A Case of Immune-Related Adverse Events, Including Myasthenia Gravis, Myositis, and Myocarditis, during Avelumab and Axitinib Combination Therapy.

IF 0.7 Q4 ONCOLOGY
Case Reports in Oncology Pub Date : 2025-04-04 eCollection Date: 2025-01-01 DOI:10.1159/000545733
Jurii Karibe, Ryohei Horiguchi, Yohei Hanajima, Akihito Hashizume, Daiji Takamoto, Takashi Kawahara, Kimito Osaka, Jun-Ichi Teranishi, Naohisa Ueda, Hiroji Uemura
{"title":"A Case of Immune-Related Adverse Events, Including Myasthenia Gravis, Myositis, and Myocarditis, during Avelumab and Axitinib Combination Therapy.","authors":"Jurii Karibe, Ryohei Horiguchi, Yohei Hanajima, Akihito Hashizume, Daiji Takamoto, Takashi Kawahara, Kimito Osaka, Jun-Ichi Teranishi, Naohisa Ueda, Hiroji Uemura","doi":"10.1159/000545733","DOIUrl":null,"url":null,"abstract":"<p><strong>Introduction: </strong>Immune checkpoint inhibitors are the mainstay of treatment for unresectable or metastatic renal cell carcinoma (RCC). However, they can cause immune-related adverse events (irAEs), and the management of these irAEs is critical. The combination of myasthenia gravis, myositis, and myocarditis, which are irAEs, is rare, and it has not been reported to occur with avelumab. This report aimed to present a rare case of RCC metastasis that developed irAEs during avelumab and axitinib combination therapy.</p><p><strong>Case presentation: </strong>A 76-year-old woman who underwent radical nephrectomy for clear cell RCC (pT1bN0M0 Grade 3 INFb) at the age of 67 years presented to our hospital after her family doctor noted a pancreatic tumor. She was diagnosed with pancreatic metastasis of RCC based on histopathological examination, and avelumab and axitinib combination therapy was initiated. She developed irAEs, including myasthenia gravis, myositis, and myocarditis, which were treated with steroid pulse therapy. The patient recovered after treatment and was discharged without sequelae.</p><p><strong>Conclusion: </strong>Myasthenia gravis, myositis, and myocarditis can occur during avelumab and axitinib combination therapy for RCC. Prompt diagnosis, treatment, and collaboration with other departments are extremely important for managing irAEs.</p>","PeriodicalId":9625,"journal":{"name":"Case Reports in Oncology","volume":"18 1","pages":"563-569"},"PeriodicalIF":0.7000,"publicationDate":"2025-04-04","publicationTypes":"Journal Article","fieldsOfStudy":null,"isOpenAccess":false,"openAccessPdf":"https://www.ncbi.nlm.nih.gov/pmc/articles/PMC12064156/pdf/","citationCount":"0","resultStr":null,"platform":"Semanticscholar","paperid":null,"PeriodicalName":"Case Reports in Oncology","FirstCategoryId":"1085","ListUrlMain":"https://doi.org/10.1159/000545733","RegionNum":0,"RegionCategory":null,"ArticlePicture":[],"TitleCN":null,"AbstractTextCN":null,"PMCID":null,"EPubDate":"2025/1/1 0:00:00","PubModel":"eCollection","JCR":"Q4","JCRName":"ONCOLOGY","Score":null,"Total":0}
引用次数: 0

Abstract

Introduction: Immune checkpoint inhibitors are the mainstay of treatment for unresectable or metastatic renal cell carcinoma (RCC). However, they can cause immune-related adverse events (irAEs), and the management of these irAEs is critical. The combination of myasthenia gravis, myositis, and myocarditis, which are irAEs, is rare, and it has not been reported to occur with avelumab. This report aimed to present a rare case of RCC metastasis that developed irAEs during avelumab and axitinib combination therapy.

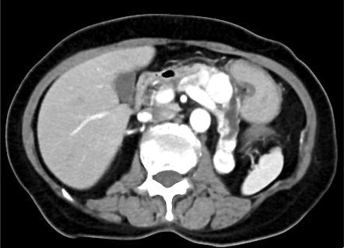
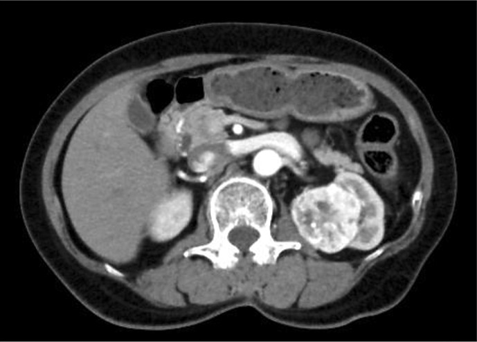
Case presentation: A 76-year-old woman who underwent radical nephrectomy for clear cell RCC (pT1bN0M0 Grade 3 INFb) at the age of 67 years presented to our hospital after her family doctor noted a pancreatic tumor. She was diagnosed with pancreatic metastasis of RCC based on histopathological examination, and avelumab and axitinib combination therapy was initiated. She developed irAEs, including myasthenia gravis, myositis, and myocarditis, which were treated with steroid pulse therapy. The patient recovered after treatment and was discharged without sequelae.

Conclusion: Myasthenia gravis, myositis, and myocarditis can occur during avelumab and axitinib combination therapy for RCC. Prompt diagnosis, treatment, and collaboration with other departments are extremely important for managing irAEs.

Abstract Image

Abstract Image

Abstract Image

阿维单抗和阿西替尼联合治疗期间免疫相关不良事件,包括重症肌无力、肌炎和心肌炎一例。
免疫检查点抑制剂是治疗不可切除或转移性肾细胞癌(RCC)的主要药物。然而,它们可引起免疫相关不良事件(irAEs),这些irAEs的管理至关重要。重症肌无力、肌炎和心肌炎(irAEs)的合并是罕见的,并且尚未报道阿韦单抗发生。本报告旨在报道一个罕见的RCC转移病例,在avelumab和axitinib联合治疗期间发生了irAEs。病例介绍:一名76岁女性,因透明细胞肾细胞癌(pT1bN0M0 3级INFb)于67岁行根治性肾切除术,因家庭医生发现胰腺肿瘤而来我院就诊。经组织病理学检查诊断为肾细胞癌胰腺转移,开始阿维单抗和阿西替尼联合治疗。她出现了irAEs,包括重症肌无力、肌炎和心肌炎,并接受类固醇脉冲治疗。患者经治疗后痊愈出院,无后遗症。结论:阿维单抗和阿西替尼联合治疗肾细胞癌可发生重症肌无力、肌炎和心肌炎。及时的诊断、治疗和与其他部门的合作对于治疗急性呼吸道感染非常重要。
本文章由计算机程序翻译,如有差异,请以英文原文为准。
求助全文
约1分钟内获得全文 求助全文
来源期刊
CiteScore
1.40
自引率
12.50%
发文量
151
审稿时长
7 weeks
×
引用
GB/T 7714-2015
复制
MLA
复制
APA
复制
导出至
BibTeX EndNote RefMan NoteFirst NoteExpress
×
提示
您的信息不完整,为了账户安全,请先补充。
现在去补充
×
提示
您因"违规操作"
具体请查看互助需知
我知道了
×
提示
确定
请完成安全验证×
copy
已复制链接
快去分享给好友吧!
我知道了
右上角分享
点击右上角分享
0
联系我们:info@booksci.cn Book学术提供免费学术资源搜索服务,方便国内外学者检索中英文文献。致力于提供最便捷和优质的服务体验。 Copyright © 2023 布克学术 All rights reserved.
京ICP备2023020795号-1
ghs 京公网安备 11010802042870号
Book学术文献互助
Book学术文献互助群
群 号:604180095
Book学术官方微信