Novel Resolution of Multilayered Pigment Epithelial Detachment Lamellae Following Brolucizumab Treatment-A Case Report.

IF 0.4 Q4 OPHTHALMOLOGY
Case Reports in Ophthalmological Medicine Pub Date : 2025-03-06 eCollection Date: 2025-01-01 DOI:10.1155/crop/9953015
Unnikrishnan Nair, Indu J Nair, Jay U Sheth, Manoj Soman
{"title":"Novel Resolution of Multilayered Pigment Epithelial Detachment Lamellae Following Brolucizumab Treatment-A Case Report.","authors":"Unnikrishnan Nair, Indu J Nair, Jay U Sheth, Manoj Soman","doi":"10.1155/crop/9953015","DOIUrl":null,"url":null,"abstract":"<p><p><b>Purpose:</b> The aim of this study is to report a unique case where brolucizumab administration resolved multilayered pigment epithelial detachment (MLPED) lamellae. <b>Observations:</b> An 80-year-old gentleman with polypoidal choroidal vasculopathy developed MLPED from long-term ranibizumab treatment. Switching to brolucizumab led to visual acuity improvement after three doses and complete resolution of fluid, reduced choroidal thickness, and MLPED collapse. Notably, the patient experienced a recurrence of MLPED, which again resolved after the fourth dose of brolucizumab. <b>Conclusions and Importance:</b> This case underscores the effectiveness of brolucizumab in resolving MLPED lamellae, a previously unreported phenomenon. Furthermore, it highlights the potential for visual acuity improvement despite MLPED resolution. Brolucizumab's mechanism of action, including its potent antivascular endothelial growth factor properties and enhanced tissue penetration, may contribute to the collapse of MLPED by modulating subretinal pigment epithelial fluid dynamics. Further research into molecular pathways, cellular interactions, and safety profiles is warranted to optimize the therapeutic role of brolucizumab.</p>","PeriodicalId":9603,"journal":{"name":"Case Reports in Ophthalmological Medicine","volume":"2025 ","pages":"9953015"},"PeriodicalIF":0.4000,"publicationDate":"2025-03-06","publicationTypes":"Journal Article","fieldsOfStudy":null,"isOpenAccess":false,"openAccessPdf":"https://www.ncbi.nlm.nih.gov/pmc/articles/PMC11991755/pdf/","citationCount":"0","resultStr":null,"platform":"Semanticscholar","paperid":null,"PeriodicalName":"Case Reports in Ophthalmological Medicine","FirstCategoryId":"1085","ListUrlMain":"https://doi.org/10.1155/crop/9953015","RegionNum":0,"RegionCategory":null,"ArticlePicture":[],"TitleCN":null,"AbstractTextCN":null,"PMCID":null,"EPubDate":"2025/1/1 0:00:00","PubModel":"eCollection","JCR":"Q4","JCRName":"OPHTHALMOLOGY","Score":null,"Total":0}
引用次数: 0

Abstract

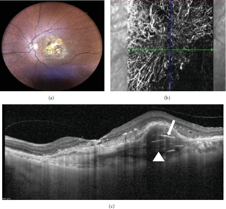
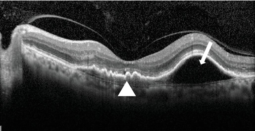
Purpose: The aim of this study is to report a unique case where brolucizumab administration resolved multilayered pigment epithelial detachment (MLPED) lamellae. Observations: An 80-year-old gentleman with polypoidal choroidal vasculopathy developed MLPED from long-term ranibizumab treatment. Switching to brolucizumab led to visual acuity improvement after three doses and complete resolution of fluid, reduced choroidal thickness, and MLPED collapse. Notably, the patient experienced a recurrence of MLPED, which again resolved after the fourth dose of brolucizumab. Conclusions and Importance: This case underscores the effectiveness of brolucizumab in resolving MLPED lamellae, a previously unreported phenomenon. Furthermore, it highlights the potential for visual acuity improvement despite MLPED resolution. Brolucizumab's mechanism of action, including its potent antivascular endothelial growth factor properties and enhanced tissue penetration, may contribute to the collapse of MLPED by modulating subretinal pigment epithelial fluid dynamics. Further research into molecular pathways, cellular interactions, and safety profiles is warranted to optimize the therapeutic role of brolucizumab.

Abstract Image

Abstract Image

Abstract Image

博卢珠单抗治疗后多层色素上皮脱离片状的新解决方案- 1例报告。
目的:本研究的目的是报告一个独特的病例,其中brolucizumab治疗多层色素上皮脱离(MLPED)片层。观察:一位患有息肉样脉络膜血管病变的80岁男士因长期接受雷尼单抗治疗而发展为MLPED。改用brolucizumab治疗后,三次剂量后视力得到改善,液体完全溶解,脉络膜厚度减少,MLPED塌陷。值得注意的是,患者经历了MLPED的复发,在第四次给药后再次消退。结论和重要性:该病例强调了brolucizumab在解决MLPED片层中的有效性,这是一种以前未报道的现象。此外,它强调了尽管MLPED分辨率,但视力改善的潜力。Brolucizumab的作用机制,包括其强大的抗血管内皮生长因子特性和增强的组织渗透,可能通过调节视网膜下色素上皮流体动力学导致MLPED的崩溃。进一步研究分子途径、细胞相互作用和安全性是优化brolucizumab治疗作用的必要条件。
本文章由计算机程序翻译,如有差异,请以英文原文为准。
求助全文
约1分钟内获得全文 求助全文
来源期刊
自引率
0.00%
发文量
38
审稿时长
14 weeks
×
引用
GB/T 7714-2015
复制
MLA
复制
APA
复制
导出至
BibTeX EndNote RefMan NoteFirst NoteExpress
×
提示
您的信息不完整,为了账户安全,请先补充。
现在去补充
×
提示
您因"违规操作"
具体请查看互助需知
我知道了
×
提示
确定
请完成安全验证×
copy
已复制链接
快去分享给好友吧!
我知道了
右上角分享
点击右上角分享
0
联系我们:info@booksci.cn Book学术提供免费学术资源搜索服务,方便国内外学者检索中英文文献。致力于提供最便捷和优质的服务体验。 Copyright © 2023 布克学术 All rights reserved.
京ICP备2023020795号-1
ghs 京公网安备 11010802042870号
Book学术文献互助
Book学术文献互助群
群 号:604180095
Book学术官方微信