Never Late: Cerebrotendinous Xanthomatosis and Improvements in Neurocognitive Functions in an Adult Patient on Chenodeoxycholic Acid Treatment

IF 2.3 3区 医学 Q2 GENETICS & HEREDITY
Randa Sultan, Marta Villa-Lopez, Clara Hung, Morganne McCabe, Oksana Suchowersky, Jordan Urlacher, Saadet Mercimek-Andrews
{"title":"Never Late: Cerebrotendinous Xanthomatosis and Improvements in Neurocognitive Functions in an Adult Patient on Chenodeoxycholic Acid Treatment","authors":"Randa Sultan,&nbsp;Marta Villa-Lopez,&nbsp;Clara Hung,&nbsp;Morganne McCabe,&nbsp;Oksana Suchowersky,&nbsp;Jordan Urlacher,&nbsp;Saadet Mercimek-Andrews","doi":"10.1111/cge.14751","DOIUrl":null,"url":null,"abstract":"<p>Cerebrotendinous xanthomatosis (CTX) is an inherited metabolic disease due to biallelic pathogenic variants in <i>CYP27A1</i>. We report a newly diagnosed patient and the outcome of the chenodeoxycholic acid (CDCA) treatment. This is a 36-year-old male with progressive lower limb spasticity, learning difficulties, and early cataracts. He was diagnosed by targeted next generation sequencing panel for hereditary spastic paraparesis (c.379C&gt;T; p.Arg127Trp and c.1072C&gt;T; p.Gln358* in <i>CYP27A1</i>) with CTX at the age of 33 years. Brain and spine magnetic resonance imaging (MRI) revealed increased T2 signal intensity in the dentate nuclei and bilateral posterolateral spinal cord. Baseline plasma 7a-hydroxy-4-cholesten-3-one (&gt; 5; ref. range &lt; 0.300 nmol/mL) and 7a,12a dihydroxycholest-4-en-3-one (&gt; 5; ref. range &lt; 0.100 nmol/mL) were markedly elevated. Baseline full-scale IQ was 69. The CDCA treatment (750 mg/day) was started at the age of 34 years. Plasma 7a-hydroxy-4-cholesten-3-one level was normalized; plasma 7a,12a dihydroxycholest-4-en-3-one level was markedly improved (0.755 nmol/mL; ref. range &lt; 0.1) and full-scale IQ improved to 83 at two years of the CDCA treatment. This patient highlights improvements in neurocognitive functions despite late diagnosis and late initiation of treatment and exemplifies the importance of diagnosing a treatable disease at any age to improve neurocognitive outcomes.</p>","PeriodicalId":10354,"journal":{"name":"Clinical Genetics","volume":"108 3","pages":"363-368"},"PeriodicalIF":2.3000,"publicationDate":"2025-04-27","publicationTypes":"Journal Article","fieldsOfStudy":null,"isOpenAccess":false,"openAccessPdf":"https://onlinelibrary.wiley.com/doi/epdf/10.1111/cge.14751","citationCount":"0","resultStr":null,"platform":"Semanticscholar","paperid":null,"PeriodicalName":"Clinical Genetics","FirstCategoryId":"3","ListUrlMain":"https://onlinelibrary.wiley.com/doi/10.1111/cge.14751","RegionNum":3,"RegionCategory":"医学","ArticlePicture":[],"TitleCN":null,"AbstractTextCN":null,"PMCID":null,"EPubDate":"","PubModel":"","JCR":"Q2","JCRName":"GENETICS & HEREDITY","Score":null,"Total":0}
引用次数: 0

Abstract

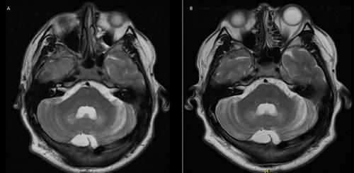
Cerebrotendinous xanthomatosis (CTX) is an inherited metabolic disease due to biallelic pathogenic variants in CYP27A1. We report a newly diagnosed patient and the outcome of the chenodeoxycholic acid (CDCA) treatment. This is a 36-year-old male with progressive lower limb spasticity, learning difficulties, and early cataracts. He was diagnosed by targeted next generation sequencing panel for hereditary spastic paraparesis (c.379C>T; p.Arg127Trp and c.1072C>T; p.Gln358* in CYP27A1) with CTX at the age of 33 years. Brain and spine magnetic resonance imaging (MRI) revealed increased T2 signal intensity in the dentate nuclei and bilateral posterolateral spinal cord. Baseline plasma 7a-hydroxy-4-cholesten-3-one (> 5; ref. range < 0.300 nmol/mL) and 7a,12a dihydroxycholest-4-en-3-one (> 5; ref. range < 0.100 nmol/mL) were markedly elevated. Baseline full-scale IQ was 69. The CDCA treatment (750 mg/day) was started at the age of 34 years. Plasma 7a-hydroxy-4-cholesten-3-one level was normalized; plasma 7a,12a dihydroxycholest-4-en-3-one level was markedly improved (0.755 nmol/mL; ref. range < 0.1) and full-scale IQ improved to 83 at two years of the CDCA treatment. This patient highlights improvements in neurocognitive functions despite late diagnosis and late initiation of treatment and exemplifies the importance of diagnosing a treatable disease at any age to improve neurocognitive outcomes.

Abstract Image

从不迟到:一名接受鹅去氧胆酸治疗的成年患者的脑腱黄瘤病和神经认知功能的改善。
脑腱黄瘤病(CTX)是一种由CYP27A1双等位基因致病变异引起的遗传性代谢性疾病。我们报告一个新诊断的病人和鹅去氧胆酸(CDCA)治疗的结果。这是一名36岁男性,患有进行性下肢痉挛、学习困难和早期白内障。他被诊断为遗传性痉挛性截瘫(c.379C >t;p.Arg127Trp和c.1072C>T;p.Gln358* (CYP27A1)与CTX在33岁时。脑和脊柱磁共振成像(MRI)显示齿状核和双侧脊髓后外侧T2信号强度增加。基线血浆7a-羟基-4-胆甾醇-3- 1 (bbb50;参考范围5;引用范围
本文章由计算机程序翻译,如有差异,请以英文原文为准。
求助全文
约1分钟内获得全文 求助全文
来源期刊
Clinical Genetics
Clinical Genetics 医学-遗传学
CiteScore
6.50
自引率
0.00%
发文量
175
审稿时长
3-8 weeks
期刊介绍: Clinical Genetics links research to the clinic, translating advances in our understanding of the molecular basis of genetic disease for the practising clinical geneticist. The journal publishes high quality research papers, short reports, reviews and mini-reviews that connect medical genetics research with clinical practice. Topics of particular interest are: • Linking genetic variations to disease • Genome rearrangements and disease • Epigenetics and disease • The translation of genotype to phenotype • Genetics of complex disease • Management/intervention of genetic diseases • Novel therapies for genetic diseases • Developmental biology, as it relates to clinical genetics • Social science research on the psychological and behavioural aspects of living with or being at risk of genetic disease
×
引用
GB/T 7714-2015
复制
MLA
复制
APA
复制
导出至
BibTeX EndNote RefMan NoteFirst NoteExpress
×
提示
您的信息不完整,为了账户安全,请先补充。
现在去补充
×
提示
您因"违规操作"
具体请查看互助需知
我知道了
×
提示
确定
请完成安全验证×
copy
已复制链接
快去分享给好友吧!
我知道了
右上角分享
点击右上角分享
0
联系我们:info@booksci.cn Book学术提供免费学术资源搜索服务,方便国内外学者检索中英文文献。致力于提供最便捷和优质的服务体验。 Copyright © 2023 布克学术 All rights reserved.
京ICP备2023020795号-1
ghs 京公网安备 11010802042870号
Book学术文献互助
Book学术文献互助群
群 号:604180095
Book学术官方微信