Trigeminal Neuralgia as a Rare Complication of Idiopathic Intracranial Hypertension.

IF 0.6 Q4 CLINICAL NEUROLOGY
Case Reports in Neurology Pub Date : 2025-04-07 eCollection Date: 2025-01-01 DOI:10.1159/000544077
Mariana Sarov-Riviere, Claire Ancelet, Ghaidaa Nasser, Jildaz Caroff, Nozar Aghakhani, Christian Denier
{"title":"Trigeminal Neuralgia as a Rare Complication of Idiopathic Intracranial Hypertension.","authors":"Mariana Sarov-Riviere, Claire Ancelet, Ghaidaa Nasser, Jildaz Caroff, Nozar Aghakhani, Christian Denier","doi":"10.1159/000544077","DOIUrl":null,"url":null,"abstract":"<p><strong>Introduction: </strong>Idiopathic intracranial hypertension (IIH) is a rare cause of chronic headaches. Usually, patients with IIH present headaches and papilledema with no focal neurological signs. Classical MRI findings feature characteristic signs, i.e., dilated perioptic nerves sheath and empty sella turcica. Rarely, cranial nerve palsies existed, especially abducens nerve palsy.</p><p><strong>Case presentation: </strong>We reported herein another rare clinical feature of IIH: trigeminal neuralgia in association with meningocele. This 35-year-old obese woman initially presented with chronic headaches and papilledema. Cerebral MRI showed classical IIH findings. The CSF opening pressure was increased. A treatment coupling acetazolamide and iterative lumbar punctures led to the regression of papilledema, but headaches were difficult to control. Ten years later, while she was lost to follow up and treated with acetazolamide by her <i>general practitioner</i>, she developed extremely painful neuropathic pain in the left trigeminal nerve territory, in association with a recurrence of the chronic headaches. A new MRI showed new bilateral cavum trigeminal meningoceles, predominantly on the left side, associated with an atrophy of the cisternal segment of the left trigeminal nerve. Angio-CT showed transverse sinus stenosis, treated by stenting. After this treatment, IIH symptoms disappeared, while trigeminal neuralgia amplified: a surgical procedure led to its complete disappearance.</p><p><strong>Conclusion: </strong>To our knowledge, this is the first case reported of trigeminal neuralgia associated with meningocele formation in IIH. Our case illustrates the great efficacy of venous stenting in IIH, and one may wonder whether earlier stenting could have avoided the subsequent development of meningoceles and subsequent neuralgia.</p>","PeriodicalId":9639,"journal":{"name":"Case Reports in Neurology","volume":"17 1","pages":"57-61"},"PeriodicalIF":0.6000,"publicationDate":"2025-04-07","publicationTypes":"Journal Article","fieldsOfStudy":null,"isOpenAccess":false,"openAccessPdf":"https://www.ncbi.nlm.nih.gov/pmc/articles/PMC12068838/pdf/","citationCount":"0","resultStr":null,"platform":"Semanticscholar","paperid":null,"PeriodicalName":"Case Reports in Neurology","FirstCategoryId":"1085","ListUrlMain":"https://doi.org/10.1159/000544077","RegionNum":0,"RegionCategory":null,"ArticlePicture":[],"TitleCN":null,"AbstractTextCN":null,"PMCID":null,"EPubDate":"2025/1/1 0:00:00","PubModel":"eCollection","JCR":"Q4","JCRName":"CLINICAL NEUROLOGY","Score":null,"Total":0}
引用次数: 0

Abstract

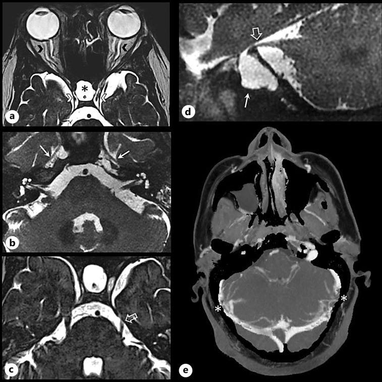
Introduction: Idiopathic intracranial hypertension (IIH) is a rare cause of chronic headaches. Usually, patients with IIH present headaches and papilledema with no focal neurological signs. Classical MRI findings feature characteristic signs, i.e., dilated perioptic nerves sheath and empty sella turcica. Rarely, cranial nerve palsies existed, especially abducens nerve palsy.

Case presentation: We reported herein another rare clinical feature of IIH: trigeminal neuralgia in association with meningocele. This 35-year-old obese woman initially presented with chronic headaches and papilledema. Cerebral MRI showed classical IIH findings. The CSF opening pressure was increased. A treatment coupling acetazolamide and iterative lumbar punctures led to the regression of papilledema, but headaches were difficult to control. Ten years later, while she was lost to follow up and treated with acetazolamide by her general practitioner, she developed extremely painful neuropathic pain in the left trigeminal nerve territory, in association with a recurrence of the chronic headaches. A new MRI showed new bilateral cavum trigeminal meningoceles, predominantly on the left side, associated with an atrophy of the cisternal segment of the left trigeminal nerve. Angio-CT showed transverse sinus stenosis, treated by stenting. After this treatment, IIH symptoms disappeared, while trigeminal neuralgia amplified: a surgical procedure led to its complete disappearance.

Conclusion: To our knowledge, this is the first case reported of trigeminal neuralgia associated with meningocele formation in IIH. Our case illustrates the great efficacy of venous stenting in IIH, and one may wonder whether earlier stenting could have avoided the subsequent development of meningoceles and subsequent neuralgia.

Abstract Image

三叉神经痛是特发性颅内高压的罕见并发症。
特发性颅内高压(IIH)是一种罕见的慢性头痛病因。通常,IIH患者表现为头痛和乳头水肿,无局灶性神经症状。经典MRI表现为特征性征象,即视周神经鞘扩张和蝶鞍空。脑神经麻痹少见,尤其是外展神经麻痹。病例介绍:我们在此报告另一个罕见的IIH临床特征:三叉神经痛合并脑膜膨出。这名35岁的肥胖女性最初表现为慢性头痛和乳头水肿。脑MRI表现为典型的IIH表现。脑脊液开口压力增高。结合乙酰唑胺和反复腰椎穿刺治疗导致乳头水肿消退,但头痛难以控制。10年后,当她失去随访并由全科医生用乙酰唑胺治疗时,她在左三叉神经区域出现极痛的神经性疼痛,并伴有慢性头痛的复发。新的MRI显示新的双侧三叉神经脑膜膨出,主要在左侧,与左三叉神经池段萎缩有关。血管ct显示横窦狭窄,行支架置入治疗。在此治疗后,IIH症状消失,而三叉神经痛放大:外科手术导致其完全消失。结论:据我们所知,这是第一例报道的三叉神经痛伴脑膜膨出的IIH病例。我们的病例说明静脉支架置入术在IIH中的巨大疗效,人们可能想知道早期支架置入术是否可以避免随后的脑膜膨出和随后的神经痛的发展。
本文章由计算机程序翻译,如有差异,请以英文原文为准。
求助全文
约1分钟内获得全文 求助全文
来源期刊
Case Reports in Neurology
Case Reports in Neurology Medicine-Neurology (clinical)
CiteScore
1.50
自引率
0.00%
发文量
67
审稿时长
14 weeks
期刊介绍: This new peer-reviewed online-only journal publishes original case reports covering the entire spectrum of neurology. Clinicians and researchers are given a tool to disseminate their personal experience to a wider public as well as to review interesting cases encountered by colleagues all over the world. To complement the contributions supplementary material is welcomed. The reports are searchable according to the key words supplied by the authors; it will thus be possible to search across the entire growing collection of case reports with universally used terms, further facilitating the retrieval of specific information. Following the open access principle, the entire contents can be retrieved at no charge, guaranteeing easy access to this valuable source of anecdotal information at all times.
×
引用
GB/T 7714-2015
复制
MLA
复制
APA
复制
导出至
BibTeX EndNote RefMan NoteFirst NoteExpress
×
提示
您的信息不完整,为了账户安全,请先补充。
现在去补充
×
提示
您因"违规操作"
具体请查看互助需知
我知道了
×
提示
确定
请完成安全验证×
copy
已复制链接
快去分享给好友吧!
我知道了
右上角分享
点击右上角分享
0
联系我们:info@booksci.cn Book学术提供免费学术资源搜索服务,方便国内外学者检索中英文文献。致力于提供最便捷和优质的服务体验。 Copyright © 2023 布克学术 All rights reserved.
京ICP备2023020795号-1
ghs 京公网安备 11010802042870号
Book学术文献互助
Book学术文献互助群
群 号:604180095
Book学术官方微信