L1 Capsid Protein Expression in HPV-Positive Barrett Metaplasia-Dysplasia-Adenocarcinoma Lesions.

IF 3 3区 医学 Q2 GASTROENTEROLOGY & HEPATOLOGY
Clinical and Translational Gastroenterology Pub Date : 2025-05-12 eCollection Date: 2025-07-01 DOI:10.14309/ctg.0000000000000853
Divya I Vythilingam, Shweta Dutta Gautam, Leonardo D Santos, Wei Xuan, Mohammad Rabiei, Shanmugarajah Rajendra
{"title":"L1 Capsid Protein Expression in HPV-Positive Barrett Metaplasia-Dysplasia-Adenocarcinoma Lesions.","authors":"Divya I Vythilingam, Shweta Dutta Gautam, Leonardo D Santos, Wei Xuan, Mohammad Rabiei, Shanmugarajah Rajendra","doi":"10.14309/ctg.0000000000000853","DOIUrl":null,"url":null,"abstract":"<p><strong>Introduction: </strong>Human papillomavirus (HPV) has been associated with a subset of Barrett dysplasia and esophageal adenocarcinoma (EAC). The HPV L1 capsid protein has been closely linked to disease regression and is a prognostic factor in HPV-driven cancers of the cervix and anus.</p><p><strong>Methods: </strong>Thus, we investigated L1 protein expression in HPV-positive patients representing the esophageal squamous-Barrett metaplasia-dysplasia-adenocarcinoma sequence. L1 protein immunohistochemical staining was correlated with p16 overexpression and E6/E7 mRNA in situ hybridization.</p><p><strong>Results: </strong>Of 116 HPV DNA-positive patients ([age range: 19-90, mean [SD], 63.2 [13.5], 88 men and 28 women), 73 (62.9%) were genotype 16, 37 (31.9%) genotype 18, and 6 (5.2%) were genotype 6. L1 staining was identified in 64 individuals: 84.9% (28/33) controls, 94.1% (16/17) Barrett's esophagus, 50% (7/14) low-grade dysplasia, (8/21) 38.1% high-grade dysplasia, and 16.1% (5/31) EAC (adjusted P < 0.0001). Conversely, p16 was present in 9.1% (3/33) of controls, 17.7% (3/17) Barrett's esophagus, 57.1% (8/14) low-grade dysplasia, 61.9% (13/21) high-grade dysplasia, and 64.5% (20/31) of EAC patients ( P < 0.0001). Corresponding figures for E6/E7 mRNA positivity was 6.1% (2/33), 23.5% (4/17), 28.6% (4/14), 38.1% (8/21), and 45.2% (14/31), respectively ( P = 0.008). Expression of HPV-L1 and p16 or L1 and E6/E7 mRNA was largely mutually exclusive.</p><p><strong>Discussion: </strong>HPV L1 capsid expression is incrementally lost with increasing esophageal disease severity as in viral-driven anal and cervical lesions. Utility of L1 alone or in combination with p16 and or E6/E7 mRNA in stratifying HPV-positive patients for treatment should be explored in a prospective longitudinal investigation.</p>","PeriodicalId":10278,"journal":{"name":"Clinical and Translational Gastroenterology","volume":" ","pages":"e00853"},"PeriodicalIF":3.0000,"publicationDate":"2025-05-12","publicationTypes":"Journal Article","fieldsOfStudy":null,"isOpenAccess":false,"openAccessPdf":"https://www.ncbi.nlm.nih.gov/pmc/articles/PMC12330356/pdf/","citationCount":"0","resultStr":null,"platform":"Semanticscholar","paperid":null,"PeriodicalName":"Clinical and Translational Gastroenterology","FirstCategoryId":"3","ListUrlMain":"https://doi.org/10.14309/ctg.0000000000000853","RegionNum":3,"RegionCategory":"医学","ArticlePicture":[],"TitleCN":null,"AbstractTextCN":null,"PMCID":null,"EPubDate":"2025/7/1 0:00:00","PubModel":"eCollection","JCR":"Q2","JCRName":"GASTROENTEROLOGY & HEPATOLOGY","Score":null,"Total":0}
引用次数: 0

Abstract

Introduction: Human papillomavirus (HPV) has been associated with a subset of Barrett dysplasia and esophageal adenocarcinoma (EAC). The HPV L1 capsid protein has been closely linked to disease regression and is a prognostic factor in HPV-driven cancers of the cervix and anus.

Methods: Thus, we investigated L1 protein expression in HPV-positive patients representing the esophageal squamous-Barrett metaplasia-dysplasia-adenocarcinoma sequence. L1 protein immunohistochemical staining was correlated with p16 overexpression and E6/E7 mRNA in situ hybridization.

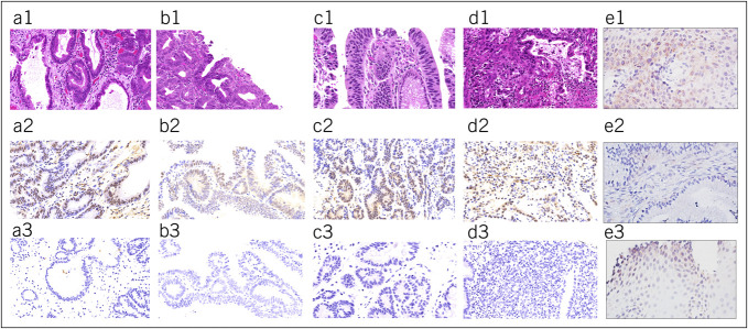
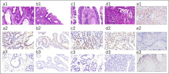
Results: Of 116 HPV DNA-positive patients ([age range: 19-90, mean [SD], 63.2 [13.5], 88 men and 28 women), 73 (62.9%) were genotype 16, 37 (31.9%) genotype 18, and 6 (5.2%) were genotype 6. L1 staining was identified in 64 individuals: 84.9% (28/33) controls, 94.1% (16/17) Barrett's esophagus, 50% (7/14) low-grade dysplasia, (8/21) 38.1% high-grade dysplasia, and 16.1% (5/31) EAC (adjusted P < 0.0001). Conversely, p16 was present in 9.1% (3/33) of controls, 17.7% (3/17) Barrett's esophagus, 57.1% (8/14) low-grade dysplasia, 61.9% (13/21) high-grade dysplasia, and 64.5% (20/31) of EAC patients ( P < 0.0001). Corresponding figures for E6/E7 mRNA positivity was 6.1% (2/33), 23.5% (4/17), 28.6% (4/14), 38.1% (8/21), and 45.2% (14/31), respectively ( P = 0.008). Expression of HPV-L1 and p16 or L1 and E6/E7 mRNA was largely mutually exclusive.

Discussion: HPV L1 capsid expression is incrementally lost with increasing esophageal disease severity as in viral-driven anal and cervical lesions. Utility of L1 alone or in combination with p16 and or E6/E7 mRNA in stratifying HPV-positive patients for treatment should be explored in a prospective longitudinal investigation.

Abstract Image

Abstract Image

L1衣壳蛋白在人乳头瘤病毒阳性Barrett化生-发育不良-腺癌病变中的表达。
人乳头瘤病毒(HPV)与巴雷特发育不良和食管腺癌(EAC)的一个亚群有关。HPV L1衣壳蛋白与疾病消退密切相关,是HPV驱动的宫颈癌和肛门癌的预后因素。因此,我们研究了代表食管鳞状-巴雷特化生-发育不良-腺癌序列的hpv阳性患者的L1蛋白表达。L1蛋白免疫组化染色与p16过表达和E6/E7 mRNA原位杂交相关。116例HPV dna阳性患者[年龄范围:19-90岁,平均(SD) 63.2(13.5)],男性88例,女性28例],其中基因16型73例(62.9%),基因18型37例(31.9%),基因6型6例(5.2%)。L1染色64例;对照组84.9% (28/33);94.1% (16/17);50% (7/14) lgd;(8/21) HGD 38.1%, EAC 16.1% (5/31);[调整后P < 0.0001]。相反,对照组9.1%(3/33)、BE组17.7%(3/17)、LGD组57.1%(8/14)、HGD组61.9%(13/21)和EAC组64.5%(20/31)存在p16
本文章由计算机程序翻译,如有差异,请以英文原文为准。
求助全文
约1分钟内获得全文 求助全文
来源期刊
Clinical and Translational Gastroenterology
Clinical and Translational Gastroenterology GASTROENTEROLOGY & HEPATOLOGY-
CiteScore
7.00
自引率
0.00%
发文量
114
审稿时长
16 weeks
期刊介绍: Clinical and Translational Gastroenterology (CTG), published on behalf of the American College of Gastroenterology (ACG), is a peer-reviewed open access online journal dedicated to innovative clinical work in the field of gastroenterology and hepatology. CTG hopes to fulfill an unmet need for clinicians and scientists by welcoming novel cohort studies, early-phase clinical trials, qualitative and quantitative epidemiologic research, hypothesis-generating research, studies of novel mechanisms and methodologies including public health interventions, and integration of approaches across organs and disciplines. CTG also welcomes hypothesis-generating small studies, methods papers, and translational research with clear applications to human physiology or disease. Colon and small bowel Endoscopy and novel diagnostics Esophagus Functional GI disorders Immunology of the GI tract Microbiology of the GI tract Inflammatory bowel disease Pancreas and biliary tract Liver Pathology Pediatrics Preventative medicine Nutrition/obesity Stomach.
×
引用
GB/T 7714-2015
复制
MLA
复制
APA
复制
导出至
BibTeX EndNote RefMan NoteFirst NoteExpress
×
提示
您的信息不完整,为了账户安全,请先补充。
现在去补充
×
提示
您因"违规操作"
具体请查看互助需知
我知道了
×
提示
确定
请完成安全验证×
copy
已复制链接
快去分享给好友吧!
我知道了
右上角分享
点击右上角分享
0
联系我们:info@booksci.cn Book学术提供免费学术资源搜索服务,方便国内外学者检索中英文文献。致力于提供最便捷和优质的服务体验。 Copyright © 2023 布克学术 All rights reserved.
京ICP备2023020795号-1
ghs 京公网安备 11010802042870号
Book学术文献互助
Book学术文献互助群
群 号:604180095
Book学术官方微信