Treatment of aortic arch and left subclavian artery aneurysms in two stages using combined surgical approaches: case report.

IF 1 Q4 PERIPHERAL VASCULAR DISEASE
Jornal Vascular Brasileiro Pub Date : 2025-04-07 eCollection Date: 2025-01-01 DOI:10.1590/1677-5449.202401272
Josué Song Der Wu, Lucas Porto Maurity Dias, Giuliano Giová Volpiani, Valter Castelli, Vanessa Prado Dos Santos, Luiz Eduardo Meucci Pereira Nogueira, Walkíria Hueb Bernardi, Roberto Augusto Caffaro
{"title":"Treatment of aortic arch and left subclavian artery aneurysms in two stages using combined surgical approaches: case report.","authors":"Josué Song Der Wu, Lucas Porto Maurity Dias, Giuliano Giová Volpiani, Valter Castelli, Vanessa Prado Dos Santos, Luiz Eduardo Meucci Pereira Nogueira, Walkíria Hueb Bernardi, Roberto Augusto Caffaro","doi":"10.1590/1677-5449.202401272","DOIUrl":null,"url":null,"abstract":"<p><p>Aortic arch aneurysms are often asymptomatic, being diagnosed incidentally in tests such as computed tomography, magnetic resonance imaging, or echocardiogram. Conventional treatment involves thoracotomy surgery, although treatment can also be performed using endovascular techniques. This article presents a case report of a complex aneurysm of the aortic arch with involvement of the left subclavian artery. Treatment was initiated with debranching of the supra-aortic trunks by carotid-carotid and carotid-subclavian bypasses, followed by ligation of the common carotid and left subclavian arteries. A second procedure was then needed to construct a surgical vascular conduit using a Dacron graft to obtain access to the aortic arch for the stent graft delivery device, due to the narrow caliber of the external femoral and iliac arteries. This report illustrates a satisfactory outcome in a case of aortic arch aneurysm with complex anatomy.</p>","PeriodicalId":14814,"journal":{"name":"Jornal Vascular Brasileiro","volume":"24 ","pages":"e20240127"},"PeriodicalIF":1.0000,"publicationDate":"2025-04-07","publicationTypes":"Journal Article","fieldsOfStudy":null,"isOpenAccess":false,"openAccessPdf":"https://www.ncbi.nlm.nih.gov/pmc/articles/PMC11991671/pdf/","citationCount":"0","resultStr":null,"platform":"Semanticscholar","paperid":null,"PeriodicalName":"Jornal Vascular Brasileiro","FirstCategoryId":"1085","ListUrlMain":"https://doi.org/10.1590/1677-5449.202401272","RegionNum":0,"RegionCategory":null,"ArticlePicture":[],"TitleCN":null,"AbstractTextCN":null,"PMCID":null,"EPubDate":"2025/1/1 0:00:00","PubModel":"eCollection","JCR":"Q4","JCRName":"PERIPHERAL VASCULAR DISEASE","Score":null,"Total":0}
引用次数: 0

Abstract

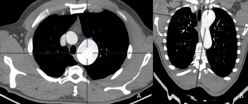
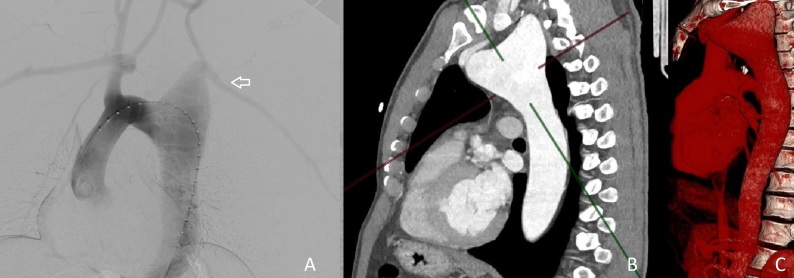
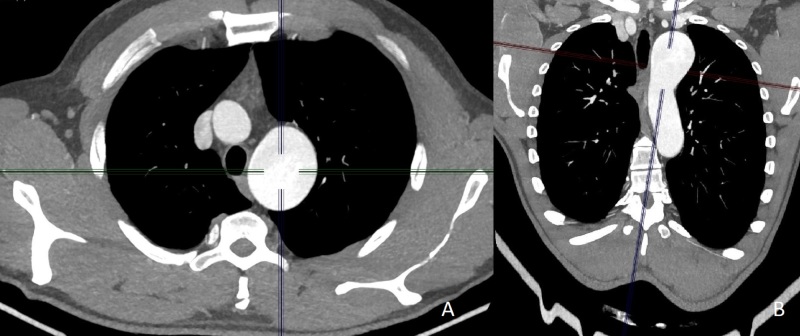
Aortic arch aneurysms are often asymptomatic, being diagnosed incidentally in tests such as computed tomography, magnetic resonance imaging, or echocardiogram. Conventional treatment involves thoracotomy surgery, although treatment can also be performed using endovascular techniques. This article presents a case report of a complex aneurysm of the aortic arch with involvement of the left subclavian artery. Treatment was initiated with debranching of the supra-aortic trunks by carotid-carotid and carotid-subclavian bypasses, followed by ligation of the common carotid and left subclavian arteries. A second procedure was then needed to construct a surgical vascular conduit using a Dacron graft to obtain access to the aortic arch for the stent graft delivery device, due to the narrow caliber of the external femoral and iliac arteries. This report illustrates a satisfactory outcome in a case of aortic arch aneurysm with complex anatomy.

Abstract Image

Abstract Image

Abstract Image

联合手术治疗主动脉弓及左锁骨下动脉瘤分两期1例。
主动脉弓动脉瘤通常是无症状的,在计算机断层扫描、磁共振成像或超声心动图等检查中偶然诊断出来。传统的治疗包括开胸手术,尽管也可以使用血管内技术进行治疗。本文报告一例复杂的主动脉弓动脉瘤累及左锁骨下动脉。治疗开始时通过颈动脉-颈动脉和颈动脉-锁骨下旁路切断主动脉上干的分支,然后结扎颈总动脉和左锁骨下动脉。由于股外动脉和髂外动脉口径狭窄,需要进行第二次手术,使用涤纶移植物构建外科血管导管,以进入主动脉弓,用于支架植入装置。本文报告一例解剖结构复杂的主动脉弓动脉瘤的治疗结果令人满意。
本文章由计算机程序翻译,如有差异,请以英文原文为准。
求助全文
约1分钟内获得全文 求助全文
来源期刊
Jornal Vascular Brasileiro
Jornal Vascular Brasileiro Medicine-Cardiology and Cardiovascular Medicine
CiteScore
1.20
自引率
0.00%
发文量
57
审稿时长
20 weeks
期刊介绍: The Jornal Vascular Brasileiro is editated and published quaterly to select and disseminate high-quality scientific contents concerning original research, novel surgical and diagnostic techniques, and clinical observations in the field of vascular surgery, angiology, and endovascular surgery. Its abbreviated title is J. Vasc. Bras., which should be used in bibliographies, footnotes and bibliographical references and strips.
×
引用
GB/T 7714-2015
复制
MLA
复制
APA
复制
导出至
BibTeX EndNote RefMan NoteFirst NoteExpress
×
提示
您的信息不完整,为了账户安全,请先补充。
现在去补充
×
提示
您因"违规操作"
具体请查看互助需知
我知道了
×
提示
确定
请完成安全验证×
copy
已复制链接
快去分享给好友吧!
我知道了
右上角分享
点击右上角分享
0
联系我们:info@booksci.cn Book学术提供免费学术资源搜索服务,方便国内外学者检索中英文文献。致力于提供最便捷和优质的服务体验。 Copyright © 2023 布克学术 All rights reserved.
京ICP备2023020795号-1
ghs 京公网安备 11010802042870号
Book学术文献互助
Book学术文献互助群
群 号:604180095
Book学术官方微信