Characterisation of localised pigment accumulation in brains of eastern grey kangaroos (Macropus giganteus) after clinical disease due to chronic Phalaris species toxicosis.

IF 1.7 4区 农林科学 Q2 VETERINARY SCIENCES
Australian Veterinary Journal Pub Date : 2025-08-01 Epub Date: 2025-05-04 DOI:10.1111/avj.13448
C El-Hage, T Chen, L Tatarczuch, J Hufschmid, L F Skerratt, P Whiteley, N Davis, R Ploeg
{"title":"Characterisation of localised pigment accumulation in brains of eastern grey kangaroos (Macropus giganteus) after clinical disease due to chronic Phalaris species toxicosis.","authors":"C El-Hage, T Chen, L Tatarczuch, J Hufschmid, L F Skerratt, P Whiteley, N Davis, R Ploeg","doi":"10.1111/avj.13448","DOIUrl":null,"url":null,"abstract":"<p><p>A progressive tremorgenic syndrome characterised by ataxia and head nodding is well documented in sheep and cattle affected by chronic Phalaris toxicosis (CPT), and is increasingly documented in the eastern grey kangaroo {(EGK), Macropus giganteus} in southeastern Australia. It is characterised on gross necropsy by areas of acquired localised pigment deposits within the brain. This pigment was previously considered a storage disease, but more recently has been determined to be a metabolic breakdown product of tryptamine alkaloids within Phalaris species (spp) of introduced grasses. The study included 61 EGKs that were euthanased after a diagnosis of clinically advanced CPT, histopathological studies were performed on all cases and transmission electron microscopic studies on six brains. Histological examination of the brains from EGKs revealed brown pigmentation of neurons, particularly of large motor neurons, with accumulations of discrete granules in the cytoplasm that stained positive with stains used to identify melanin. This feature and the characteristic ultrastructural appearance of the pigment granules leaves little doubt that the pigment is primarily melanin in nature. Specifically, ultrastructural detail of the granules was consistent with neuromelanin present in the brains of higher order primates and humans and has been associated with susceptibility to neurodegenerative diseases in man including Parkinson's disease. Given greater urbanisation and reduced access to native pasture a greater understanding of pathogenesis of CPT is of major importance not only for kangaroo welfare but potentially as a model for neurodegenerative diseases in humans.</p>","PeriodicalId":8661,"journal":{"name":"Australian Veterinary Journal","volume":" ","pages":"494-499"},"PeriodicalIF":1.7000,"publicationDate":"2025-08-01","publicationTypes":"Journal Article","fieldsOfStudy":null,"isOpenAccess":false,"openAccessPdf":"https://www.ncbi.nlm.nih.gov/pmc/articles/PMC12331395/pdf/","citationCount":"0","resultStr":null,"platform":"Semanticscholar","paperid":null,"PeriodicalName":"Australian Veterinary Journal","FirstCategoryId":"97","ListUrlMain":"https://doi.org/10.1111/avj.13448","RegionNum":4,"RegionCategory":"农林科学","ArticlePicture":[],"TitleCN":null,"AbstractTextCN":null,"PMCID":null,"EPubDate":"2025/5/4 0:00:00","PubModel":"Epub","JCR":"Q2","JCRName":"VETERINARY SCIENCES","Score":null,"Total":0}
引用次数: 0

Abstract

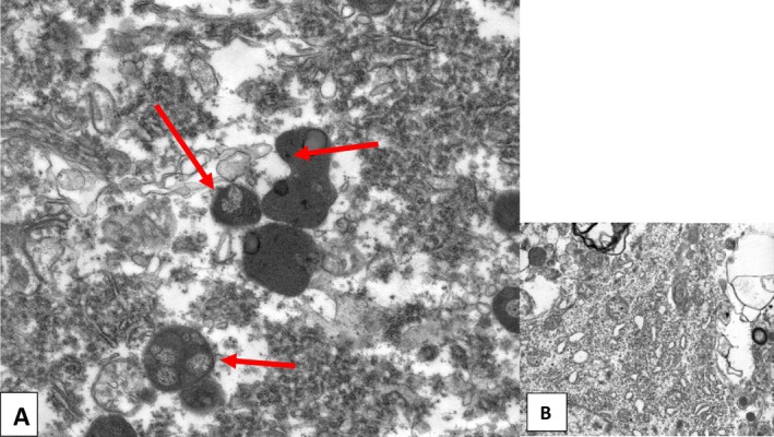
A progressive tremorgenic syndrome characterised by ataxia and head nodding is well documented in sheep and cattle affected by chronic Phalaris toxicosis (CPT), and is increasingly documented in the eastern grey kangaroo {(EGK), Macropus giganteus} in southeastern Australia. It is characterised on gross necropsy by areas of acquired localised pigment deposits within the brain. This pigment was previously considered a storage disease, but more recently has been determined to be a metabolic breakdown product of tryptamine alkaloids within Phalaris species (spp) of introduced grasses. The study included 61 EGKs that were euthanased after a diagnosis of clinically advanced CPT, histopathological studies were performed on all cases and transmission electron microscopic studies on six brains. Histological examination of the brains from EGKs revealed brown pigmentation of neurons, particularly of large motor neurons, with accumulations of discrete granules in the cytoplasm that stained positive with stains used to identify melanin. This feature and the characteristic ultrastructural appearance of the pigment granules leaves little doubt that the pigment is primarily melanin in nature. Specifically, ultrastructural detail of the granules was consistent with neuromelanin present in the brains of higher order primates and humans and has been associated with susceptibility to neurodegenerative diseases in man including Parkinson's disease. Given greater urbanisation and reduced access to native pasture a greater understanding of pathogenesis of CPT is of major importance not only for kangaroo welfare but potentially as a model for neurodegenerative diseases in humans.

Abstract Image

Abstract Image

Abstract Image

Abstract Image

Abstract Image

Abstract Image

慢性Phalaris物种中毒引起临床疾病后东部灰袋鼠(巨袋鼠)脑内局部色素积累的特征。
以共济失调和点头为特征的进行性震颤综合征在慢性Phalaris中毒(CPT)影响的羊和牛中有很好的记录,并且在澳大利亚东南部的东部灰袋鼠(EGK)中也有越来越多的记录。大体尸检表现为脑内获得性局部色素沉积。这种色素以前被认为是一种贮藏病,但最近已被确定为在引进的Phalaris物种(spp)中色胺生物碱的代谢分解产物。该研究包括61例在临床诊断为晚期CPT后安乐死的EGKs,对所有病例进行了组织病理学研究,并对6个大脑进行了透射电镜研究。脑组织EGKs的组织学检查显示神经元有棕色色素沉着,特别是大的运动神经元,细胞质中有离散颗粒的积累,用于识别黑色素的染色呈阳性。这一特征和色素颗粒特有的超微结构外观使人们毫不怀疑这种色素在自然界中主要是黑色素。具体来说,颗粒的超微结构细节与存在于高等灵长类动物和人类大脑中的神经黑色素一致,并且与人类神经退行性疾病(包括帕金森病)的易感性有关。随着城市化进程的加快和原生牧场的减少,对CPT发病机制的进一步了解不仅对袋鼠的福利很重要,而且可能作为人类神经退行性疾病的模型。
本文章由计算机程序翻译,如有差异,请以英文原文为准。
求助全文
约1分钟内获得全文 求助全文
来源期刊
Australian Veterinary Journal
Australian Veterinary Journal 农林科学-兽医学
CiteScore
2.40
自引率
0.00%
发文量
85
审稿时长
18-36 weeks
期刊介绍: Over the past 80 years, the Australian Veterinary Journal (AVJ) has been providing the veterinary profession with leading edge clinical and scientific research, case reports, reviews. news and timely coverage of industry issues. AJV is Australia''s premier veterinary science text and is distributed monthly to over 5,500 Australian Veterinary Association members and subscribers.
×
引用
GB/T 7714-2015
复制
MLA
复制
APA
复制
导出至
BibTeX EndNote RefMan NoteFirst NoteExpress
×
提示
您的信息不完整,为了账户安全,请先补充。
现在去补充
×
提示
您因"违规操作"
具体请查看互助需知
我知道了
×
提示
确定
请完成安全验证×
copy
已复制链接
快去分享给好友吧!
我知道了
右上角分享
点击右上角分享
0
联系我们:info@booksci.cn Book学术提供免费学术资源搜索服务,方便国内外学者检索中英文文献。致力于提供最便捷和优质的服务体验。 Copyright © 2023 布克学术 All rights reserved.
京ICP备2023020795号-1
ghs 京公网安备 11010802042870号
Book学术文献互助
Book学术文献互助群
群 号:604180095
Book学术官方微信