A Rare Case of Primary Cutaneous CD4+ Small/Medium Size T-Cell Lymphoproliferative Disorder Responding to Rituximab.

IF 0.8 Q4 DERMATOLOGY
Case Reports in Dermatology Pub Date : 2025-04-17 eCollection Date: 2025-01-01 DOI:10.1159/000545747
Saman Al-Zahawi, Sara Masoomi, Alireza Ghanadan, Yasaman Sadeghi, Maryam Daneshpazhooh, Hamidreza Mahmoudi
{"title":"A Rare Case of Primary Cutaneous CD4+ Small/Medium Size T-Cell Lymphoproliferative Disorder Responding to Rituximab.","authors":"Saman Al-Zahawi, Sara Masoomi, Alireza Ghanadan, Yasaman Sadeghi, Maryam Daneshpazhooh, Hamidreza Mahmoudi","doi":"10.1159/000545747","DOIUrl":null,"url":null,"abstract":"<p><strong>Introduction: </strong>Primary cutaneous CD4+ small/medium T-cell lymphoproliferative disorder is a rare lymphoproliferative disorder (PCS-TCLPD) characterized by a solitary erythematous plaque or nodule on the face, neck, or upper trunk with a favorable outcome. Very rarely, multiple plaques or masses may be seen in which precise evaluation should be performed to exclude other primary cutaneous lymphoma.</p><p><strong>Case presentation: </strong>Here we report a rare case of recalcitrant primary cutaneous small-/medium-sized CD4+ lymphoproliferative disorder in a 55-year-old male patient who responded well to rituximab injection but had recurrence after 1 year from the injections.</p><p><strong>Conclusion: </strong>Aggressive treatment is avoided in solitary lesions of PCS-TCLPD, but multiple lesions with no response to the conventional modalities may need more sophisticated management, including anti-CD20 rituximab.</p>","PeriodicalId":9619,"journal":{"name":"Case Reports in Dermatology","volume":"17 1","pages":"150-156"},"PeriodicalIF":0.8000,"publicationDate":"2025-04-17","publicationTypes":"Journal Article","fieldsOfStudy":null,"isOpenAccess":false,"openAccessPdf":"https://www.ncbi.nlm.nih.gov/pmc/articles/PMC12064157/pdf/","citationCount":"0","resultStr":null,"platform":"Semanticscholar","paperid":null,"PeriodicalName":"Case Reports in Dermatology","FirstCategoryId":"1085","ListUrlMain":"https://doi.org/10.1159/000545747","RegionNum":0,"RegionCategory":null,"ArticlePicture":[],"TitleCN":null,"AbstractTextCN":null,"PMCID":null,"EPubDate":"2025/1/1 0:00:00","PubModel":"eCollection","JCR":"Q4","JCRName":"DERMATOLOGY","Score":null,"Total":0}
引用次数: 0

Abstract

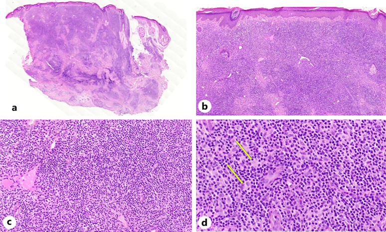
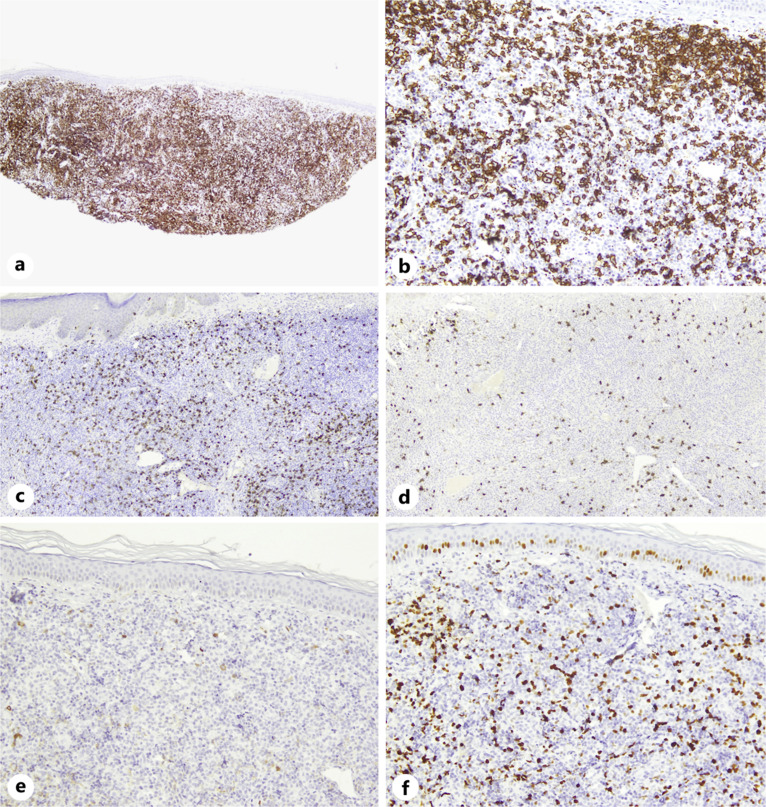
Introduction: Primary cutaneous CD4+ small/medium T-cell lymphoproliferative disorder is a rare lymphoproliferative disorder (PCS-TCLPD) characterized by a solitary erythematous plaque or nodule on the face, neck, or upper trunk with a favorable outcome. Very rarely, multiple plaques or masses may be seen in which precise evaluation should be performed to exclude other primary cutaneous lymphoma.

Case presentation: Here we report a rare case of recalcitrant primary cutaneous small-/medium-sized CD4+ lymphoproliferative disorder in a 55-year-old male patient who responded well to rituximab injection but had recurrence after 1 year from the injections.

Conclusion: Aggressive treatment is avoided in solitary lesions of PCS-TCLPD, but multiple lesions with no response to the conventional modalities may need more sophisticated management, including anti-CD20 rituximab.

Abstract Image

Abstract Image

Abstract Image

一例罕见的原发性皮肤CD4+小/中型t细胞增生性疾病对利妥昔单抗有反应。
原发性皮肤CD4+小/中型t细胞淋巴细胞增生性疾病是一种罕见的淋巴细胞增生性疾病(PCS-TCLPD),其特征是在面部、颈部或上肢出现孤立的红斑斑块或结节,预后良好。在极少数情况下,可发现多发斑块或肿块,应进行精确评估以排除其他原发性皮肤淋巴瘤。病例介绍:我们在此报告一例罕见的顽固性原发性皮肤小/中型CD4+淋巴细胞增生性疾病,患者为55岁男性,注射利妥昔单抗后反应良好,但注射1年后复发。结论:单独病灶的PCS-TCLPD可避免积极治疗,但多发病灶对常规治疗无效时,可能需要更复杂的治疗,包括抗cd20利妥昔单抗。
本文章由计算机程序翻译,如有差异,请以英文原文为准。
求助全文
约1分钟内获得全文 求助全文
来源期刊
CiteScore
1.60
自引率
0.00%
发文量
57
审稿时长
9 weeks
×
引用
GB/T 7714-2015
复制
MLA
复制
APA
复制
导出至
BibTeX EndNote RefMan NoteFirst NoteExpress
×
提示
您的信息不完整,为了账户安全,请先补充。
现在去补充
×
提示
您因"违规操作"
具体请查看互助需知
我知道了
×
提示
确定
请完成安全验证×
copy
已复制链接
快去分享给好友吧!
我知道了
右上角分享
点击右上角分享
0
联系我们:info@booksci.cn Book学术提供免费学术资源搜索服务,方便国内外学者检索中英文文献。致力于提供最便捷和优质的服务体验。 Copyright © 2023 布克学术 All rights reserved.
京ICP备2023020795号-1
ghs 京公网安备 11010802042870号
Book学术文献互助
Book学术文献互助群
群 号:604180095
Book学术官方微信