Longitudinal MRI in comparison to low-dose CT for follow-up of incidental pulmonary nodules in patients with COPD-a nationwide multicenter trial.

IF 4.7 2区 医学 Q1 RADIOLOGY, NUCLEAR MEDICINE & MEDICAL IMAGING
European Radiology Pub Date : 2025-10-01 Epub Date: 2025-04-13 DOI:10.1007/s00330-025-11567-4
Lin Zhu, Qian Li, Oyunbileg von Stackelberg, Simon M F Triphan, Jürgen Biederer, Oliver Weinheimer, Monika Eichinger, Claus F Vogelmeier, Rudolf A Jörres, Hans-Ulrich Kauczor, Claus P Heußel, Bertram J Jobst, Hong Yu, Mark O Wielpütz
{"title":"Longitudinal MRI in comparison to low-dose CT for follow-up of incidental pulmonary nodules in patients with COPD-a nationwide multicenter trial.","authors":"Lin Zhu, Qian Li, Oyunbileg von Stackelberg, Simon M F Triphan, Jürgen Biederer, Oliver Weinheimer, Monika Eichinger, Claus F Vogelmeier, Rudolf A Jörres, Hans-Ulrich Kauczor, Claus P Heußel, Bertram J Jobst, Hong Yu, Mark O Wielpütz","doi":"10.1007/s00330-025-11567-4","DOIUrl":null,"url":null,"abstract":"<p><strong>Purpose: </strong>This multicenter trial was conducted to evaluate MRI for the longitudinal management of incidental pulmonary nodules in heavy smokers.</p><p><strong>Materials and methods: </strong>239 participants (63.9 ± 8.4 years, 43-82 years) at risk of or with COPD GOLDI-IV from 16 centers prospectively underwent two rounds of same-day low-dose computed tomography (LDCT1&2) and MRI1&2 at an interval of three years in the nationwide COSYCONET trial. All exams were independently assessed for incidental pulmonary nodules in a standardized fashion by two blinded readers, incl. axis measurements and Lung-RADS categorization, with consensual LDCT results serving as the standard of reference. A change in diameter ≥ 2 mm was rated as progress. 11 patients underwent surgery for suspicious nodules after the first round.</p><p><strong>Results: </strong>Two hundred twenty-four of two hundred forty nodules (93.3%) persisted from LDCT1 to LDCT2, with a sensitivity of MRI2 of 82.8% and 81.5% for readers 1 and 2, respectively. Agreement in Lung-RADS categories between LDCT2 and MRI2 was substantial in per-nodule (κ = 0.62-0.70) and excellent in a per-patient (κ = 0.86-0.88) approach for both readers, respectively. Concordance between LDCT2 and MRI2 for growth was excellent to almost perfect (κ = 0.88-1.0). The accuracy of LDCT1 and MRI1 for lung cancer was 87.5%. Lung-RADS ≥ 3 category on MRI1 had higher accuracy for predicting progress (23.1% and 21.4%, respectively) than LDCT1 (15.8%).</p><p><strong>Conclusion: </strong>Compared to LDCT, MRI shows similar capabilities for the longitudinal evaluation of incidental nodules in heavy smokers. Decision-making for nodule management guided by Lung-RADS seems feasible based on longitudinal MRI.</p><p><strong>Key points: </strong>Question Can MRI serve as an alternative to low-dose CT (LDCT) for the longitudinal management of pulmonary nodules in heavy smokers, addressing concerns over radiation exposure? Findings MRI demonstrated substantial agreement with LDCT in detecting nodule growth, accurately categorizing Lung-RADS, and comparable accuracy in identifying malignancy over a three-year follow-up. Clinical relevance Longitudinal MRI demonstrates high consistency with LDCT in assessing the growth of incidental pulmonary nodules and categorizing per-patient Lung-RADS, offering a reliable, radiation-free alternative for monitoring and early malignancy detection in high-risk populations.</p>","PeriodicalId":12076,"journal":{"name":"European Radiology","volume":" ","pages":"6336-6349"},"PeriodicalIF":4.7000,"publicationDate":"2025-10-01","publicationTypes":"Journal Article","fieldsOfStudy":null,"isOpenAccess":false,"openAccessPdf":"https://www.ncbi.nlm.nih.gov/pmc/articles/PMC12417304/pdf/","citationCount":"0","resultStr":null,"platform":"Semanticscholar","paperid":null,"PeriodicalName":"European Radiology","FirstCategoryId":"3","ListUrlMain":"https://doi.org/10.1007/s00330-025-11567-4","RegionNum":2,"RegionCategory":"医学","ArticlePicture":[],"TitleCN":null,"AbstractTextCN":null,"PMCID":null,"EPubDate":"2025/4/13 0:00:00","PubModel":"Epub","JCR":"Q1","JCRName":"RADIOLOGY, NUCLEAR MEDICINE & MEDICAL IMAGING","Score":null,"Total":0}
引用次数: 0

Abstract

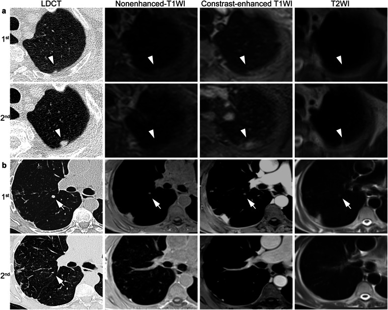
Purpose: This multicenter trial was conducted to evaluate MRI for the longitudinal management of incidental pulmonary nodules in heavy smokers.

Materials and methods: 239 participants (63.9 ± 8.4 years, 43-82 years) at risk of or with COPD GOLDI-IV from 16 centers prospectively underwent two rounds of same-day low-dose computed tomography (LDCT1&2) and MRI1&2 at an interval of three years in the nationwide COSYCONET trial. All exams were independently assessed for incidental pulmonary nodules in a standardized fashion by two blinded readers, incl. axis measurements and Lung-RADS categorization, with consensual LDCT results serving as the standard of reference. A change in diameter ≥ 2 mm was rated as progress. 11 patients underwent surgery for suspicious nodules after the first round.

Results: Two hundred twenty-four of two hundred forty nodules (93.3%) persisted from LDCT1 to LDCT2, with a sensitivity of MRI2 of 82.8% and 81.5% for readers 1 and 2, respectively. Agreement in Lung-RADS categories between LDCT2 and MRI2 was substantial in per-nodule (κ = 0.62-0.70) and excellent in a per-patient (κ = 0.86-0.88) approach for both readers, respectively. Concordance between LDCT2 and MRI2 for growth was excellent to almost perfect (κ = 0.88-1.0). The accuracy of LDCT1 and MRI1 for lung cancer was 87.5%. Lung-RADS ≥ 3 category on MRI1 had higher accuracy for predicting progress (23.1% and 21.4%, respectively) than LDCT1 (15.8%).

Conclusion: Compared to LDCT, MRI shows similar capabilities for the longitudinal evaluation of incidental nodules in heavy smokers. Decision-making for nodule management guided by Lung-RADS seems feasible based on longitudinal MRI.

Key points: Question Can MRI serve as an alternative to low-dose CT (LDCT) for the longitudinal management of pulmonary nodules in heavy smokers, addressing concerns over radiation exposure? Findings MRI demonstrated substantial agreement with LDCT in detecting nodule growth, accurately categorizing Lung-RADS, and comparable accuracy in identifying malignancy over a three-year follow-up. Clinical relevance Longitudinal MRI demonstrates high consistency with LDCT in assessing the growth of incidental pulmonary nodules and categorizing per-patient Lung-RADS, offering a reliable, radiation-free alternative for monitoring and early malignancy detection in high-risk populations.

Abstract Image

Abstract Image

Abstract Image

纵向MRI与低剂量CT在copd患者偶发肺结节随访中的比较——一项全国性多中心试验。
目的:本多中心试验旨在评价MRI对重度吸烟者偶发肺结节的纵向管理效果。材料和方法:来自16个中心的239名(63.9±8.4岁,43-82岁)有COPD风险或患有COPD GOLDI-IV的参与者在全国COSYCONET试验中前瞻性地接受了两轮当日低剂量计算机断层扫描(LDCT1&2)和MRI1&2,间隔3年。所有检查均由两名盲法读者以标准化方式独立评估偶发性肺结节,包括轴测量和肺- rads分类,并以一致同意的LDCT结果作为参考标准。直径变化≥2mm为进展。11例患者在第一轮治疗后因可疑结节接受手术治疗。结果:240个结节中有224个(93.3%)从LDCT1持续到LDCT2,读取器1和2的mri敏感性分别为82.8%和81.5%。LDCT2和mri在肺- rads分类上的一致性在每个结节(κ = 0.62-0.70)上是显著的,在每个患者(κ = 0.86-0.88)上是极好的。LDCT2与MRI2在生长方面的一致性极好,接近完美(κ = 0.88-1.0)。LDCT1和mri对肺癌的诊断准确率为87.5%。mri上肺- rads≥3分类预测进展的准确率(分别为23.1%和21.4%)高于LDCT1(15.8%)。结论:与LDCT相比,MRI对重度吸烟者偶发结节的纵向评估能力相似。基于纵向MRI, Lung-RADS指导下的结节管理决策似乎是可行的。MRI是否可以作为低剂量CT (LDCT)的替代方案,用于重度吸烟者肺结节的纵向管理,解决辐射暴露的问题?MRI与LDCT在检测结节生长、准确分类肺部rads和鉴别恶性肿瘤方面的准确性相当。纵向MRI与LDCT在评估偶发肺结节的生长和对每位患者肺rads进行分类方面具有高度的一致性,为高危人群的监测和早期恶性肿瘤检测提供了可靠、无辐射的替代方法。
本文章由计算机程序翻译,如有差异,请以英文原文为准。
求助全文
约1分钟内获得全文 求助全文
来源期刊
European Radiology
European Radiology 医学-核医学
CiteScore
11.60
自引率
8.50%
发文量
874
审稿时长
2-4 weeks
期刊介绍: European Radiology (ER) continuously updates scientific knowledge in radiology by publication of strong original articles and state-of-the-art reviews written by leading radiologists. A well balanced combination of review articles, original papers, short communications from European radiological congresses and information on society matters makes ER an indispensable source for current information in this field. This is the Journal of the European Society of Radiology, and the official journal of a number of societies. From 2004-2008 supplements to European Radiology were published under its companion, European Radiology Supplements, ISSN 1613-3749.
×
引用
GB/T 7714-2015
复制
MLA
复制
APA
复制
导出至
BibTeX EndNote RefMan NoteFirst NoteExpress
×
提示
您的信息不完整,为了账户安全,请先补充。
现在去补充
×
提示
您因"违规操作"
具体请查看互助需知
我知道了
×
提示
确定
请完成安全验证×
copy
已复制链接
快去分享给好友吧!
我知道了
右上角分享
点击右上角分享
0
联系我们:info@booksci.cn Book学术提供免费学术资源搜索服务,方便国内外学者检索中英文文献。致力于提供最便捷和优质的服务体验。 Copyright © 2023 布克学术 All rights reserved.
京ICP备2023020795号-1
ghs 京公网安备 11010802042870号
Book学术文献互助
Book学术文献互助群
群 号:604180095
Book学术官方微信