Correlation of shear wave elastography with histopathological grade, tumor stage, and microvessel density in bladder cancer.

IF 2.1 3区 医学 Q2 UROLOGY & NEPHROLOGY
Gokhan Sahin, Hakan Gemalmaz, Mustafa Gok
{"title":"Correlation of shear wave elastography with histopathological grade, tumor stage, and microvessel density in bladder cancer.","authors":"Gokhan Sahin, Hakan Gemalmaz, Mustafa Gok","doi":"10.4111/icu.20250068","DOIUrl":null,"url":null,"abstract":"<p><strong>Purpose: </strong>To evaluate the pathological correlation and prognostic significance of tissue stiffness measured by shear wave elastography (SWE) in bladder cancer.</p><p><strong>Materials and methods: </strong>Patients with microscopic or macroscopic hematuria diagnosed with bladder tumors were included. SWE measurements were performed using a Samsung Medison RS80A Prestige ultrasonography device, with ten valid measurements taken for each tumor. Tumor specimens were collected via transurethral resection (transurethral resection of the bladder tumor) for histopathological analysis. Microvessel density (MVD) was assessed by immunohistochemical staining with anti-CD34 antibody using the hot-spot method. Correlations between tissue stiffness, MVD and tumor stage and grade were analyzed, and receiver operating characteristic (ROC) analysis determined the optimal SWE cutoff for differentiating tumor characteristics.</p><p><strong>Results: </strong>A total of 65 bladder urothelial carcinoma patients were included in the study (43 high-grade, 22 low-grade). SWE and MVD were significantly higher in the high-grade group (p=0.001, p=0.002, respectively). ROC analysis showed SWE could differentiate tumor grades (area under ROC curve=0.837, p<0.001), with a cut-off of 4.25 kPa (74% sensitivity, 86% specificity). Stiffness was also higher in recurrence (p=0.007). A strong positive correlation between SWE and MVD was found (rho=0.767, p<0.001). SWE may be a reliable, non-invasive tool for assessing tumor grade and recurrence risk.</p><p><strong>Conclusions: </strong>SWE may be a reliable, non-invasive preoperative marker for bladder cancer, aiding in tumor characterization and clinical decision-making.</p>","PeriodicalId":14522,"journal":{"name":"Investigative and Clinical Urology","volume":"66 3","pages":"207-214"},"PeriodicalIF":2.1000,"publicationDate":"2025-05-01","publicationTypes":"Journal Article","fieldsOfStudy":null,"isOpenAccess":false,"openAccessPdf":"https://www.ncbi.nlm.nih.gov/pmc/articles/PMC12058542/pdf/","citationCount":"0","resultStr":null,"platform":"Semanticscholar","paperid":null,"PeriodicalName":"Investigative and Clinical Urology","FirstCategoryId":"3","ListUrlMain":"https://doi.org/10.4111/icu.20250068","RegionNum":3,"RegionCategory":"医学","ArticlePicture":[],"TitleCN":null,"AbstractTextCN":null,"PMCID":null,"EPubDate":"","PubModel":"","JCR":"Q2","JCRName":"UROLOGY & NEPHROLOGY","Score":null,"Total":0}
引用次数: 0

Abstract

Purpose: To evaluate the pathological correlation and prognostic significance of tissue stiffness measured by shear wave elastography (SWE) in bladder cancer.

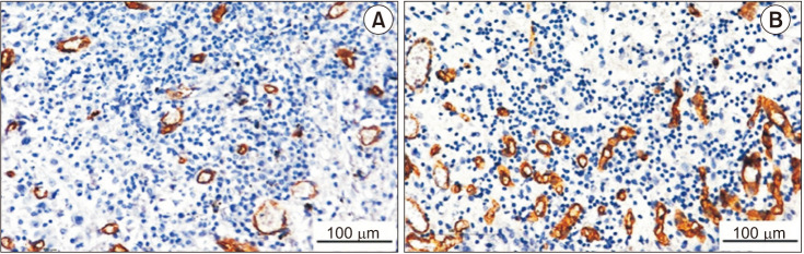
Materials and methods: Patients with microscopic or macroscopic hematuria diagnosed with bladder tumors were included. SWE measurements were performed using a Samsung Medison RS80A Prestige ultrasonography device, with ten valid measurements taken for each tumor. Tumor specimens were collected via transurethral resection (transurethral resection of the bladder tumor) for histopathological analysis. Microvessel density (MVD) was assessed by immunohistochemical staining with anti-CD34 antibody using the hot-spot method. Correlations between tissue stiffness, MVD and tumor stage and grade were analyzed, and receiver operating characteristic (ROC) analysis determined the optimal SWE cutoff for differentiating tumor characteristics.

Results: A total of 65 bladder urothelial carcinoma patients were included in the study (43 high-grade, 22 low-grade). SWE and MVD were significantly higher in the high-grade group (p=0.001, p=0.002, respectively). ROC analysis showed SWE could differentiate tumor grades (area under ROC curve=0.837, p<0.001), with a cut-off of 4.25 kPa (74% sensitivity, 86% specificity). Stiffness was also higher in recurrence (p=0.007). A strong positive correlation between SWE and MVD was found (rho=0.767, p<0.001). SWE may be a reliable, non-invasive tool for assessing tumor grade and recurrence risk.

Conclusions: SWE may be a reliable, non-invasive preoperative marker for bladder cancer, aiding in tumor characterization and clinical decision-making.

Abstract Image

Abstract Image

Abstract Image

横波弹性成像与膀胱癌组织病理分级、肿瘤分期及微血管密度的关系。
目的:探讨横波弹性成像(SWE)测量膀胱癌组织刚度的病理相关性及预后意义。材料与方法:纳入诊断为膀胱肿瘤的显微镜或肉眼血尿患者。SWE测量使用三星麦迪森RS80A威望超声设备进行,每个肿瘤进行10次有效测量。经尿道膀胱肿瘤切除术(经尿道膀胱肿瘤切除术)采集肿瘤标本进行组织病理学分析。采用热点法,用抗cd34抗体免疫组化染色评估微血管密度(MVD)。分析组织刚度、MVD与肿瘤分期和分级之间的相关性,并通过受试者工作特征(ROC)分析确定区分肿瘤特征的最佳SWE截止值。结果:共纳入65例膀胱尿路上皮癌患者(高级别43例,低级别22例)。高级别组SWE和MVD明显增高(p=0.001, p=0.002)。ROC分析显示SWE可以区分肿瘤的分级(ROC曲线下面积=0.837)。结论:SWE可能是膀胱癌术前可靠的、无创的标志物,有助于肿瘤的表征和临床决策。
本文章由计算机程序翻译,如有差异,请以英文原文为准。
求助全文
约1分钟内获得全文 求助全文
来源期刊
CiteScore
4.10
自引率
4.30%
发文量
82
审稿时长
4 weeks
期刊介绍: Investigative and Clinical Urology (Investig Clin Urol, ICUrology) is an international, peer-reviewed, platinum open access journal published bimonthly. ICUrology aims to provide outstanding scientific and clinical research articles, that will advance knowledge and understanding of urological diseases and current therapeutic treatments. ICUrology publishes Original Articles, Rapid Communications, Review Articles, Special Articles, Innovations in Urology, Editorials, and Letters to the Editor, with a focus on the following areas of expertise: • Precision Medicine in Urology • Urological Oncology • Robotics/Laparoscopy • Endourology/Urolithiasis • Lower Urinary Tract Dysfunction • Female Urology • Sexual Dysfunction/Infertility • Infection/Inflammation • Reconstruction/Transplantation • Geriatric Urology • Pediatric Urology • Basic/Translational Research One of the notable features of ICUrology is the application of multimedia platforms facilitating easy-to-access online video clips of newly developed surgical techniques from the journal''s website, by a QR (quick response) code located in the article, or via YouTube. ICUrology provides current and highly relevant knowledge to a broad audience at the cutting edge of urological research and clinical practice.
×
引用
GB/T 7714-2015
复制
MLA
复制
APA
复制
导出至
BibTeX EndNote RefMan NoteFirst NoteExpress
×
提示
您的信息不完整,为了账户安全,请先补充。
现在去补充
×
提示
您因"违规操作"
具体请查看互助需知
我知道了
×
提示
确定
请完成安全验证×
copy
已复制链接
快去分享给好友吧!
我知道了
右上角分享
点击右上角分享
0
联系我们:info@booksci.cn Book学术提供免费学术资源搜索服务,方便国内外学者检索中英文文献。致力于提供最便捷和优质的服务体验。 Copyright © 2023 布克学术 All rights reserved.
京ICP备2023020795号-1
ghs 京公网安备 11010802042870号
Book学术文献互助
Book学术文献互助群
群 号:604180095
Book学术官方微信