Pseudomelanosis Duodeni after Intravenous Iron Supplementation in a Patient with Multiple Comorbidities: A Case Report.

IF 0.6 Q4 GASTROENTEROLOGY & HEPATOLOGY
Case Reports in Gastroenterology Pub Date : 2025-05-07 eCollection Date: 2025-01-01 DOI:10.1159/000545562
Olanrewaju Adeniran, Ayowumi Andrew Adekolu, Joshua Kirkpatrick, Ethan M Cohen, Abdullahi Adedotun Sulaiman, Farirai Marwizi, Zachary Kovac, Budoor Alqinai, Raja Samir Khan
{"title":"Pseudomelanosis Duodeni after Intravenous Iron Supplementation in a Patient with Multiple Comorbidities: A Case Report.","authors":"Olanrewaju Adeniran, Ayowumi Andrew Adekolu, Joshua Kirkpatrick, Ethan M Cohen, Abdullahi Adedotun Sulaiman, Farirai Marwizi, Zachary Kovac, Budoor Alqinai, Raja Samir Khan","doi":"10.1159/000545562","DOIUrl":null,"url":null,"abstract":"<p><strong>Introduction: </strong>Pseudomelanosis duodeni (PD) is a rare condition characterized by multiple pigmented speckles in the duodenum. It is typically seen in adults and has been associated with chronic kidney disease, hypertension, iron deficiency anemia, diabetes mellitus, and the use of medications like oral iron, hydralazine, furosemide, and hydrochlorothiazide. While oral iron is common, only one documented PD has been associated with intravenous (IV) iron supplementation.</p><p><strong>Case presentation: </strong>A 69-year-old female with multiple comorbidities, including stage 4 chronic kidney disease and hypertension, presented with persistent nausea and vomiting. An esophagogastroduodenoscopy (EGD) revealed diffuse, dark speckling throughout the duodenal mucosa. Biopsies confirmed PD through Perl Prussian blue and Fontana-Masson staining, which detected iron in black/brown pigmentations within macrophages. The patient received a 5-week course of weekly intravenous iron supplementation 6 months before presentation. Previous EGD 7 and 5 years earlier showed no evidence of PD despite the patient being on sulfur-containing antihypertensive medications. This case suggests a likely interplay between IV iron and sulfur-containing medications in PD development.</p><p><strong>Conclusion: </strong>While PD has been associated with multiple comorbidities and certain medications, the causal mechanism remains unclear. PD likely entails defective iron transport and iron sulfide accumulation within duodenal macrophages. This case highlights the potential role of IV iron supplementation in PD development, even in the absence of oral iron intake. PD is regarded as a benign condition with no specific guidelines for treatment or follow-up, but a biopsy is crucial to rule out other differential diagnoses and avoid unwanted interventions.</p>","PeriodicalId":9614,"journal":{"name":"Case Reports in Gastroenterology","volume":"19 1","pages":"328-334"},"PeriodicalIF":0.6000,"publicationDate":"2025-05-07","publicationTypes":"Journal Article","fieldsOfStudy":null,"isOpenAccess":false,"openAccessPdf":"https://www.ncbi.nlm.nih.gov/pmc/articles/PMC12058112/pdf/","citationCount":"0","resultStr":null,"platform":"Semanticscholar","paperid":null,"PeriodicalName":"Case Reports in Gastroenterology","FirstCategoryId":"1085","ListUrlMain":"https://doi.org/10.1159/000545562","RegionNum":0,"RegionCategory":null,"ArticlePicture":[],"TitleCN":null,"AbstractTextCN":null,"PMCID":null,"EPubDate":"2025/1/1 0:00:00","PubModel":"eCollection","JCR":"Q4","JCRName":"GASTROENTEROLOGY & HEPATOLOGY","Score":null,"Total":0}
引用次数: 0

Abstract

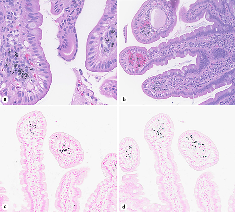
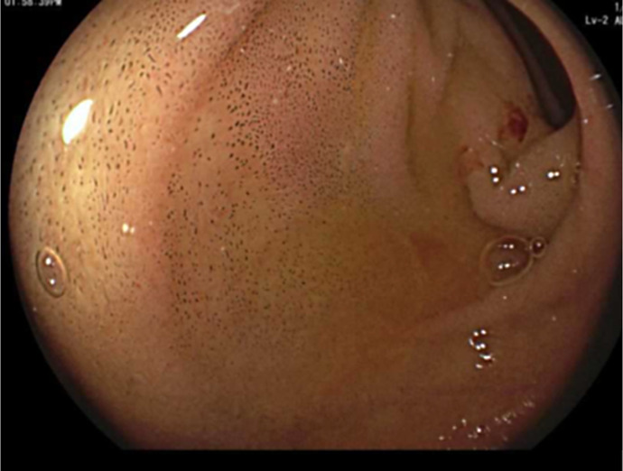
Introduction: Pseudomelanosis duodeni (PD) is a rare condition characterized by multiple pigmented speckles in the duodenum. It is typically seen in adults and has been associated with chronic kidney disease, hypertension, iron deficiency anemia, diabetes mellitus, and the use of medications like oral iron, hydralazine, furosemide, and hydrochlorothiazide. While oral iron is common, only one documented PD has been associated with intravenous (IV) iron supplementation.

Case presentation: A 69-year-old female with multiple comorbidities, including stage 4 chronic kidney disease and hypertension, presented with persistent nausea and vomiting. An esophagogastroduodenoscopy (EGD) revealed diffuse, dark speckling throughout the duodenal mucosa. Biopsies confirmed PD through Perl Prussian blue and Fontana-Masson staining, which detected iron in black/brown pigmentations within macrophages. The patient received a 5-week course of weekly intravenous iron supplementation 6 months before presentation. Previous EGD 7 and 5 years earlier showed no evidence of PD despite the patient being on sulfur-containing antihypertensive medications. This case suggests a likely interplay between IV iron and sulfur-containing medications in PD development.

Conclusion: While PD has been associated with multiple comorbidities and certain medications, the causal mechanism remains unclear. PD likely entails defective iron transport and iron sulfide accumulation within duodenal macrophages. This case highlights the potential role of IV iron supplementation in PD development, even in the absence of oral iron intake. PD is regarded as a benign condition with no specific guidelines for treatment or follow-up, but a biopsy is crucial to rule out other differential diagnoses and avoid unwanted interventions.

Abstract Image

Abstract Image

Abstract Image

多重合并症患者静脉补铁后的十二指肠假性黑色素病1例报告。
摘要十二指肠假性黑素病(PD)是一种罕见的疾病,其特征是十二指肠内有多个色素斑点。它通常见于成人,并与慢性肾病、高血压、缺铁性贫血、糖尿病以及口服铁、肼、速尿和氢氯噻嗪等药物的使用有关。虽然口服铁很常见,但只有一种PD与静脉补铁有关。病例介绍:一名69岁女性,患有多种合并症,包括4期慢性肾病和高血压,表现为持续恶心和呕吐。食管胃十二指肠镜(EGD)显示整个十二指肠黏膜弥漫性黑色斑点。活检通过Perl普鲁士蓝和Fontana-Masson染色证实PD,巨噬细胞内黑色/棕色色素中检测到铁。患者在就诊前6个月接受了为期5周的每周静脉补铁疗程。尽管患者服用含硫降压药,但7年和5年前的EGD未显示PD的证据。本病例提示静脉注射含铁和含硫药物在帕金森病发展中可能存在相互作用。结论:虽然PD与多种合并症和某些药物有关,但其因果机制尚不清楚。PD可能与十二指肠巨噬细胞内铁转运缺陷和硫化铁积累有关。本病例强调了静脉补铁在PD发展中的潜在作用,即使在没有口服铁摄入的情况下。PD被认为是一种良性疾病,没有具体的治疗或随访指南,但活检对于排除其他鉴别诊断和避免不必要的干预至关重要。
本文章由计算机程序翻译,如有差异,请以英文原文为准。
求助全文
约1分钟内获得全文 求助全文
来源期刊
Case Reports in Gastroenterology
Case Reports in Gastroenterology Medicine-Gastroenterology
CiteScore
1.10
自引率
0.00%
发文量
99
审稿时长
7 weeks
期刊介绍:
×
引用
GB/T 7714-2015
复制
MLA
复制
APA
复制
导出至
BibTeX EndNote RefMan NoteFirst NoteExpress
×
提示
您的信息不完整,为了账户安全,请先补充。
现在去补充
×
提示
您因"违规操作"
具体请查看互助需知
我知道了
×
提示
确定
请完成安全验证×
copy
已复制链接
快去分享给好友吧!
我知道了
右上角分享
点击右上角分享
0
联系我们:info@booksci.cn Book学术提供免费学术资源搜索服务,方便国内外学者检索中英文文献。致力于提供最便捷和优质的服务体验。 Copyright © 2023 布克学术 All rights reserved.
京ICP备2023020795号-1
ghs 京公网安备 11010802042870号
Book学术文献互助
Book学术文献互助群
群 号:604180095
Book学术官方微信