Scrub Typhus Combined With Septic Shock Disseminated Intravascular Coagulation and Significant Hyperfibrinolysis: A Case Report and Review of the Literature.

IF 0.8 Q4 INFECTIOUS DISEASES
Case Reports in Infectious Diseases Pub Date : 2025-03-04 eCollection Date: 2025-01-01 DOI:10.1155/crdi/1931423
Dewen Ma, Xiaohong Wan, Haihui Yang, Liying Yang, Ankang Peng, Quping Yuan, You Li, Shunhang Xu
{"title":"Scrub Typhus Combined With Septic Shock Disseminated Intravascular Coagulation and Significant Hyperfibrinolysis: A Case Report and Review of the Literature.","authors":"Dewen Ma, Xiaohong Wan, Haihui Yang, Liying Yang, Ankang Peng, Quping Yuan, You Li, Shunhang Xu","doi":"10.1155/crdi/1931423","DOIUrl":null,"url":null,"abstract":"<p><p><b>Introduction:</b> Scrub typhus is an acute infectious disease caused by <i>Orientia tsutsugamushi</i>, whose pathophysiology is characterized by systemic small-vessel vasculitis. Its high misdiagnosis rate stems from its nonspecific clinical features. If not diagnosed and treated in time, patients may rapidly progress to multiorgan dysfunction syndrome (MODS) or even disseminated intravascular coagulation (DIC), posing a severe threat to life. <b>Case Presentation:</b> The patient was a 68-year-old male with \"recurrent fever and dry cough for six days.\" He was admitted to the hospital with a diagnosis of scrub typhus. After admission, he developed severe acute respiratory distress syndrome (ARDS), MODS, septic shock, DIC with thrombocytopenia, hypofibrinogenemia, significant hyperfibrinolysis, and myocardial depression. The patient improved following treatment with doxycycline, moxifloxacin, renal replacement therapy, blood transfusion, antifibrinolysis, invasive mechanical ventilation, and other supportive therapies. The patient's coagulation profile in DIC caused by scrub typhus demonstrated significant hyperfibrinolysis, differing from that of garden-variety sepsis, and no similar cases were identified in a search of medical literature/databases. <b>Conclusion:</b> The fibrinolytic system in DIC caused by scrub typhus is excessively active, and antifibrinolytic therapy may benefit such patients. Further research on the distinct coagulation abnormalities in scrub typhus-associated DIC would be highly valuable compared to sepsis-associated DIC.</p>","PeriodicalId":9608,"journal":{"name":"Case Reports in Infectious Diseases","volume":"2025 ","pages":"1931423"},"PeriodicalIF":0.8000,"publicationDate":"2025-03-04","publicationTypes":"Journal Article","fieldsOfStudy":null,"isOpenAccess":false,"openAccessPdf":"https://www.ncbi.nlm.nih.gov/pmc/articles/PMC11986193/pdf/","citationCount":"0","resultStr":null,"platform":"Semanticscholar","paperid":null,"PeriodicalName":"Case Reports in Infectious Diseases","FirstCategoryId":"1085","ListUrlMain":"https://doi.org/10.1155/crdi/1931423","RegionNum":0,"RegionCategory":null,"ArticlePicture":[],"TitleCN":null,"AbstractTextCN":null,"PMCID":null,"EPubDate":"2025/1/1 0:00:00","PubModel":"eCollection","JCR":"Q4","JCRName":"INFECTIOUS DISEASES","Score":null,"Total":0}
引用次数: 0

Abstract

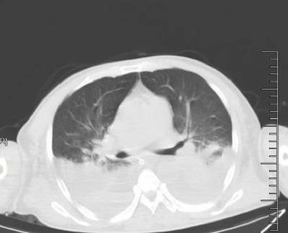
Introduction: Scrub typhus is an acute infectious disease caused by Orientia tsutsugamushi, whose pathophysiology is characterized by systemic small-vessel vasculitis. Its high misdiagnosis rate stems from its nonspecific clinical features. If not diagnosed and treated in time, patients may rapidly progress to multiorgan dysfunction syndrome (MODS) or even disseminated intravascular coagulation (DIC), posing a severe threat to life. Case Presentation: The patient was a 68-year-old male with "recurrent fever and dry cough for six days." He was admitted to the hospital with a diagnosis of scrub typhus. After admission, he developed severe acute respiratory distress syndrome (ARDS), MODS, septic shock, DIC with thrombocytopenia, hypofibrinogenemia, significant hyperfibrinolysis, and myocardial depression. The patient improved following treatment with doxycycline, moxifloxacin, renal replacement therapy, blood transfusion, antifibrinolysis, invasive mechanical ventilation, and other supportive therapies. The patient's coagulation profile in DIC caused by scrub typhus demonstrated significant hyperfibrinolysis, differing from that of garden-variety sepsis, and no similar cases were identified in a search of medical literature/databases. Conclusion: The fibrinolytic system in DIC caused by scrub typhus is excessively active, and antifibrinolytic therapy may benefit such patients. Further research on the distinct coagulation abnormalities in scrub typhus-associated DIC would be highly valuable compared to sepsis-associated DIC.

Abstract Image

Abstract Image

Abstract Image

恙虫病合并感染性休克、弥散性血管内凝血及明显的高纤溶1例报告及文献复习。
摘要恙虫病是由恙虫病东方体引起的一种急性传染病,其病理生理特征为全身性小血管炎。其高误诊率源于其非特异性临床特征。如果不及时诊断和治疗,患者可能迅速发展为多器官功能障碍综合征(MODS),甚至弥散性血管内凝血(DIC),严重威胁生命。病例介绍:患者男,68岁,“反复发热、干咳6天”。他被诊断为恙虫病而入院。入院后,患者出现严重急性呼吸窘迫综合征(ARDS)、MODS、感染性休克、DIC合并血小板减少、低纤维蛋白原血症、明显的高纤维蛋白溶解和心肌抑制。患者经强力霉素、莫西沙星、肾脏替代治疗、输血、抗纤溶、有创机械通气等支持治疗后病情好转。恙虫病引起的DIC患者的凝血特征表现为明显的高纤溶,与普通脓毒症不同,在医学文献/数据库检索中未发现类似病例。结论:恙虫病致DIC患者纤溶系统异常活跃,抗纤溶治疗可使患者受益。与脓毒症相关的DIC相比,进一步研究恙虫病相关DIC中不同的凝血异常具有很高的价值。
本文章由计算机程序翻译,如有差异,请以英文原文为准。
求助全文
约1分钟内获得全文 求助全文
来源期刊
自引率
0.00%
发文量
64
审稿时长
13 weeks
×
引用
GB/T 7714-2015
复制
MLA
复制
APA
复制
导出至
BibTeX EndNote RefMan NoteFirst NoteExpress
×
提示
您的信息不完整,为了账户安全,请先补充。
现在去补充
×
提示
您因"违规操作"
具体请查看互助需知
我知道了
×
提示
确定
请完成安全验证×
copy
已复制链接
快去分享给好友吧!
我知道了
右上角分享
点击右上角分享
0
联系我们:info@booksci.cn Book学术提供免费学术资源搜索服务,方便国内外学者检索中英文文献。致力于提供最便捷和优质的服务体验。 Copyright © 2023 布克学术 All rights reserved.
京ICP备2023020795号-1
ghs 京公网安备 11010802042870号
Book学术文献互助
Book学术文献互助群
群 号:604180095
Book学术官方微信