Retroperitoneal mucinous cystadenoma with neuroendocrine differentiation: a rare case and comprehensive approach to diagnosis and management.

IF 2.3 3区 医学 Q2 PATHOLOGY
Yen Ho, Wei-Yu Chen, Chung-Howe Lai, Syuan-Hao Syu
{"title":"Retroperitoneal mucinous cystadenoma with neuroendocrine differentiation: a rare case and comprehensive approach to diagnosis and management.","authors":"Yen Ho, Wei-Yu Chen, Chung-Howe Lai, Syuan-Hao Syu","doi":"10.1186/s13000-025-01658-7","DOIUrl":null,"url":null,"abstract":"<p><strong>Background: </strong>Retroperitoneal mucinous cystadenomas are exceptionally rare neoplasms, with limited cases reported in the literature. The occurrence of neuroendocrine differentiation in such tumors is even more uncommon, posing unique diagnostic and management challenges.</p><p><strong>Case presentation: </strong>We report a case of a 32-year-old woman who was incidentally diagnosed with a right retroperitoneal cyst during routine prenatal ultrasonography. The patient remained asymptomatic until postpartum, prompting further evaluation of the cyst. Imaging studies identified a large cystic mass, ultimately leading to diagnostic laparoscopy and surgical excision. Histopathological analysis confirmed the diagnosis of a mucinous cystadenoma with neuroendocrine cell proliferation.</p><p><strong>Discussion: </strong>This case highlights the complexity of diagnosing and managing retroperitoneal mucinous cystadenomas, particularly those with neuroendocrine features. Given the rarity of these tumors, thorough histopathological examination is crucial to differentiate them from other cystic lesions. Surgical excision remains the definitive treatment, with long-term follow-up essential to ensure complete resolution and monitor for recurrence or malignant transformation.</p><p><strong>Conclusion: </strong>Retroperitoneal mucinous cystadenomas with neuroendocrine differentiation represent a rare clinical entity requiring careful evaluation. This report underscores the importance of considering neuroendocrine differentiation in retroperitoneal cystic lesions and emphasizes the role of complete surgical excision followed by close monitoring to ensure favorable outcomes.</p>","PeriodicalId":11237,"journal":{"name":"Diagnostic Pathology","volume":"20 1","pages":"58"},"PeriodicalIF":2.3000,"publicationDate":"2025-05-03","publicationTypes":"Journal Article","fieldsOfStudy":null,"isOpenAccess":false,"openAccessPdf":"https://www.ncbi.nlm.nih.gov/pmc/articles/PMC12049035/pdf/","citationCount":"0","resultStr":null,"platform":"Semanticscholar","paperid":null,"PeriodicalName":"Diagnostic Pathology","FirstCategoryId":"3","ListUrlMain":"https://doi.org/10.1186/s13000-025-01658-7","RegionNum":3,"RegionCategory":"医学","ArticlePicture":[],"TitleCN":null,"AbstractTextCN":null,"PMCID":null,"EPubDate":"","PubModel":"","JCR":"Q2","JCRName":"PATHOLOGY","Score":null,"Total":0}
引用次数: 0

Abstract

Background: Retroperitoneal mucinous cystadenomas are exceptionally rare neoplasms, with limited cases reported in the literature. The occurrence of neuroendocrine differentiation in such tumors is even more uncommon, posing unique diagnostic and management challenges.

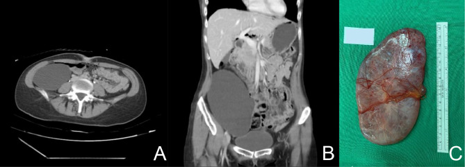
Case presentation: We report a case of a 32-year-old woman who was incidentally diagnosed with a right retroperitoneal cyst during routine prenatal ultrasonography. The patient remained asymptomatic until postpartum, prompting further evaluation of the cyst. Imaging studies identified a large cystic mass, ultimately leading to diagnostic laparoscopy and surgical excision. Histopathological analysis confirmed the diagnosis of a mucinous cystadenoma with neuroendocrine cell proliferation.

Discussion: This case highlights the complexity of diagnosing and managing retroperitoneal mucinous cystadenomas, particularly those with neuroendocrine features. Given the rarity of these tumors, thorough histopathological examination is crucial to differentiate them from other cystic lesions. Surgical excision remains the definitive treatment, with long-term follow-up essential to ensure complete resolution and monitor for recurrence or malignant transformation.

Conclusion: Retroperitoneal mucinous cystadenomas with neuroendocrine differentiation represent a rare clinical entity requiring careful evaluation. This report underscores the importance of considering neuroendocrine differentiation in retroperitoneal cystic lesions and emphasizes the role of complete surgical excision followed by close monitoring to ensure favorable outcomes.

Abstract Image

Abstract Image

腹膜后黏液囊腺瘤伴神经内分泌分化:一例罕见病例及综合诊断与治疗方法。
背景:腹膜后粘液囊腺瘤是非常罕见的肿瘤,文献报道的病例有限。神经内分泌分化在此类肿瘤中的发生更为罕见,这给诊断和治疗带来了独特的挑战。病例介绍:我们报告一个32岁的妇女谁是偶然诊断为右腹膜后囊肿在常规产前超声检查。直到产后,患者仍无症状,促使进一步评估囊肿。影像学检查发现了一个巨大的囊性肿块,最终导致诊断性腹腔镜检查和手术切除。组织病理学分析证实诊断为粘液囊腺瘤伴神经内分泌细胞增生。讨论:这个病例强调了诊断和治疗腹膜后粘液囊腺瘤的复杂性,特别是那些具有神经内分泌特征的。鉴于这些肿瘤的罕见性,彻底的组织病理学检查是至关重要的,以区分他们与其他囊性病变。手术切除仍然是最终的治疗方法,长期随访是必要的,以确保完全解决和监测复发或恶性转化。结论:腹膜后黏液囊腺瘤伴神经内分泌分化是一种罕见的临床病例,需要仔细评估。本报告强调了在腹膜后囊性病变中考虑神经内分泌分化的重要性,并强调了完全手术切除和密切监测的作用,以确保良好的结果。
本文章由计算机程序翻译,如有差异,请以英文原文为准。
求助全文
约1分钟内获得全文 求助全文
来源期刊
Diagnostic Pathology
Diagnostic Pathology 医学-病理学
CiteScore
4.60
自引率
0.00%
发文量
93
审稿时长
1 months
期刊介绍: Diagnostic Pathology is an open access, peer-reviewed, online journal that considers research in surgical and clinical pathology, immunology, and biology, with a special focus on cutting-edge approaches in diagnostic pathology and tissue-based therapy. The journal covers all aspects of surgical pathology, including classic diagnostic pathology, prognosis-related diagnosis (tumor stages, prognosis markers, such as MIB-percentage, hormone receptors, etc.), and therapy-related findings. The journal also focuses on the technological aspects of pathology, including molecular biology techniques, morphometry aspects (stereology, DNA analysis, syntactic structure analysis), communication aspects (telecommunication, virtual microscopy, virtual pathology institutions, etc.), and electronic education and quality assurance (for example interactive publication, on-line references with automated updating, etc.).
×
引用
GB/T 7714-2015
复制
MLA
复制
APA
复制
导出至
BibTeX EndNote RefMan NoteFirst NoteExpress
×
提示
您的信息不完整,为了账户安全,请先补充。
现在去补充
×
提示
您因"违规操作"
具体请查看互助需知
我知道了
×
提示
确定
请完成安全验证×
copy
已复制链接
快去分享给好友吧!
我知道了
右上角分享
点击右上角分享
0
联系我们:info@booksci.cn Book学术提供免费学术资源搜索服务,方便国内外学者检索中英文文献。致力于提供最便捷和优质的服务体验。 Copyright © 2023 布克学术 All rights reserved.
京ICP备2023020795号-1
ghs 京公网安备 11010802042870号
Book学术文献互助
Book学术文献互助群
群 号:604180095
Book学术官方微信