Histopathological analysis of respiratory muscles in patients with acute COVID-19 infection.

IF 2.9 3区 生物学 Q3 CELL BIOLOGY
Cell and Tissue Research Pub Date : 2025-07-01 Epub Date: 2025-05-05 DOI:10.1007/s00441-025-03973-3
Laura Steingruber, Simona Handtke, Franziska Schweiger, Stefan Schiele, Bruno Märkl, Marco Koch
{"title":"Histopathological analysis of respiratory muscles in patients with acute COVID-19 infection.","authors":"Laura Steingruber, Simona Handtke, Franziska Schweiger, Stefan Schiele, Bruno Märkl, Marco Koch","doi":"10.1007/s00441-025-03973-3","DOIUrl":null,"url":null,"abstract":"<p><p>Coronavirus-disease 2019 (COVID-19) affects the respiratory system with high morbidity in elderly and comorbid patients. Acute COVID-19 infection (CI) primarily leads to respiratory failure, long-term effects on respiratory skeletal muscle however remain vague. Thus, histopathological marker expression of oxidative stress, inflammation, satellite cell activity, myosin fiber composition, and cellular senescence were analyzed in intercostal muscle and diaphragm to compare respiratory muscle degeneration (RMD) in deceased CI-positive and control patients. Beside CI, the impact of BMI, age, sex, ventilation status, and duration of hospitalization on RMD were evaluated. CI-positive patients exhibited higher numbers of regenerative stem cells, but no association between CI status and RMD was observed. Interestingly, ventilation support and lung-associated comorbidities had no effect on expression of RMD markers (p > 0.05). However, intercostal muscle showed BMI-dependent changes in expression of RMD markers, regardless of the CI status, with increased cytokine expression (p = 0.04), reduced antioxidative capacity (p = 0.05), and low stem cell prevalence (p = 0.02) in patients with high BMI. Moreover, elderly patients demonstrated increased oxidative stress (p = 0.001) and cell senescence (p = 0.03) independent of CI status. Notably, immobility drives muscle fiber transformation to Myosin ST (p = 0.03), since prolonged hospitalization correlated with muscle fiber type shift. Limitations included incomplete retrospective data collection and absence of adequate samples for molecular analyses. Together, RMD is influenced by BMI, age and immobility rather than the CI status alone. Future studies including larger cohorts, molecular analyses, and evaluation of patient data in addition to CI status alone, will further support meaningful analyses and interpretation of RMD and its impact on post CI recovery.</p>","PeriodicalId":9712,"journal":{"name":"Cell and Tissue Research","volume":" ","pages":"59-68"},"PeriodicalIF":2.9000,"publicationDate":"2025-07-01","publicationTypes":"Journal Article","fieldsOfStudy":null,"isOpenAccess":false,"openAccessPdf":"https://www.ncbi.nlm.nih.gov/pmc/articles/PMC12222437/pdf/","citationCount":"0","resultStr":null,"platform":"Semanticscholar","paperid":null,"PeriodicalName":"Cell and Tissue Research","FirstCategoryId":"99","ListUrlMain":"https://doi.org/10.1007/s00441-025-03973-3","RegionNum":3,"RegionCategory":"生物学","ArticlePicture":[],"TitleCN":null,"AbstractTextCN":null,"PMCID":null,"EPubDate":"2025/5/5 0:00:00","PubModel":"Epub","JCR":"Q3","JCRName":"CELL BIOLOGY","Score":null,"Total":0}
引用次数: 0

Abstract

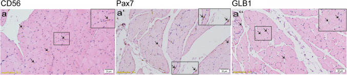
Coronavirus-disease 2019 (COVID-19) affects the respiratory system with high morbidity in elderly and comorbid patients. Acute COVID-19 infection (CI) primarily leads to respiratory failure, long-term effects on respiratory skeletal muscle however remain vague. Thus, histopathological marker expression of oxidative stress, inflammation, satellite cell activity, myosin fiber composition, and cellular senescence were analyzed in intercostal muscle and diaphragm to compare respiratory muscle degeneration (RMD) in deceased CI-positive and control patients. Beside CI, the impact of BMI, age, sex, ventilation status, and duration of hospitalization on RMD were evaluated. CI-positive patients exhibited higher numbers of regenerative stem cells, but no association between CI status and RMD was observed. Interestingly, ventilation support and lung-associated comorbidities had no effect on expression of RMD markers (p > 0.05). However, intercostal muscle showed BMI-dependent changes in expression of RMD markers, regardless of the CI status, with increased cytokine expression (p = 0.04), reduced antioxidative capacity (p = 0.05), and low stem cell prevalence (p = 0.02) in patients with high BMI. Moreover, elderly patients demonstrated increased oxidative stress (p = 0.001) and cell senescence (p = 0.03) independent of CI status. Notably, immobility drives muscle fiber transformation to Myosin ST (p = 0.03), since prolonged hospitalization correlated with muscle fiber type shift. Limitations included incomplete retrospective data collection and absence of adequate samples for molecular analyses. Together, RMD is influenced by BMI, age and immobility rather than the CI status alone. Future studies including larger cohorts, molecular analyses, and evaluation of patient data in addition to CI status alone, will further support meaningful analyses and interpretation of RMD and its impact on post CI recovery.

Abstract Image

Abstract Image

Abstract Image

COVID-19急性感染患者呼吸肌组织病理学分析。
2019冠状病毒病(COVID-19)影响呼吸系统,在老年人和合并症患者中发病率高。急性COVID-19感染(CI)主要导致呼吸衰竭,但对呼吸骨骼肌的长期影响尚不清楚。因此,我们分析了肋间肌和膈肌中氧化应激、炎症、卫星细胞活性、肌球蛋白纤维组成和细胞衰老的组织病理学标志物表达,以比较已故ci阳性患者和对照组患者的呼吸肌变性(RMD)。除CI外,还评估BMI、年龄、性别、通气状态和住院时间对RMD的影响。CI阳性患者表现出更多的再生干细胞,但未观察到CI状态与RMD之间的关联。有趣的是,通气支持和肺部相关合并症对RMD标志物的表达没有影响(p < 0.05)。然而,无论CI状态如何,肋间肌显示RMD标志物表达的BMI依赖性变化,高BMI患者的细胞因子表达增加(p = 0.04),抗氧化能力降低(p = 0.05),干细胞患病率低(p = 0.02)。此外,老年患者表现出与CI状态无关的氧化应激(p = 0.001)和细胞衰老(p = 0.03)的增加。值得注意的是,不活动导致肌纤维向肌球蛋白ST转化(p = 0.03),因为长期住院与肌纤维类型转移相关。局限性包括不完整的回顾性数据收集和缺乏足够的分子分析样本。总之,RMD受BMI、年龄和不活动的影响,而不仅仅是CI状态。未来的研究包括更大的队列、分子分析和患者数据评估,而不仅仅是CI状态,将进一步支持RMD及其对CI后恢复的影响的有意义的分析和解释。
本文章由计算机程序翻译,如有差异,请以英文原文为准。
求助全文
约1分钟内获得全文 求助全文
来源期刊
Cell and Tissue Research
Cell and Tissue Research 生物-细胞生物学
CiteScore
7.00
自引率
2.80%
发文量
142
审稿时长
1 months
期刊介绍: The journal publishes regular articles and reviews in the areas of molecular, cell, and supracellular biology. In particular, the journal intends to provide a forum for publishing data that analyze the supracellular, integrative actions of gene products and their impact on the formation of tissue structure and function. Submission of papers with an emphasis on structure-function relationships as revealed by recombinant molecular technologies is especially encouraged. Areas of research with a long-standing tradition of publishing in Cell & Tissue Research include: - neurobiology - neuroendocrinology - endocrinology - reproductive biology - skeletal and immune systems - development - stem cells - muscle biology.
×
引用
GB/T 7714-2015
复制
MLA
复制
APA
复制
导出至
BibTeX EndNote RefMan NoteFirst NoteExpress
×
提示
您的信息不完整,为了账户安全,请先补充。
现在去补充
×
提示
您因"违规操作"
具体请查看互助需知
我知道了
×
提示
确定
请完成安全验证×
copy
已复制链接
快去分享给好友吧!
我知道了
右上角分享
点击右上角分享
0
联系我们:info@booksci.cn Book学术提供免费学术资源搜索服务,方便国内外学者检索中英文文献。致力于提供最便捷和优质的服务体验。 Copyright © 2023 布克学术 All rights reserved.
京ICP备2023020795号-1
ghs 京公网安备 11010802042870号
Book学术文献互助
Book学术文献互助群
群 号:604180095
Book学术官方微信