Challenges in Diagnosing Necrotizing Sarcoid Granulomatosis: The First Case Reported From Indonesia.

IF 0.7 Q3 MEDICINE, GENERAL & INTERNAL
Case Reports in Medicine Pub Date : 2025-04-14 eCollection Date: 2025-01-01 DOI:10.1155/carm/3219868
Gurmeet Singh, Ramadhan Karsono, Soedarman Sjamsoe, Muhammad Rizki Triono, Rina La Distia Nora, Devi Felicia, Fajar Lamhot Gultom, Daniel Ruslim, Arif Sejati, Ralph Girson Gunarsa, Ceva Wicaksono Pitoyo, Cleopas Martin Rumende
{"title":"Challenges in Diagnosing Necrotizing Sarcoid Granulomatosis: The First Case Reported From Indonesia.","authors":"Gurmeet Singh, Ramadhan Karsono, Soedarman Sjamsoe, Muhammad Rizki Triono, Rina La Distia Nora, Devi Felicia, Fajar Lamhot Gultom, Daniel Ruslim, Arif Sejati, Ralph Girson Gunarsa, Ceva Wicaksono Pitoyo, Cleopas Martin Rumende","doi":"10.1155/carm/3219868","DOIUrl":null,"url":null,"abstract":"<p><p>Necrotizing sarcoid granulomatosis (NSG) is a rare disease characterized by granulomatous and necrotic features as well as vasculitis, and it primarily affects the lungs, with occasional extrapulmonary manifestations. The first documented case was in Jakarta, Indonesia. A 71-year-old male presented with prolonged fever, a neck mass, and multiple mediastinal lymphadenopathy. The disease was initially suspected as lung tuberculosis, but a surgical biopsy of the left thyroid lobe confirmed the NSG pattern. Treatment with oral prednisolone led to positive outcomes, as evidenced by radiological improvement at the 3-month follow-up. This case report aims to emphasize the challenges and the importance of clinician awareness in diagnosing NSG.</p>","PeriodicalId":9627,"journal":{"name":"Case Reports in Medicine","volume":"2025 ","pages":"3219868"},"PeriodicalIF":0.7000,"publicationDate":"2025-04-14","publicationTypes":"Journal Article","fieldsOfStudy":null,"isOpenAccess":false,"openAccessPdf":"https://www.ncbi.nlm.nih.gov/pmc/articles/PMC12011462/pdf/","citationCount":"0","resultStr":null,"platform":"Semanticscholar","paperid":null,"PeriodicalName":"Case Reports in Medicine","FirstCategoryId":"1085","ListUrlMain":"https://doi.org/10.1155/carm/3219868","RegionNum":0,"RegionCategory":null,"ArticlePicture":[],"TitleCN":null,"AbstractTextCN":null,"PMCID":null,"EPubDate":"2025/1/1 0:00:00","PubModel":"eCollection","JCR":"Q3","JCRName":"MEDICINE, GENERAL & INTERNAL","Score":null,"Total":0}
引用次数: 0

Abstract

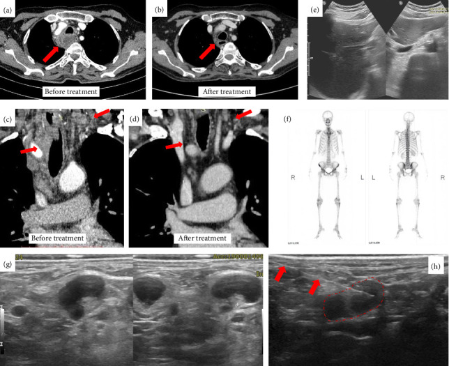
Necrotizing sarcoid granulomatosis (NSG) is a rare disease characterized by granulomatous and necrotic features as well as vasculitis, and it primarily affects the lungs, with occasional extrapulmonary manifestations. The first documented case was in Jakarta, Indonesia. A 71-year-old male presented with prolonged fever, a neck mass, and multiple mediastinal lymphadenopathy. The disease was initially suspected as lung tuberculosis, but a surgical biopsy of the left thyroid lobe confirmed the NSG pattern. Treatment with oral prednisolone led to positive outcomes, as evidenced by radiological improvement at the 3-month follow-up. This case report aims to emphasize the challenges and the importance of clinician awareness in diagnosing NSG.

Abstract Image

Abstract Image

Abstract Image

诊断坏死性肉芽肿病的挑战:印度尼西亚首例报道。
坏死性肉瘤样肉芽肿病(NSG)是一种罕见的疾病,以肉芽肿、坏死及血管炎为特征,主要累及肺部,偶有肺外表现。第一例记录在案的病例发生在印度尼西亚雅加达。71岁男性,长期发热,颈部肿块,多发纵隔淋巴结病。该疾病最初被怀疑为肺结核,但手术活检左甲状腺叶证实NSG模式。口服强的松龙治疗导致了积极的结果,在3个月的随访中放射学改善证明了这一点。本病例报告旨在强调诊断NSG的挑战和临床医生意识的重要性。
本文章由计算机程序翻译,如有差异,请以英文原文为准。
求助全文
约1分钟内获得全文 求助全文
来源期刊
Case Reports in Medicine
Case Reports in Medicine MEDICINE, GENERAL & INTERNAL-
CiteScore
1.70
自引率
0.00%
发文量
53
审稿时长
13 weeks
×
引用
GB/T 7714-2015
复制
MLA
复制
APA
复制
导出至
BibTeX EndNote RefMan NoteFirst NoteExpress
×
提示
您的信息不完整,为了账户安全,请先补充。
现在去补充
×
提示
您因"违规操作"
具体请查看互助需知
我知道了
×
提示
确定
请完成安全验证×
copy
已复制链接
快去分享给好友吧!
我知道了
右上角分享
点击右上角分享
0
联系我们:info@booksci.cn Book学术提供免费学术资源搜索服务,方便国内外学者检索中英文文献。致力于提供最便捷和优质的服务体验。 Copyright © 2023 布克学术 All rights reserved.
京ICP备2023020795号-1
ghs 京公网安备 11010802042870号
Book学术文献互助
Book学术文献互助群
群 号:604180095
Book学术官方微信