Small Supernumerary Marker Chromosome (sSMC) 15 in Male Primary Infertility: A Case Study.

IF 0.7 Q3 MEDICINE, GENERAL & INTERNAL
Case Reports in Medicine Pub Date : 2025-04-23 eCollection Date: 2025-01-01 DOI:10.1155/carm/9935363
Filomena Mottola, Renata Finelli, Veronica Feola, Kristian Leisegang, Lucia Rocco
{"title":"Small Supernumerary Marker Chromosome (sSMC) 15 in Male Primary Infertility: A Case Study.","authors":"Filomena Mottola, Renata Finelli, Veronica Feola, Kristian Leisegang, Lucia Rocco","doi":"10.1155/carm/9935363","DOIUrl":null,"url":null,"abstract":"<p><p>This case report describes a 39-year-old phenotypically normal male patient of a married couple with primary infertility presenting as candidates for assisted reproductive techniques. The medical history of the couple is unremarkable, with both partners phenotypically normal. Semen analysis revealed oligoasthenzoospermia (OAT), 15% sperm DNA fragmentation and 4% aneuploidies in the sperm nuclei. Genetic analysis showed no Y chromosome of cystic fibrosis transmembrane conductance regulator gene mutations. Karyotype analysis in the male partner revealed a small supernumerary marker chromosome (sSMC) derived from chromosome 15, specifically inverted and duplicated (inv dup(15)) corresponding to the 15q11.2 region but lacking the Prader-Willi/Angelman syndrome critical region (PWACR). Further investigations revealed that 35% of the patient's spermatozoa carried the sSMC(15). This case study highlights the potential association between the presence of an inv dup(15) sSMC, without the involvement of the PWACR, and male infertility. sSMC(15) may disrupt spermatogenesis and contribute to oligoasthenozoospermia in males with primary infertility. Further research into the association of mechanism mechanisms of male infertility related to the 15q11.2 region is warranted.</p>","PeriodicalId":9627,"journal":{"name":"Case Reports in Medicine","volume":"2025 ","pages":"9935363"},"PeriodicalIF":0.7000,"publicationDate":"2025-04-23","publicationTypes":"Journal Article","fieldsOfStudy":null,"isOpenAccess":false,"openAccessPdf":"https://www.ncbi.nlm.nih.gov/pmc/articles/PMC12043387/pdf/","citationCount":"0","resultStr":null,"platform":"Semanticscholar","paperid":null,"PeriodicalName":"Case Reports in Medicine","FirstCategoryId":"1085","ListUrlMain":"https://doi.org/10.1155/carm/9935363","RegionNum":0,"RegionCategory":null,"ArticlePicture":[],"TitleCN":null,"AbstractTextCN":null,"PMCID":null,"EPubDate":"2025/1/1 0:00:00","PubModel":"eCollection","JCR":"Q3","JCRName":"MEDICINE, GENERAL & INTERNAL","Score":null,"Total":0}
引用次数: 0

Abstract

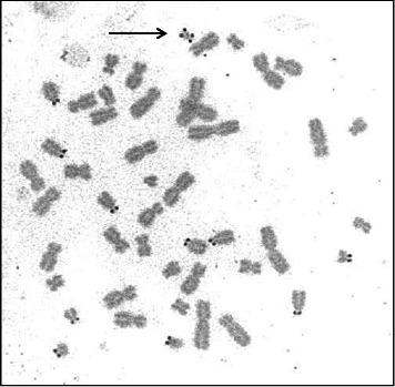
This case report describes a 39-year-old phenotypically normal male patient of a married couple with primary infertility presenting as candidates for assisted reproductive techniques. The medical history of the couple is unremarkable, with both partners phenotypically normal. Semen analysis revealed oligoasthenzoospermia (OAT), 15% sperm DNA fragmentation and 4% aneuploidies in the sperm nuclei. Genetic analysis showed no Y chromosome of cystic fibrosis transmembrane conductance regulator gene mutations. Karyotype analysis in the male partner revealed a small supernumerary marker chromosome (sSMC) derived from chromosome 15, specifically inverted and duplicated (inv dup(15)) corresponding to the 15q11.2 region but lacking the Prader-Willi/Angelman syndrome critical region (PWACR). Further investigations revealed that 35% of the patient's spermatozoa carried the sSMC(15). This case study highlights the potential association between the presence of an inv dup(15) sSMC, without the involvement of the PWACR, and male infertility. sSMC(15) may disrupt spermatogenesis and contribute to oligoasthenozoospermia in males with primary infertility. Further research into the association of mechanism mechanisms of male infertility related to the 15q11.2 region is warranted.

Abstract Image

Abstract Image

Abstract Image

男性原发性不育症的小多余标记染色体(sSMC) 15:一个案例研究。
本病例报告描述了一个39岁的表型正常的男性患者的已婚夫妇原发性不孕症提出的候选人辅助生殖技术。这对夫妇的病史并不引人注目,双方的表现都很正常。精液分析显示少弱精子症(OAT), 15%的精子DNA断裂,4%的精子核非整倍体。遗传分析显示囊性纤维化Y染色体无跨膜传导调节基因突变。男性伴侣的核型分析显示,从第15号染色体衍生出一条小的多余标记染色体(sSMC),与15q11.2区域相对应,特异性倒置和重复(inv dup(15)),但缺乏prder - willi /Angelman综合征关键区域(PWACR)。进一步的调查显示,35%的患者精子携带sSMC(15)。本病例研究强调了在没有PWACR参与的情况下,存在单个(15)sSMC与男性不育症之间的潜在关联。sSMC(15)可能破坏精子发生,导致原发不育症男性精子少弱症。值得进一步研究15q11.2区域与男性不育的关联机制。
本文章由计算机程序翻译,如有差异,请以英文原文为准。
求助全文
约1分钟内获得全文 求助全文
来源期刊
Case Reports in Medicine
Case Reports in Medicine MEDICINE, GENERAL & INTERNAL-
CiteScore
1.70
自引率
0.00%
发文量
53
审稿时长
13 weeks
×
引用
GB/T 7714-2015
复制
MLA
复制
APA
复制
导出至
BibTeX EndNote RefMan NoteFirst NoteExpress
×
提示
您的信息不完整,为了账户安全,请先补充。
现在去补充
×
提示
您因"违规操作"
具体请查看互助需知
我知道了
×
提示
确定
请完成安全验证×
copy
已复制链接
快去分享给好友吧!
我知道了
右上角分享
点击右上角分享
0
联系我们:info@booksci.cn Book学术提供免费学术资源搜索服务,方便国内外学者检索中英文文献。致力于提供最便捷和优质的服务体验。 Copyright © 2023 布克学术 All rights reserved.
京ICP备2023020795号-1
ghs 京公网安备 11010802042870号
Book学术文献互助
Book学术文献互助群
群 号:604180095
Book学术官方微信