Effectiveness of Triamcinolone Injections in Preventing Scar Deformity following Endoscopic Submucosal Dissection for Pharyngeal Cancer.

IF 0.6 Q4 GASTROENTEROLOGY & HEPATOLOGY
Case Reports in Gastroenterology Pub Date : 2025-02-25 eCollection Date: 2025-01-01 DOI:10.1159/000543878
Yugo Suzuki, Shinji Ito, Tsuyoshi Ishii, Minoru Oda, Shu Hoteya
{"title":"Effectiveness of Triamcinolone Injections in Preventing Scar Deformity following Endoscopic Submucosal Dissection for Pharyngeal Cancer.","authors":"Yugo Suzuki, Shinji Ito, Tsuyoshi Ishii, Minoru Oda, Shu Hoteya","doi":"10.1159/000543878","DOIUrl":null,"url":null,"abstract":"<p><strong>Introduction: </strong>Endoscopic submucosal dissection (ESD) is an effective treatment for superficial pharyngeal cancer. However, pharyngeal deformity caused by postoperative ulcer contraction is a major concern and can result in a poor quality of life. While local steroid injections have been shown to prevent strictures after ESD for esophageal cancer, their effectiveness in preventing deformities following ESD for pharyngeal cancer remains unclear.</p><p><strong>Case presentation: </strong>A 60-year-old woman with superficial pharyngeal cancer in the left pyriform sinus underwent ESD. After ESD, 80 mg of triamcinolone acetonide was injected into the ulcer bed to prevent scar contracture. The patient experienced mild pharyngeal pain, which resolved within a few days. Histopathological examination confirmed the lesion was well-differentiated SCC, with negative resection margins and no lymphovascular invasion. Follow-up endoscopy at 6 weeks showed granulation tissue in the surgical wound, which completely healed without pharyngeal deformity by 14 weeks post-ESD.</p><p><strong>Conclusion: </strong>This case demonstrated that the injection of triamcinolone in an ulcer that developed after ESD may be an effective method of preventing pharyngeal deformity caused by scar contracture.</p>","PeriodicalId":9614,"journal":{"name":"Case Reports in Gastroenterology","volume":"19 1","pages":"113-119"},"PeriodicalIF":0.6000,"publicationDate":"2025-02-25","publicationTypes":"Journal Article","fieldsOfStudy":null,"isOpenAccess":false,"openAccessPdf":"https://www.ncbi.nlm.nih.gov/pmc/articles/PMC11857159/pdf/","citationCount":"0","resultStr":null,"platform":"Semanticscholar","paperid":null,"PeriodicalName":"Case Reports in Gastroenterology","FirstCategoryId":"1085","ListUrlMain":"https://doi.org/10.1159/000543878","RegionNum":0,"RegionCategory":null,"ArticlePicture":[],"TitleCN":null,"AbstractTextCN":null,"PMCID":null,"EPubDate":"2025/1/1 0:00:00","PubModel":"eCollection","JCR":"Q4","JCRName":"GASTROENTEROLOGY & HEPATOLOGY","Score":null,"Total":0}
引用次数: 0

Abstract

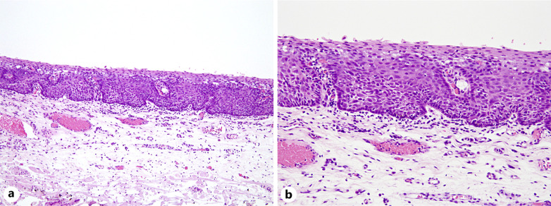
Introduction: Endoscopic submucosal dissection (ESD) is an effective treatment for superficial pharyngeal cancer. However, pharyngeal deformity caused by postoperative ulcer contraction is a major concern and can result in a poor quality of life. While local steroid injections have been shown to prevent strictures after ESD for esophageal cancer, their effectiveness in preventing deformities following ESD for pharyngeal cancer remains unclear.

Case presentation: A 60-year-old woman with superficial pharyngeal cancer in the left pyriform sinus underwent ESD. After ESD, 80 mg of triamcinolone acetonide was injected into the ulcer bed to prevent scar contracture. The patient experienced mild pharyngeal pain, which resolved within a few days. Histopathological examination confirmed the lesion was well-differentiated SCC, with negative resection margins and no lymphovascular invasion. Follow-up endoscopy at 6 weeks showed granulation tissue in the surgical wound, which completely healed without pharyngeal deformity by 14 weeks post-ESD.

Conclusion: This case demonstrated that the injection of triamcinolone in an ulcer that developed after ESD may be an effective method of preventing pharyngeal deformity caused by scar contracture.

Abstract Image

Abstract Image

Abstract Image

曲安奈德注射预防咽癌内镜下粘膜下剥离术后瘢痕畸形的疗效。
内镜下粘膜剥离术(ESD)是浅表性咽癌的有效治疗方法。然而,术后溃疡收缩引起的咽畸形是一个主要问题,并可能导致生活质量差。虽然局部类固醇注射已被证明可以预防食管癌ESD后的狭窄,但其在预防咽喉癌ESD后畸形的有效性尚不清楚。病例介绍:一名60岁女性,左侧梨状窦浅表性咽癌行ESD手术。ESD结束后,在溃疡床内注射曲安奈德80 mg,防止瘢痕挛缩。病人有轻微的咽部疼痛,几天后消退。组织病理学检查证实病变为高分化SCC,切除边缘阴性,无淋巴血管浸润。术后6周随访内镜检查显示手术创面有肉芽组织,术后14周完全愈合,咽部无畸形。结论:本病例提示ESD术后溃疡注射曲安奈德可有效预防瘢痕挛缩引起的咽畸形。
本文章由计算机程序翻译,如有差异,请以英文原文为准。
求助全文
约1分钟内获得全文 求助全文
来源期刊
Case Reports in Gastroenterology
Case Reports in Gastroenterology Medicine-Gastroenterology
CiteScore
1.10
自引率
0.00%
发文量
99
审稿时长
7 weeks
期刊介绍:
×
引用
GB/T 7714-2015
复制
MLA
复制
APA
复制
导出至
BibTeX EndNote RefMan NoteFirst NoteExpress
×
提示
您的信息不完整,为了账户安全,请先补充。
现在去补充
×
提示
您因"违规操作"
具体请查看互助需知
我知道了
×
提示
确定
请完成安全验证×
copy
已复制链接
快去分享给好友吧!
我知道了
右上角分享
点击右上角分享
0
联系我们:info@booksci.cn Book学术提供免费学术资源搜索服务,方便国内外学者检索中英文文献。致力于提供最便捷和优质的服务体验。 Copyright © 2023 布克学术 All rights reserved.
京ICP备2023020795号-1
ghs 京公网安备 11010802042870号
Book学术文献互助
Book学术文献互助群
群 号:604180095
Book学术官方微信