Overwork and changes in brain structure: a pilot study.

IF 3.1 2区 医学 Q1 PUBLIC, ENVIRONMENTAL & OCCUPATIONAL HEALTH
Wonpil Jang, Sungmin Kim, YouJin Kim, Seunghyun Lee, Joon Yul Choi, Wanhyung Lee
{"title":"Overwork and changes in brain structure: a pilot study.","authors":"Wonpil Jang, Sungmin Kim, YouJin Kim, Seunghyun Lee, Joon Yul Choi, Wanhyung Lee","doi":"10.1136/oemed-2025-110057","DOIUrl":null,"url":null,"abstract":"<p><strong>Objectives: </strong>To investigate the effects of overwork on brain structure to better understand its impact on workers' cognitive and emotional health. The goal was to provide evidence for the potential neurological risks associated with prolonged working hours.</p><p><strong>Methods: </strong>A total of 110 healthcare workers were classified into overworked (≥52 hours/week; n=32) and non-overworked groups (n=78). Brain volume differences were assessed using voxel-based morphometry (VBM) and atlas-based analysis. General linear models adjusted for age, sex and total intracranial volume were applied, and correlation analyses explored relationships between weekly working hours and brain volume in regions with significant differences.</p><p><strong>Results: </strong>Overworked individuals exhibited significant changes in brain regions associated with executive function and emotional regulation. Atlas-based analysis revealed a 19% increase in left caudal middle frontal gyrus volume in the overworked group compared with the non-overworked group (p=0.006). VBM showed peak increases in 17 regions, including the middle frontal gyrus, insula and superior temporal gyrus (p<0.05). Correlation analyses indicated a positive association between weekly working hours and brain volume changes in the middle frontal gyrus and insula.</p><p><strong>Conclusions: </strong>This study provides preliminary evidence that overwork is associated with structural brain changes, particularly in regions linked to cognition and emotion. These findings provide novel neurobiological evidence linking prolonged working hours to structural brain changes, emphasising the need for further research to understand the long-term cognitive and emotional implications of overwork.</p>","PeriodicalId":19459,"journal":{"name":"Occupational and Environmental Medicine","volume":" ","pages":"105-111"},"PeriodicalIF":3.1000,"publicationDate":"2025-05-18","publicationTypes":"Journal Article","fieldsOfStudy":null,"isOpenAccess":false,"openAccessPdf":"https://www.ncbi.nlm.nih.gov/pmc/articles/PMC12171488/pdf/","citationCount":"0","resultStr":null,"platform":"Semanticscholar","paperid":null,"PeriodicalName":"Occupational and Environmental Medicine","FirstCategoryId":"3","ListUrlMain":"https://doi.org/10.1136/oemed-2025-110057","RegionNum":2,"RegionCategory":"医学","ArticlePicture":[],"TitleCN":null,"AbstractTextCN":null,"PMCID":null,"EPubDate":"","PubModel":"","JCR":"Q1","JCRName":"PUBLIC, ENVIRONMENTAL & OCCUPATIONAL HEALTH","Score":null,"Total":0}
引用次数: 0

Abstract

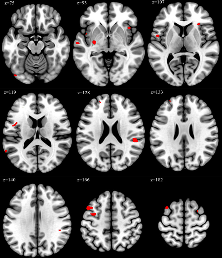
Objectives: To investigate the effects of overwork on brain structure to better understand its impact on workers' cognitive and emotional health. The goal was to provide evidence for the potential neurological risks associated with prolonged working hours.

Methods: A total of 110 healthcare workers were classified into overworked (≥52 hours/week; n=32) and non-overworked groups (n=78). Brain volume differences were assessed using voxel-based morphometry (VBM) and atlas-based analysis. General linear models adjusted for age, sex and total intracranial volume were applied, and correlation analyses explored relationships between weekly working hours and brain volume in regions with significant differences.

Results: Overworked individuals exhibited significant changes in brain regions associated with executive function and emotional regulation. Atlas-based analysis revealed a 19% increase in left caudal middle frontal gyrus volume in the overworked group compared with the non-overworked group (p=0.006). VBM showed peak increases in 17 regions, including the middle frontal gyrus, insula and superior temporal gyrus (p<0.05). Correlation analyses indicated a positive association between weekly working hours and brain volume changes in the middle frontal gyrus and insula.

Conclusions: This study provides preliminary evidence that overwork is associated with structural brain changes, particularly in regions linked to cognition and emotion. These findings provide novel neurobiological evidence linking prolonged working hours to structural brain changes, emphasising the need for further research to understand the long-term cognitive and emotional implications of overwork.

Abstract Image

Abstract Image

过度工作和大脑结构的变化:一项初步研究。
目的:研究过度工作对大脑结构的影响,以更好地了解过度工作对工人认知和情绪健康的影响。目的是为长时间工作带来的潜在神经风险提供证据。方法:将110名医护人员归类为过度工作(≥52小时/周;N =32)和非过度劳累组(N =78)。采用基于体素的形态测量(VBM)和基于图谱的分析评估脑容量差异。采用调整了年龄、性别和总颅内容量的一般线性模型,并通过相关分析探讨了差异显著地区每周工作时间与脑容量之间的关系。结果:过度劳累的个体表现出与执行功能和情绪调节相关的大脑区域的显著变化。基于atlas的分析显示,与非过度劳累组相比,过度劳累组左尾侧额中回体积增加19% (p=0.006)。VBM在17个区域显示出峰值增加,包括额叶中回、脑岛和颞上回。结论:这项研究提供了初步证据,证明过度工作与大脑结构变化有关,特别是与认知和情感相关的区域。这些发现提供了新的神经生物学证据,证明长时间工作与大脑结构变化有关,强调需要进一步研究,以了解过度工作对认知和情感的长期影响。
本文章由计算机程序翻译,如有差异,请以英文原文为准。
求助全文
约1分钟内获得全文 求助全文
来源期刊
Occupational and Environmental Medicine
Occupational and Environmental Medicine 医学-公共卫生、环境卫生与职业卫生
CiteScore
8.30
自引率
2.00%
发文量
98
审稿时长
2 months
期刊介绍: Occupational and Environmental Medicine is an international peer reviewed journal covering current developments in occupational and environmental health worldwide. Occupational and Environmental Medicine publishes high-quality research relating to the full range of chemical, physical, ergonomic, biological and psychosocial hazards in the workplace and to environmental contaminants and their health effects. The journal welcomes research aimed at improving the evidence-based practice of occupational and environmental research; including the development and application of novel biological and statistical techniques in addition to evaluation of interventions in controlling occupational and environmental risks.
×
引用
GB/T 7714-2015
复制
MLA
复制
APA
复制
导出至
BibTeX EndNote RefMan NoteFirst NoteExpress
×
提示
您的信息不完整,为了账户安全,请先补充。
现在去补充
×
提示
您因"违规操作"
具体请查看互助需知
我知道了
×
提示
确定
请完成安全验证×
copy
已复制链接
快去分享给好友吧!
我知道了
右上角分享
点击右上角分享
0
联系我们:info@booksci.cn Book学术提供免费学术资源搜索服务,方便国内外学者检索中英文文献。致力于提供最便捷和优质的服务体验。 Copyright © 2023 布克学术 All rights reserved.
京ICP备2023020795号-1
ghs 京公网安备 11010802042870号
Book学术文献互助
Book学术文献互助群
群 号:604180095
Book学术官方微信