Protective effects and mechanisms of cynaroside on renal fibrosis in mice with unilateral ureteral obstruction.

IF 7.4 2区 生物学 Q1 BIOCHEMISTRY & MOLECULAR BIOLOGY
Redox Report Pub Date : 2025-12-01 Epub Date: 2025-05-05 DOI:10.1080/13510002.2025.2500271
Ah Young Yang, Jung-Yeon Kim, Mi-Gyeong Gwon, Kiryeong Kim, Hyun Hee Kwon, Jaechan Leem, Sung-Woo Kim
{"title":"Protective effects and mechanisms of cynaroside on renal fibrosis in mice with unilateral ureteral obstruction.","authors":"Ah Young Yang, Jung-Yeon Kim, Mi-Gyeong Gwon, Kiryeong Kim, Hyun Hee Kwon, Jaechan Leem, Sung-Woo Kim","doi":"10.1080/13510002.2025.2500271","DOIUrl":null,"url":null,"abstract":"<p><p>Renal fibrosis is a key factor in the progression of chronic kidney disease (CKD), and current treatments remain inadequate. In this study, we investigated the therapeutic effects of cynaroside (Cyn), a natural flavonoid, in a mouse model of renal fibrosis induced by unilateral ureteral obstruction. Cyn treatment significantly ameliorated tubular injury and interstitial fibrosis while improving renal function. Mechanistically, Cyn inhibited the expression of fibrosis-related proteins and suppressed Smad2/3 phosphorylation. Additionally, Cyn reduced myofibroblast accumulation by inhibiting epithelial-mesenchymal transition, as indicated by increased E-cadherin expression and decreased levels of mesenchymal markers. Cyn also reduced oxidative stress by downregulating the prooxidant enzyme NADPH oxidase 4 and restoring antioxidant enzymes. Furthermore, Cyn attenuated ferroptosis by regulating key proteins, including acyl-CoA synthetase long-chain family member 4, transferrin receptor 1, and glutathione peroxidase 4, while also restoring glutathione levels. Cyn alleviated endoplasmic reticulum stress, as evidenced by the downregulation of key markers such as glucose-regulated protein 78 and activating transcription factor 6, and reduced inflammation, as confirmed by decreased macrophage infiltration and lower cytokine production. Overall, Cyn demonstrated broad protective effects against renal fibrosis by modulating oxidative stress, ferroptosis, ER stress, and inflammation, positioning it as a potential therapeutic agent for CKD management.</p>","PeriodicalId":21096,"journal":{"name":"Redox Report","volume":"30 1","pages":"2500271"},"PeriodicalIF":7.4000,"publicationDate":"2025-12-01","publicationTypes":"Journal Article","fieldsOfStudy":null,"isOpenAccess":false,"openAccessPdf":"https://www.ncbi.nlm.nih.gov/pmc/articles/PMC12054570/pdf/","citationCount":"0","resultStr":null,"platform":"Semanticscholar","paperid":null,"PeriodicalName":"Redox Report","FirstCategoryId":"99","ListUrlMain":"https://doi.org/10.1080/13510002.2025.2500271","RegionNum":2,"RegionCategory":"生物学","ArticlePicture":[],"TitleCN":null,"AbstractTextCN":null,"PMCID":null,"EPubDate":"2025/5/5 0:00:00","PubModel":"Epub","JCR":"Q1","JCRName":"BIOCHEMISTRY & MOLECULAR BIOLOGY","Score":null,"Total":0}
引用次数: 0

Abstract

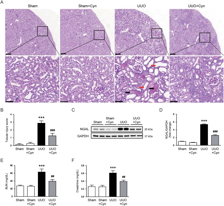
Renal fibrosis is a key factor in the progression of chronic kidney disease (CKD), and current treatments remain inadequate. In this study, we investigated the therapeutic effects of cynaroside (Cyn), a natural flavonoid, in a mouse model of renal fibrosis induced by unilateral ureteral obstruction. Cyn treatment significantly ameliorated tubular injury and interstitial fibrosis while improving renal function. Mechanistically, Cyn inhibited the expression of fibrosis-related proteins and suppressed Smad2/3 phosphorylation. Additionally, Cyn reduced myofibroblast accumulation by inhibiting epithelial-mesenchymal transition, as indicated by increased E-cadherin expression and decreased levels of mesenchymal markers. Cyn also reduced oxidative stress by downregulating the prooxidant enzyme NADPH oxidase 4 and restoring antioxidant enzymes. Furthermore, Cyn attenuated ferroptosis by regulating key proteins, including acyl-CoA synthetase long-chain family member 4, transferrin receptor 1, and glutathione peroxidase 4, while also restoring glutathione levels. Cyn alleviated endoplasmic reticulum stress, as evidenced by the downregulation of key markers such as glucose-regulated protein 78 and activating transcription factor 6, and reduced inflammation, as confirmed by decreased macrophage infiltration and lower cytokine production. Overall, Cyn demonstrated broad protective effects against renal fibrosis by modulating oxidative stress, ferroptosis, ER stress, and inflammation, positioning it as a potential therapeutic agent for CKD management.

Abstract Image

Abstract Image

Abstract Image

胞苷对单侧输尿管梗阻小鼠肾纤维化的保护作用及机制。
肾纤维化是慢性肾脏疾病(CKD)进展的关键因素,目前的治疗仍然不足。在这项研究中,我们研究了天然类黄酮cynaroside (Cyn)对单侧输尿管梗阻致肾纤维化小鼠模型的治疗作用。Cyn治疗可显著改善肾小管损伤和间质纤维化,同时改善肾功能。机制上,Cyn抑制了纤维化相关蛋白的表达,抑制了Smad2/3的磷酸化。此外,正如E-cadherin表达增加和间充质标志物水平降低所表明的那样,Cyn通过抑制上皮-间充质转化来减少肌成纤维细胞的积累。Cyn还通过下调促氧化酶NADPH氧化酶4和恢复抗氧化酶来减少氧化应激。此外,Cyn通过调节关键蛋白,包括酰基辅酶a合成酶长链家族成员4、转铁蛋白受体1和谷胱甘肽过氧化物酶4,同时恢复谷胱甘肽水平,减轻铁下垂。Cyn可以减轻内质网应激,这可以通过下调葡萄糖调节蛋白78和激活转录因子6等关键标志物来证明;Cyn可以减少炎症,这可以通过减少巨噬细胞浸润和降低细胞因子的产生来证实。总的来说,Cyn通过调节氧化应激、铁凋亡、内质网应激和炎症,对肾纤维化具有广泛的保护作用,将其定位为CKD治疗的潜在治疗药物。
本文章由计算机程序翻译,如有差异,请以英文原文为准。
求助全文
约1分钟内获得全文 求助全文
来源期刊
Redox Report
Redox Report 生物-生化与分子生物学
CiteScore
6.10
自引率
0.00%
发文量
28
审稿时长
>12 weeks
期刊介绍: Redox Report is a multidisciplinary peer-reviewed open access journal focusing on the role of free radicals, oxidative stress, activated oxygen, perioxidative and redox processes, primarily in the human environment and human pathology. Relevant papers on the animal and plant environment, biology and pathology will also be included. While emphasis is placed upon methodological and intellectual advances underpinned by new data, the journal offers scope for review, hypotheses, critiques and other forms of discussion.
×
引用
GB/T 7714-2015
复制
MLA
复制
APA
复制
导出至
BibTeX EndNote RefMan NoteFirst NoteExpress
×
提示
您的信息不完整,为了账户安全,请先补充。
现在去补充
×
提示
您因"违规操作"
具体请查看互助需知
我知道了
×
提示
确定
请完成安全验证×
copy
已复制链接
快去分享给好友吧!
我知道了
右上角分享
点击右上角分享
0
联系我们:info@booksci.cn Book学术提供免费学术资源搜索服务,方便国内外学者检索中英文文献。致力于提供最便捷和优质的服务体验。 Copyright © 2023 布克学术 All rights reserved.
京ICP备2023020795号-1
ghs 京公网安备 11010802042870号
Book学术文献互助
Book学术文献互助群
群 号:604180095
Book学术官方微信