Vitreopapillary Traction Causing Optic Nerve Head Elevation.

IF 0.4 Q4 OPHTHALMOLOGY
Case Reports in Ophthalmological Medicine Pub Date : 2025-04-23 eCollection Date: 2025-01-01 DOI:10.1155/crop/3136288
Mohamed M Khodeiry, Mohammad Ayoubi, Christopher A Dorizas, Carlos E Mendoza-Santiesteban, Maja Kostic
{"title":"Vitreopapillary Traction Causing Optic Nerve Head Elevation.","authors":"Mohamed M Khodeiry, Mohammad Ayoubi, Christopher A Dorizas, Carlos E Mendoza-Santiesteban, Maja Kostic","doi":"10.1155/crop/3136288","DOIUrl":null,"url":null,"abstract":"<p><p><b>Purpose:</b> The purpose of the study is to describe a case of vitreopapillary traction causing optic nerve head elevation. <b>Observations:</b> This case report describes a 64-year-old male who presented with left cloudy vision for 3 days. Dilated fundus exam showed normal right optic nerve with glial tissue nasally and left optic nerve head elevation and peripapillary hemorrhages in the left eye. Magnetic resonance imaging of the brain and orbits, erythrocyte sedimentation rate, and C-reactive protein were normal. Optical coherence tomography showed bilateral dense vitreous adhesions to the optic disc nasally causing traction and optic nerve head elevation of the left eye. The patient was diagnosed with vitreopapillary traction causing optic nerve head elevation, and observation was recommended. <b>Conclusions and Importance:</b> This case highlights the importance of clinical examination and ancillary testing in differentiating etiologies of optic disc elevation.</p>","PeriodicalId":9603,"journal":{"name":"Case Reports in Ophthalmological Medicine","volume":"2025 ","pages":"3136288"},"PeriodicalIF":0.4000,"publicationDate":"2025-04-23","publicationTypes":"Journal Article","fieldsOfStudy":null,"isOpenAccess":false,"openAccessPdf":"https://www.ncbi.nlm.nih.gov/pmc/articles/PMC12043439/pdf/","citationCount":"0","resultStr":null,"platform":"Semanticscholar","paperid":null,"PeriodicalName":"Case Reports in Ophthalmological Medicine","FirstCategoryId":"1085","ListUrlMain":"https://doi.org/10.1155/crop/3136288","RegionNum":0,"RegionCategory":null,"ArticlePicture":[],"TitleCN":null,"AbstractTextCN":null,"PMCID":null,"EPubDate":"2025/1/1 0:00:00","PubModel":"eCollection","JCR":"Q4","JCRName":"OPHTHALMOLOGY","Score":null,"Total":0}
引用次数: 0

Abstract

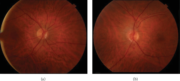
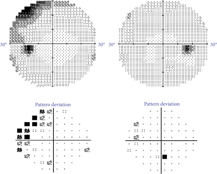
Purpose: The purpose of the study is to describe a case of vitreopapillary traction causing optic nerve head elevation. Observations: This case report describes a 64-year-old male who presented with left cloudy vision for 3 days. Dilated fundus exam showed normal right optic nerve with glial tissue nasally and left optic nerve head elevation and peripapillary hemorrhages in the left eye. Magnetic resonance imaging of the brain and orbits, erythrocyte sedimentation rate, and C-reactive protein were normal. Optical coherence tomography showed bilateral dense vitreous adhesions to the optic disc nasally causing traction and optic nerve head elevation of the left eye. The patient was diagnosed with vitreopapillary traction causing optic nerve head elevation, and observation was recommended. Conclusions and Importance: This case highlights the importance of clinical examination and ancillary testing in differentiating etiologies of optic disc elevation.

Abstract Image

Abstract Image

Abstract Image

玻璃体乳头牵引引起视神经头抬高。
目的:报告一例玻璃体乳头牵引引起视神经头抬高的病例。观察:本病例报告描述了一名64岁男性,出现左侧浑浊视力3天。眼底扩张检查显示右侧视神经正常,鼻部有神经胶质组织,左侧视神经头升高,左眼乳头周围出血。脑、眼眶磁共振成像、红细胞沉降率、c反应蛋白正常。光学相干断层扫描显示双侧密集的玻璃体粘连到视盘,引起左眼牵拉和视神经头升高。诊断为玻璃体乳头牵引引起视神经头抬高,建议观察。结论和重要性:本病例强调临床检查和辅助检查在鉴别视盘抬高病因中的重要性。
本文章由计算机程序翻译,如有差异,请以英文原文为准。
求助全文
约1分钟内获得全文 求助全文
来源期刊
自引率
0.00%
发文量
38
审稿时长
14 weeks
×
引用
GB/T 7714-2015
复制
MLA
复制
APA
复制
导出至
BibTeX EndNote RefMan NoteFirst NoteExpress
×
提示
您的信息不完整,为了账户安全,请先补充。
现在去补充
×
提示
您因"违规操作"
具体请查看互助需知
我知道了
×
提示
确定
请完成安全验证×
copy
已复制链接
快去分享给好友吧!
我知道了
右上角分享
点击右上角分享
0
联系我们:info@booksci.cn Book学术提供免费学术资源搜索服务,方便国内外学者检索中英文文献。致力于提供最便捷和优质的服务体验。 Copyright © 2023 布克学术 All rights reserved.
京ICP备2023020795号-1
ghs 京公网安备 11010802042870号
Book学术文献互助
Book学术文献互助群
群 号:604180095
Book学术官方微信