A Rare Case of Hypoparathyroidism With Basal Ganglia Calcification in a 17-year-old Epileptic Patient Presenting With Falciparum Malaria, Thrombocytopenia and Anemia.

IF 0.6 Q3 MEDICINE, GENERAL & INTERNAL
Clinical Medicine Insights. Case Reports Pub Date : 2025-04-30 eCollection Date: 2025-01-01 DOI:10.1177/11795476251332438
Zauha Fawad Memon, Sibgha Fawad Memon, Matia Fawad Memon, Hussain Haider Shah, Tooba Hussain
{"title":"A Rare Case of Hypoparathyroidism With Basal Ganglia Calcification in a 17-year-old Epileptic Patient Presenting With Falciparum Malaria, Thrombocytopenia and Anemia.","authors":"Zauha Fawad Memon, Sibgha Fawad Memon, Matia Fawad Memon, Hussain Haider Shah, Tooba Hussain","doi":"10.1177/11795476251332438","DOIUrl":null,"url":null,"abstract":"<p><p>Fahr Syndrome or Strio-Pallido Dentate Calcinosis is a rare neurological syndrome characterized by deposition of calcium in basal ganglia, which usually occurs secondary to other underlying endocrinological disorders like hypo/hyper-parathyroidism. Symptoms vary greatly and may range from psychiatric ones like confusion and hallucination to neurological like Tremors, Rigidity, with seizures being the rarest manifestation. Laboratory tests and brain imaging play a crucial role in establishing the diagnosis, while treatment primarily focuses on managing symptoms. Here, we report a case of a 17-year-old female diagnosed with Fahr's syndrome secondary to hypo-parathyroidism, onset of the disease at such young age coupled with uncommon presentation of fits makes this case rather remarkable.</p>","PeriodicalId":10357,"journal":{"name":"Clinical Medicine Insights. Case Reports","volume":"18 ","pages":"11795476251332438"},"PeriodicalIF":0.6000,"publicationDate":"2025-04-30","publicationTypes":"Journal Article","fieldsOfStudy":null,"isOpenAccess":false,"openAccessPdf":"https://www.ncbi.nlm.nih.gov/pmc/articles/PMC12044265/pdf/","citationCount":"0","resultStr":null,"platform":"Semanticscholar","paperid":null,"PeriodicalName":"Clinical Medicine Insights. Case Reports","FirstCategoryId":"1085","ListUrlMain":"https://doi.org/10.1177/11795476251332438","RegionNum":0,"RegionCategory":null,"ArticlePicture":[],"TitleCN":null,"AbstractTextCN":null,"PMCID":null,"EPubDate":"2025/1/1 0:00:00","PubModel":"eCollection","JCR":"Q3","JCRName":"MEDICINE, GENERAL & INTERNAL","Score":null,"Total":0}
引用次数: 0

Abstract

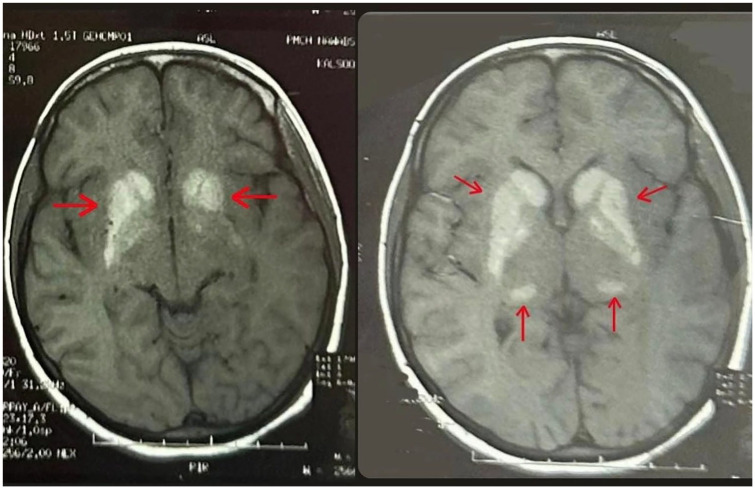
Fahr Syndrome or Strio-Pallido Dentate Calcinosis is a rare neurological syndrome characterized by deposition of calcium in basal ganglia, which usually occurs secondary to other underlying endocrinological disorders like hypo/hyper-parathyroidism. Symptoms vary greatly and may range from psychiatric ones like confusion and hallucination to neurological like Tremors, Rigidity, with seizures being the rarest manifestation. Laboratory tests and brain imaging play a crucial role in establishing the diagnosis, while treatment primarily focuses on managing symptoms. Here, we report a case of a 17-year-old female diagnosed with Fahr's syndrome secondary to hypo-parathyroidism, onset of the disease at such young age coupled with uncommon presentation of fits makes this case rather remarkable.

Abstract Image

Abstract Image

Abstract Image

一例罕见的甲状旁腺功能减退伴基底神经节钙化的17岁癫痫患者,表现为恶性疟疾、血小板减少和贫血。
Fahr综合征或Strio-Pallido齿状钙质沉着症是一种罕见的以基底神经节钙沉积为特征的神经系统综合征,通常继发于其他潜在的内分泌疾病,如甲状旁腺功能低下/亢进。症状差异很大,从精神上的混乱和幻觉到神经上的颤抖、僵硬,最罕见的表现是癫痫发作。实验室检查和脑成像在确定诊断方面起着至关重要的作用,而治疗主要侧重于控制症状。在这里,我们报告一个17岁的女性被诊断为继发于甲状旁腺功能低下的Fahr综合征,在如此年轻的年龄发病,加上罕见的发作,使得这个病例相当引人注目。
本文章由计算机程序翻译,如有差异,请以英文原文为准。
求助全文
约1分钟内获得全文 求助全文
来源期刊
Clinical Medicine Insights. Case Reports
Clinical Medicine Insights. Case Reports MEDICINE, GENERAL & INTERNAL-
CiteScore
1.10
自引率
0.00%
发文量
57
审稿时长
8 weeks
×
引用
GB/T 7714-2015
复制
MLA
复制
APA
复制
导出至
BibTeX EndNote RefMan NoteFirst NoteExpress
×
提示
您的信息不完整,为了账户安全,请先补充。
现在去补充
×
提示
您因"违规操作"
具体请查看互助需知
我知道了
×
提示
确定
请完成安全验证×
copy
已复制链接
快去分享给好友吧!
我知道了
右上角分享
点击右上角分享
0
联系我们:info@booksci.cn Book学术提供免费学术资源搜索服务,方便国内外学者检索中英文文献。致力于提供最便捷和优质的服务体验。 Copyright © 2023 布克学术 All rights reserved.
京ICP备2023020795号-1
ghs 京公网安备 11010802042870号
Book学术文献互助
Book学术文献互助群
群 号:604180095
Book学术官方微信