Calorie-restriction treatment mitigates the aging in rat liver model.

IF 4.1 4区 医学 Q1 GERIATRICS & GERONTOLOGY
L Urlandini, A E Leonetti, F Conforti, A Perri, D Lofaro, G Antonucci, M Mandalà, S Bossio, S Di Agostino, V Rago
{"title":"Calorie-restriction treatment mitigates the aging in rat liver model.","authors":"L Urlandini, A E Leonetti, F Conforti, A Perri, D Lofaro, G Antonucci, M Mandalà, S Bossio, S Di Agostino, V Rago","doi":"10.1007/s10522-025-10245-8","DOIUrl":null,"url":null,"abstract":"<p><p>The aging process promotes progressive impairment of homeostasis and the increase of the risk of disease and death. A major hallmark of the aging process is the systemic chronic inflammation which strongly contributes to the onset of aging-related diseases. In the liver, the aging condition drives the hepatocytes to develop a metabolic dysfunction-associated steatosis. Caloric restriction (CR) is a remarkable strategy to delay biological aging, occurring through several mechanisms. In this study we aimed to explore, employing an in vivo rat model, the impact of CR on aging-mediated liver inflammation markers. The experiments were performed on 14 male Sprague-Dawley rats (24 months old). At 18 months old, rats were allocated into two groups: the normal diet (ND) group was continued ad libitum diet, and the CR regimen group was fed a diet of the same chow restricted to 60% of the intake. All animals were sacrificed at 24 months old. Compared to the ND group, morphological examination of the liver revealed a lower level of fibrosis in the CR group, concomitantly with a reduced expression of key fibrotic markers, such as collagen I, fibronectin, and αSMA. Furthermore, CR improved the liver oxidative balance, as showed by the increased expression of two scavenging enzymes, SOD1/SOD. Moreover, we reported concomitant reduction of NLRP3 inflammasome signalling. Interestingly, CR significantly improved the signalling of key members of the nutrition-sensitizing affected by aging, AMPK/SIRT1/LKB1. Collectively our findings support the evidence on the metabolic benefits of CR about aging-related liver inflammation, by inducing a morphological improvement that mirrors the decrease in the expression of inflammatory molecular markers.</p>","PeriodicalId":8909,"journal":{"name":"Biogerontology","volume":"26 3","pages":"108"},"PeriodicalIF":4.1000,"publicationDate":"2025-05-07","publicationTypes":"Journal Article","fieldsOfStudy":null,"isOpenAccess":false,"openAccessPdf":"https://www.ncbi.nlm.nih.gov/pmc/articles/PMC12058891/pdf/","citationCount":"0","resultStr":null,"platform":"Semanticscholar","paperid":null,"PeriodicalName":"Biogerontology","FirstCategoryId":"3","ListUrlMain":"https://doi.org/10.1007/s10522-025-10245-8","RegionNum":4,"RegionCategory":"医学","ArticlePicture":[],"TitleCN":null,"AbstractTextCN":null,"PMCID":null,"EPubDate":"","PubModel":"","JCR":"Q1","JCRName":"GERIATRICS & GERONTOLOGY","Score":null,"Total":0}
引用次数: 0

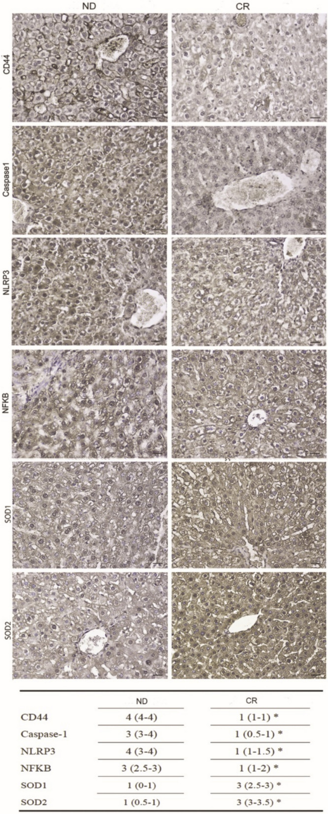
Abstract

The aging process promotes progressive impairment of homeostasis and the increase of the risk of disease and death. A major hallmark of the aging process is the systemic chronic inflammation which strongly contributes to the onset of aging-related diseases. In the liver, the aging condition drives the hepatocytes to develop a metabolic dysfunction-associated steatosis. Caloric restriction (CR) is a remarkable strategy to delay biological aging, occurring through several mechanisms. In this study we aimed to explore, employing an in vivo rat model, the impact of CR on aging-mediated liver inflammation markers. The experiments were performed on 14 male Sprague-Dawley rats (24 months old). At 18 months old, rats were allocated into two groups: the normal diet (ND) group was continued ad libitum diet, and the CR regimen group was fed a diet of the same chow restricted to 60% of the intake. All animals were sacrificed at 24 months old. Compared to the ND group, morphological examination of the liver revealed a lower level of fibrosis in the CR group, concomitantly with a reduced expression of key fibrotic markers, such as collagen I, fibronectin, and αSMA. Furthermore, CR improved the liver oxidative balance, as showed by the increased expression of two scavenging enzymes, SOD1/SOD. Moreover, we reported concomitant reduction of NLRP3 inflammasome signalling. Interestingly, CR significantly improved the signalling of key members of the nutrition-sensitizing affected by aging, AMPK/SIRT1/LKB1. Collectively our findings support the evidence on the metabolic benefits of CR about aging-related liver inflammation, by inducing a morphological improvement that mirrors the decrease in the expression of inflammatory molecular markers.

Abstract Image

Abstract Image

Abstract Image

热量限制治疗可减轻大鼠肝脏模型的衰老。
衰老过程促进体内平衡的渐进式损害和疾病和死亡风险的增加。衰老过程的一个主要标志是全身性慢性炎症,它强烈地促进了衰老相关疾病的发病。在肝脏中,衰老状况驱使肝细胞产生代谢功能障碍相关的脂肪变性。热量限制(CR)是一种显著的延缓生物衰老的策略,通过几种机制发生。在本研究中,我们旨在通过体内大鼠模型探讨CR对衰老介导的肝脏炎症标志物的影响。实验对象为14只24月龄雄性Sprague-Dawley大鼠。18月龄时,将大鼠分为两组:正常饮食(ND)组继续自由饮食,CR方案组饲喂相同的饲料,限制为摄入量的60%。所有动物在24个月大时被处死。与ND组相比,肝脏形态学检查显示CR组纤维化水平较低,同时关键纤维化标志物如胶原I、纤维连接蛋白和αSMA的表达降低。此外,CR改善了肝脏氧化平衡,SOD1/SOD两种清除酶的表达增加。此外,我们还报道了NLRP3炎症小体信号的减少。有趣的是,CR显著改善了受衰老影响的营养敏感的关键成员AMPK/SIRT1/LKB1的信号传导。总的来说,我们的研究结果支持CR对衰老相关肝脏炎症代谢益处的证据,通过诱导炎症分子标记物表达减少的形态学改善。
本文章由计算机程序翻译,如有差异,请以英文原文为准。
求助全文
约1分钟内获得全文 求助全文
来源期刊
Biogerontology
Biogerontology 医学-老年医学
CiteScore
8.00
自引率
4.40%
发文量
54
审稿时长
>12 weeks
期刊介绍: The journal Biogerontology offers a platform for research which aims primarily at achieving healthy old age accompanied by improved longevity. The focus is on efforts to understand, prevent, cure or minimize age-related impairments. Biogerontology provides a peer-reviewed forum for publishing original research data, new ideas and discussions on modulating the aging process by physical, chemical and biological means, including transgenic and knockout organisms; cell culture systems to develop new approaches and health care products for maintaining or recovering the lost biochemical functions; immunology, autoimmunity and infection in aging; vertebrates, invertebrates, micro-organisms and plants for experimental studies on genetic determinants of aging and longevity; biodemography and theoretical models linking aging and survival kinetics.
×
引用
GB/T 7714-2015
复制
MLA
复制
APA
复制
导出至
BibTeX EndNote RefMan NoteFirst NoteExpress
×
提示
您的信息不完整,为了账户安全,请先补充。
现在去补充
×
提示
您因"违规操作"
具体请查看互助需知
我知道了
×
提示
确定
请完成安全验证×
copy
已复制链接
快去分享给好友吧!
我知道了
右上角分享
点击右上角分享
0
联系我们:info@booksci.cn Book学术提供免费学术资源搜索服务,方便国内外学者检索中英文文献。致力于提供最便捷和优质的服务体验。 Copyright © 2023 布克学术 All rights reserved.
京ICP备2023020795号-1
ghs 京公网安备 11010802042870号
Book学术文献互助
Book学术文献互助群
群 号:604180095
Book学术官方微信