A Case of AIDS Diagnosed in the Intensive Care Unit with Concurrent Influenza Infection and Pneumocystis jirovecii Pneumonia.

IF 0.7 Q3 MEDICINE, GENERAL & INTERNAL
Case Reports in Medicine Pub Date : 2025-04-14 eCollection Date: 2025-01-01 DOI:10.1155/carm/5588716
Yeliz Özdemir, İlhan Bahar, Gülfem Ece
{"title":"A Case of AIDS Diagnosed in the Intensive Care Unit with Concurrent Influenza Infection and <i>Pneumocystis jirovecii</i> Pneumonia.","authors":"Yeliz Özdemir, İlhan Bahar, Gülfem Ece","doi":"10.1155/carm/5588716","DOIUrl":null,"url":null,"abstract":"<p><p><b>Introduction:</b> People living with HIV (PLWH) are highly susceptible to respiratory infections, particularly pneumonia, which is often polymicrobial. A rapid decline in CD4 T lymphocytes, especially with concurrent influenza, increases the risk of <i>Pneumocystis jirovecii</i> pneumonia (PCP). <b>Case Presentation:</b> This report discusses a newly diagnosed Acquired Immunodeficiency Syndrome (AIDS) patient with influenza and PCP coinfection, highlighting diagnosis, follow-up, and prognosis. <b>Conclusions:</b> Community-acquired pneumonia is common in PLWH, especially among those not receiving antiretroviral therapies (ART). Co-infections with bacterial, viral, and fungal pathogens are common. Early identification of etiological agents and prompt treatment are crucial for improving patient outcomes.</p>","PeriodicalId":9627,"journal":{"name":"Case Reports in Medicine","volume":"2025 ","pages":"5588716"},"PeriodicalIF":0.7000,"publicationDate":"2025-04-14","publicationTypes":"Journal Article","fieldsOfStudy":null,"isOpenAccess":false,"openAccessPdf":"https://www.ncbi.nlm.nih.gov/pmc/articles/PMC12011458/pdf/","citationCount":"0","resultStr":null,"platform":"Semanticscholar","paperid":null,"PeriodicalName":"Case Reports in Medicine","FirstCategoryId":"1085","ListUrlMain":"https://doi.org/10.1155/carm/5588716","RegionNum":0,"RegionCategory":null,"ArticlePicture":[],"TitleCN":null,"AbstractTextCN":null,"PMCID":null,"EPubDate":"2025/1/1 0:00:00","PubModel":"eCollection","JCR":"Q3","JCRName":"MEDICINE, GENERAL & INTERNAL","Score":null,"Total":0}
引用次数: 0

Abstract

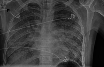
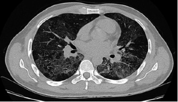
Introduction: People living with HIV (PLWH) are highly susceptible to respiratory infections, particularly pneumonia, which is often polymicrobial. A rapid decline in CD4 T lymphocytes, especially with concurrent influenza, increases the risk of Pneumocystis jirovecii pneumonia (PCP). Case Presentation: This report discusses a newly diagnosed Acquired Immunodeficiency Syndrome (AIDS) patient with influenza and PCP coinfection, highlighting diagnosis, follow-up, and prognosis. Conclusions: Community-acquired pneumonia is common in PLWH, especially among those not receiving antiretroviral therapies (ART). Co-infections with bacterial, viral, and fungal pathogens are common. Early identification of etiological agents and prompt treatment are crucial for improving patient outcomes.

Abstract Image

Abstract Image

Abstract Image

重症监护病房诊断艾滋病并发流感感染和肺囊虫肺炎1例。
艾滋病毒感染者(PLWH)极易感染呼吸道感染,特别是肺炎,通常是多微生物感染。CD4 T淋巴细胞的快速下降,特别是并发流感,增加了患乙基肺囊虫肺炎(PCP)的风险。病例介绍:本报告讨论了一位新诊断的获得性免疫缺陷综合征(AIDS)合并流感和PCP感染的患者,重点介绍了诊断、随访和预后。结论:社区获得性肺炎在PLWH中很常见,特别是在未接受抗逆转录病毒治疗(ART)的患者中。与细菌、病毒和真菌病原体共同感染是常见的。早期识别病原和及时治疗对改善患者预后至关重要。
本文章由计算机程序翻译,如有差异,请以英文原文为准。
求助全文
约1分钟内获得全文 求助全文
来源期刊
Case Reports in Medicine
Case Reports in Medicine MEDICINE, GENERAL & INTERNAL-
CiteScore
1.70
自引率
0.00%
发文量
53
审稿时长
13 weeks
×
引用
GB/T 7714-2015
复制
MLA
复制
APA
复制
导出至
BibTeX EndNote RefMan NoteFirst NoteExpress
×
提示
您的信息不完整,为了账户安全,请先补充。
现在去补充
×
提示
您因"违规操作"
具体请查看互助需知
我知道了
×
提示
确定
请完成安全验证×
copy
已复制链接
快去分享给好友吧!
我知道了
右上角分享
点击右上角分享
0
联系我们:info@booksci.cn Book学术提供免费学术资源搜索服务,方便国内外学者检索中英文文献。致力于提供最便捷和优质的服务体验。 Copyright © 2023 布克学术 All rights reserved.
京ICP备2023020795号-1
ghs 京公网安备 11010802042870号
Book学术文献互助
Book学术文献互助群
群 号:604180095
Book学术官方微信