholds informed by existing literature: CD99 was considered positive with ≥ 10% cytoplasmic staining exhibiting paranuclear accentuation; β-catenin positivity was defined by ≥ 5% nuclear localization; Cyclin D1 by ≥ 10% moderate-to-strong nuclear staining; and progesterone receptor (PR) expression by ≥ 1% nuclear positivity, consistent with hormone receptor evaluation guidelines. Marker expression was statistically analyzed for their associations.</p><p><strong>Results: </strong>SPNs exhibited a strong female predilection (F:M ratio ≈ 7:1), with a mean age of 32.5 years. Pediatric cases (n = 4) displayed higher mean expression of CD99 (73.8%) and LEF1 (86.5%) compared to adults. CD99 showed cytoplasmic positivity with paranuclear accentuation in 96.7% of cases, while LEF1 demonstrated nuclear staining in 91.7%. β-catenin nuclear localization was observed in 95% of tumors, reflecting Wnt/β-catenin pathway activation. Cyclin D1 and PR were expressed in 90% and 88.3% of cases, respectively. Co-expression of β-catenin, CD99, LEF1, Cyclin D1, and PR was observed in 73.3% of tumors. CD99 and LEF1 inversely correlated with tumor size and proliferative activity (Ki-67), whereas Cyclin D1 and Ki-67 positively correlated with tumor size and lymphovascular invasion (LVI). Pediatric tumors generally exhibited favorable profiles, with limited evidence of LVI.</p><p><strong>Conclusion: </strong>SPNs present with distinctive immunohistochemical signatures that are critical for accurate diagnosis, particularly in morphologically ambiguous or pediatric cases. CD99 and LEF1 are highly sensitive markers that, in combination with β-catenin and Cyclin D1, enhance diagnostic precision. These findings emphasize the central role of Wnt/β-catenin signaling in SPN pathogenesis and underscore the importance of integrating clinicopathological and molecular data for comprehensive tumor assessment.</p>","PeriodicalId":11237,"journal":{"name":"Diagnostic Pathology","volume":"20 1","pages":"57"},"PeriodicalIF":2.3000,"publicationDate":"2025-04-30","publicationTypes":"Journal Article","fieldsOfStudy":null,"isOpenAccess":false,"openAccessPdf":"https://www.ncbi.nlm.nih.gov/pmc/articles/PMC12042314/pdf/","citationCount":"0","resultStr":null,"platform":"Semanticscholar","paperid":null,"PeriodicalName":"Diagnostic Pathology","FirstCategoryId":"3","ListUrlMain":"https://doi.org/10.1186/s13000-025-01648-9","RegionNum":3,"RegionCategory":"医学","ArticlePicture":[],"TitleCN":null,"AbstractTextCN":null,"PMCID":null,"EPubDate":"","PubModel":"","JCR":"Q2","JCRName":"PATHOLOGY","Score":null,"Total":0}
引用次数: 0

Abstract

Background: Solid pseudopapillary neoplasms (SPNs) of the pancreas are rare, low-grade malignancies that predominantly affect young females. Their diagnosis is often facilitated by a characteristic histomorphological pattern and immunohistochemical profile. However, diagnostic challenges persist, especially in pediatric and atypical presentations. Recent attention has focused on the diagnostic value of CD99 and LEF1 in distinguishing SPNs from other pancreatic neoplasms.

Objective: To evaluate the diagnostic accuracy and utility of CD99 and LEF1 as immunohistochemical markers for SPNs.

Methods: A retrospective analysis of 60 SPN cases diagnosed between 2015 and 2024 was performed. Histopathological features were systematically reviewed, and immunohistochemical staining for CD99, LEF1, β-catenin, Cyclin D1, PR, Ki-67 was evaluated. Immunohistochemical marker interpretation was standardized using internally validated thresholds informed by existing literature: CD99 was considered positive with ≥ 10% cytoplasmic staining exhibiting paranuclear accentuation; β-catenin positivity was defined by ≥ 5% nuclear localization; Cyclin D1 by ≥ 10% moderate-to-strong nuclear staining; and progesterone receptor (PR) expression by ≥ 1% nuclear positivity, consistent with hormone receptor evaluation guidelines. Marker expression was statistically analyzed for their associations.

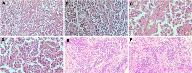
Results: SPNs exhibited a strong female predilection (F:M ratio ≈ 7:1), with a mean age of 32.5 years. Pediatric cases (n = 4) displayed higher mean expression of CD99 (73.8%) and LEF1 (86.5%) compared to adults. CD99 showed cytoplasmic positivity with paranuclear accentuation in 96.7% of cases, while LEF1 demonstrated nuclear staining in 91.7%. β-catenin nuclear localization was observed in 95% of tumors, reflecting Wnt/β-catenin pathway activation. Cyclin D1 and PR were expressed in 90% and 88.3% of cases, respectively. Co-expression of β-catenin, CD99, LEF1, Cyclin D1, and PR was observed in 73.3% of tumors. CD99 and LEF1 inversely correlated with tumor size and proliferative activity (Ki-67), whereas Cyclin D1 and Ki-67 positively correlated with tumor size and lymphovascular invasion (LVI). Pediatric tumors generally exhibited favorable profiles, with limited evidence of LVI.

Conclusion: SPNs present with distinctive immunohistochemical signatures that are critical for accurate diagnosis, particularly in morphologically ambiguous or pediatric cases. CD99 and LEF1 are highly sensitive markers that, in combination with β-catenin and Cyclin D1, enhance diagnostic precision. These findings emphasize the central role of Wnt/β-catenin signaling in SPN pathogenesis and underscore the importance of integrating clinicopathological and molecular data for comprehensive tumor assessment.

Abstract Image

Abstract Image

Abstract Image

胰腺实性假乳头状肿瘤的诊断见解:儿科代表的十年经验。
背景:胰腺实性假乳头状肿瘤(spn)是一种罕见的低级别恶性肿瘤,主要发生在年轻女性。他们的诊断往往是由一个特征性的组织形态模式和免疫组织化学谱。然而,诊断挑战仍然存在,特别是在儿科和非典型的表现。近年来,CD99和LEF1在鉴别spn与其他胰腺肿瘤中的诊断价值备受关注。目的:评价CD99和LEF1作为SPNs免疫组织化学标志物的诊断准确性和实用性。方法:对2015 ~ 2024年诊断的60例SPN进行回顾性分析。系统回顾组织病理学特征,评价CD99、LEF1、β-catenin、Cyclin D1、PR、Ki-67免疫组化染色。免疫组织化学标记物的解释使用现有文献的内部验证阈值进行标准化:CD99被认为是阳性,胞浆染色≥10%,显示核旁强化;β-catenin阳性为≥5%的核定位;Cyclin D1中-强核染色≥10%;孕激素受体(PR)表达≥1%核阳性,符合激素受体评价指南。统计学分析标记表达的相关性。结果:SPNs表现出强烈的女性偏好(F:M比≈7:1),平均年龄32.5岁。儿童病例(n = 4) CD99(73.8%)和LEF1(86.5%)的平均表达高于成人。CD99为细胞质阳性,伴核旁强化,占96.7%;LEF1为细胞核染色,占91.7%。在95%的肿瘤中观察到β-catenin核定位,反映了Wnt/β-catenin通路的激活。Cyclin D1和PR分别在90%和88.3%的病例中表达。73.3%的肿瘤中共表达β-catenin、CD99、LEF1、Cyclin D1和PR。CD99和LEF1与肿瘤大小和增殖活性(Ki-67)呈负相关,而Cyclin D1和Ki-67与肿瘤大小和淋巴血管侵袭(LVI)呈正相关。儿童肿瘤通常表现出良好的特征,LVI的证据有限。结论:spn具有独特的免疫组织化学特征,这对准确诊断至关重要,特别是在形态学模糊或儿童病例中。CD99和LEF1是高度敏感的标志物,与β-catenin和Cyclin D1联合可提高诊断精度。这些发现强调了Wnt/β-catenin信号在SPN发病机制中的核心作用,并强调了综合临床病理和分子数据对肿瘤综合评估的重要性。
本文章由计算机程序翻译,如有差异,请以英文原文为准。
求助全文
约1分钟内获得全文 求助全文
来源期刊
Diagnostic Pathology
Diagnostic Pathology 医学-病理学
CiteScore
4.60
自引率
0.00%
发文量
93
审稿时长
1 months
期刊介绍: Diagnostic Pathology is an open access, peer-reviewed, online journal that considers research in surgical and clinical pathology, immunology, and biology, with a special focus on cutting-edge approaches in diagnostic pathology and tissue-based therapy. The journal covers all aspects of surgical pathology, including classic diagnostic pathology, prognosis-related diagnosis (tumor stages, prognosis markers, such as MIB-percentage, hormone receptors, etc.), and therapy-related findings. The journal also focuses on the technological aspects of pathology, including molecular biology techniques, morphometry aspects (stereology, DNA analysis, syntactic structure analysis), communication aspects (telecommunication, virtual microscopy, virtual pathology institutions, etc.), and electronic education and quality assurance (for example interactive publication, on-line references with automated updating, etc.).
×
引用
GB/T 7714-2015
复制
MLA
复制
APA
复制
导出至
BibTeX EndNote RefMan NoteFirst NoteExpress
×
提示
您的信息不完整,为了账户安全,请先补充。
现在去补充
×
提示
您因"违规操作"
具体请查看互助需知
我知道了
×
提示
确定
请完成安全验证×
copy
已复制链接
快去分享给好友吧!
我知道了
右上角分享
点击右上角分享
0
联系我们:info@booksci.cn Book学术提供免费学术资源搜索服务,方便国内外学者检索中英文文献。致力于提供最便捷和优质的服务体验。 Copyright © 2023 布克学术 All rights reserved.
京ICP备2023020795号-1
ghs 京公网安备 11010802042870号
Book学术文献互助
Book学术文献互助群
群 号:604180095
Book学术官方微信