Primary Neuroendocrine Tumor of the Breast: A Rare Case.

IF 0.5 Q4 SURGERY
Case Reports in Surgery Pub Date : 2025-04-21 eCollection Date: 2025-01-01 DOI:10.1155/cris/5595521
She's Magnolia C Ycong, Hannah Lois R Kangleon-Tan, Kristoff Armand E Tan
{"title":"Primary Neuroendocrine Tumor of the Breast: A Rare Case.","authors":"She's Magnolia C Ycong, Hannah Lois R Kangleon-Tan, Kristoff Armand E Tan","doi":"10.1155/cris/5595521","DOIUrl":null,"url":null,"abstract":"<p><p>Primary neuroendocrine tumors (NETs) predominantly affect postmenopausal women. This case study focused on a 54-year-old woman who presented with a painless right breast lump. While the lump exhibited estrogen and progesterone receptor (PR) positivity, it lacked human epidermal growth factor receptor 2 expression. Further evaluation revealed positivity for the neuroendocrine markers chromogranin A (CGA) and synaptophysin (SYN). It also revealed a 3% positive Ki-67 proliferation index. Treatment for neuroendocrine breast cancer (NEBC) mirrors that of standard invasive breast cancer: breast conservation or mastectomy combined with sentinel lymph node biopsy or axillary dissection. The patient underwent a right mastectomy with sentinel lymph node biopsy, followed by hormonal therapy based on her tumor's immunohistochemical profile. Due to the low incidence and limited research on primary NETs, their exact origin remains shrouded in mystery. Accurate diagnosis, specific treatment options, and long-term prognosis remain significant challenges in managing this rare form of breast cancer.</p>","PeriodicalId":9600,"journal":{"name":"Case Reports in Surgery","volume":"2025 ","pages":"5595521"},"PeriodicalIF":0.5000,"publicationDate":"2025-04-21","publicationTypes":"Journal Article","fieldsOfStudy":null,"isOpenAccess":false,"openAccessPdf":"https://www.ncbi.nlm.nih.gov/pmc/articles/PMC12037242/pdf/","citationCount":"0","resultStr":null,"platform":"Semanticscholar","paperid":null,"PeriodicalName":"Case Reports in Surgery","FirstCategoryId":"1085","ListUrlMain":"https://doi.org/10.1155/cris/5595521","RegionNum":0,"RegionCategory":null,"ArticlePicture":[],"TitleCN":null,"AbstractTextCN":null,"PMCID":null,"EPubDate":"2025/1/1 0:00:00","PubModel":"eCollection","JCR":"Q4","JCRName":"SURGERY","Score":null,"Total":0}
引用次数: 0

Abstract

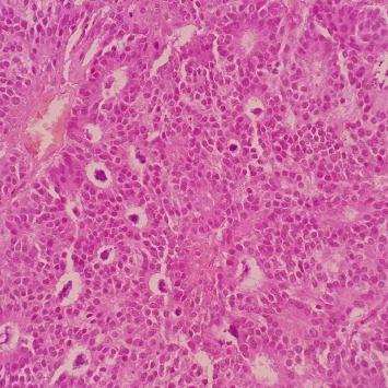
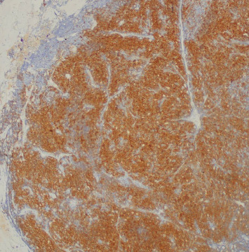
Primary neuroendocrine tumors (NETs) predominantly affect postmenopausal women. This case study focused on a 54-year-old woman who presented with a painless right breast lump. While the lump exhibited estrogen and progesterone receptor (PR) positivity, it lacked human epidermal growth factor receptor 2 expression. Further evaluation revealed positivity for the neuroendocrine markers chromogranin A (CGA) and synaptophysin (SYN). It also revealed a 3% positive Ki-67 proliferation index. Treatment for neuroendocrine breast cancer (NEBC) mirrors that of standard invasive breast cancer: breast conservation or mastectomy combined with sentinel lymph node biopsy or axillary dissection. The patient underwent a right mastectomy with sentinel lymph node biopsy, followed by hormonal therapy based on her tumor's immunohistochemical profile. Due to the low incidence and limited research on primary NETs, their exact origin remains shrouded in mystery. Accurate diagnosis, specific treatment options, and long-term prognosis remain significant challenges in managing this rare form of breast cancer.

Abstract Image

Abstract Image

Abstract Image

乳腺原发性神经内分泌肿瘤一例罕见。
原发性神经内分泌肿瘤(NETs)主要影响绝经后妇女。本病例研究集中于一位54岁的女性,她表现为右侧乳房无痛性肿块。虽然肿块显示雌激素和孕激素受体(PR)阳性,但缺乏人表皮生长因子受体2的表达。进一步评估显示神经内分泌标记物嗜铬粒蛋白A (CGA)和突触素(SYN)呈阳性。Ki-67增殖指数3%阳性。神经内分泌乳腺癌(NEBC)的治疗方法与标准浸润性乳腺癌相同:保留乳房或乳房切除术结合前哨淋巴结活检或腋窝清扫。患者接受了右侧乳房切除术和前哨淋巴结活检,随后根据肿瘤的免疫组织化学特征进行激素治疗。由于原发性NETs发病率低,研究有限,其确切起源仍然是一个谜。准确的诊断、具体的治疗方案和长期预后仍然是治疗这种罕见乳腺癌的重大挑战。
本文章由计算机程序翻译,如有差异,请以英文原文为准。
求助全文
约1分钟内获得全文 求助全文
来源期刊
自引率
0.00%
发文量
60
审稿时长
13 weeks
×
引用
GB/T 7714-2015
复制
MLA
复制
APA
复制
导出至
BibTeX EndNote RefMan NoteFirst NoteExpress
×
提示
您的信息不完整,为了账户安全,请先补充。
现在去补充
×
提示
您因"违规操作"
具体请查看互助需知
我知道了
×
提示
确定
请完成安全验证×
copy
已复制链接
快去分享给好友吧!
我知道了
右上角分享
点击右上角分享
0
联系我们:info@booksci.cn Book学术提供免费学术资源搜索服务,方便国内外学者检索中英文文献。致力于提供最便捷和优质的服务体验。 Copyright © 2023 布克学术 All rights reserved.
京ICP备2023020795号-1
ghs 京公网安备 11010802042870号
Book学术文献互助
Book学术文献互助群
群 号:604180095
Book学术官方微信