Prosthodontic management of a patient with ameloblastoma of the lower jaw with implants.

Q2 Dentistry
Vivek Lath, Sansriti Tiwari, Fiza Qureshi Ahmed, Vaibhav Tiwari, Swati Rupam
{"title":"Prosthodontic management of a patient with ameloblastoma of the lower jaw with implants.","authors":"Vivek Lath, Sansriti Tiwari, Fiza Qureshi Ahmed, Vaibhav Tiwari, Swati Rupam","doi":"10.4103/jisp.jisp_222_24","DOIUrl":null,"url":null,"abstract":"<p><p>Mandibular ameloblastoma are rare, noncancerous tumors which originate from odontogenic epithelium. Ameloblastoma, commonly occurring in the mandible, disturbs its balance and symmetry. Surgical treatment of ameloblastoma though gets rid a patient of the tumour, but it may also result in compromised esthetics and function. The present case report focuses on the implant-supported rehabilitation of the mandibular region treated with surgical enucleation of the tumour.</p>","PeriodicalId":15890,"journal":{"name":"Journal of Indian Society of Periodontology","volume":"28 6","pages":"697-700"},"PeriodicalIF":0.0000,"publicationDate":"2024-11-01","publicationTypes":"Journal Article","fieldsOfStudy":null,"isOpenAccess":false,"openAccessPdf":"https://www.ncbi.nlm.nih.gov/pmc/articles/PMC12043214/pdf/","citationCount":"0","resultStr":null,"platform":"Semanticscholar","paperid":null,"PeriodicalName":"Journal of Indian Society of Periodontology","FirstCategoryId":"1085","ListUrlMain":"https://doi.org/10.4103/jisp.jisp_222_24","RegionNum":0,"RegionCategory":null,"ArticlePicture":[],"TitleCN":null,"AbstractTextCN":null,"PMCID":null,"EPubDate":"2025/4/3 0:00:00","PubModel":"Epub","JCR":"Q2","JCRName":"Dentistry","Score":null,"Total":0}
引用次数: 0

Abstract

Mandibular ameloblastoma are rare, noncancerous tumors which originate from odontogenic epithelium. Ameloblastoma, commonly occurring in the mandible, disturbs its balance and symmetry. Surgical treatment of ameloblastoma though gets rid a patient of the tumour, but it may also result in compromised esthetics and function. The present case report focuses on the implant-supported rehabilitation of the mandibular region treated with surgical enucleation of the tumour.

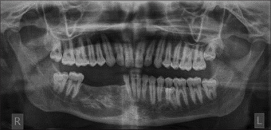
Abstract Image

Abstract Image

Abstract Image

下颌成釉细胞瘤植体修复治疗1例。
下颌成釉细胞瘤是一种罕见的非癌性肿瘤,起源于牙源性上皮。成釉细胞瘤,常见于下颌骨,扰乱其平衡和对称。手术治疗成釉细胞瘤虽然使患者摆脱了肿瘤,但也可能导致美观和功能受损。本病例报告的重点是种植体支持的下颌区域的康复治疗与手术切除肿瘤。
本文章由计算机程序翻译,如有差异,请以英文原文为准。
求助全文
约1分钟内获得全文 求助全文
来源期刊
CiteScore
1.70
自引率
0.00%
发文量
87
审稿时长
44 weeks
期刊介绍: The Journal of Indian Society of Periodontology publishes original scientific articles to support practice , education and research in the dental specialty of periodontology and oral implantology. Journal of Indian Society of Periodontology (JISP), is the official publication of the Society and is managed and brought out by the Editor of the society. The journal is published Bimonthly with special issues being brought out for specific occasions. The ISP had a bulletin as its publication for a large number of years and was enhanced as a Journal a few years ago
×
引用
GB/T 7714-2015
复制
MLA
复制
APA
复制
导出至
BibTeX EndNote RefMan NoteFirst NoteExpress
×
提示
您的信息不完整,为了账户安全,请先补充。
现在去补充
×
提示
您因"违规操作"
具体请查看互助需知
我知道了
×
提示
确定
请完成安全验证×
copy
已复制链接
快去分享给好友吧!
我知道了
右上角分享
点击右上角分享
0
联系我们:info@booksci.cn Book学术提供免费学术资源搜索服务,方便国内外学者检索中英文文献。致力于提供最便捷和优质的服务体验。 Copyright © 2023 布克学术 All rights reserved.
京ICP备2023020795号-1
ghs 京公网安备 11010802042870号
Book学术文献互助
Book学术文献互助群
群 号:604180095
Book学术官方微信