Chronic Liver Disease Primarily Presenting with Motor Weakness by Intractable Hypokalemia with Combined Respiratory Alkalosis and Chronic Diarrhea: A Case Report.

IF 0.6 Q4 GASTROENTEROLOGY & HEPATOLOGY
Case Reports in Gastroenterology Pub Date : 2025-03-17 eCollection Date: 2025-01-01 DOI:10.1159/000544099
Nam-Seon Beck, Yeon-Oh Jeong, Kyung-Hee Lee, Eun-Mi Jun, Joung-Il Im, Sae-Yong Hong
{"title":"Chronic Liver Disease Primarily Presenting with Motor Weakness by Intractable Hypokalemia with Combined Respiratory Alkalosis and Chronic Diarrhea: A Case Report.","authors":"Nam-Seon Beck, Yeon-Oh Jeong, Kyung-Hee Lee, Eun-Mi Jun, Joung-Il Im, Sae-Yong Hong","doi":"10.1159/000544099","DOIUrl":null,"url":null,"abstract":"<p><strong>Introduction: </strong>Most patients with compensated cirrhosis remain asymptomatic. However, with the onset of decompensation, electrolyte and acid-base disturbances are frequent in patients with chronic liver disease, including hypokalemia. We encountered a case of chronic liver disease with portal hypertension, primarily presenting with motor weakness caused by intractable hypokalemia, hypoxia-associated respiratory alkalosis, and chronic diarrhea.</p><p><strong>Case presentation: </strong>A 54-year-old male presented to the emergency department with motor weakness. He reported experiencing exertional dyspnea and watery diarrhea for the past 3 months, approximately ten times daily. Arterial blood gas analysis indicated hypoxia and hypocapnia compatible with chronic respiratory alkalosis. The transtubular potassium gradient was 1.69, and the aldosterone/renin ratio was 17.6 (ng/dL)/(ng/mL/h). The patient had a 30-year history of consuming 360-720 mL of 20% alcohol almost daily. Abdominal computed tomography revealed multiple regenerative and dysplastic nodules in the liver, splenomegaly, ascites, esophageal varices, and diffuse edematous wall thickening in the bowel, suggesting portal hypertensive enteropathy. Computed tomography of the lungs showed no specific abnormalities in the lungs, pleura, or thoracic wall.</p><p><strong>Conclusion: </strong>We present a case of liver cirrhosis complicated by intractable hypokalemia, respiratory alkalosis, portal hypertension, and chronic diarrhea. A 24-h urine analysis showed renal excretion levels of Na<sup>+</sup>, K<sup>+</sup>, and Cl<sup>-</sup> at 6.0, 2.5, and 11.0 mmol, respectively, suggesting renal retention of these electrolytes. Meanwhile, the serum levels of Na<sup>+</sup>, K<sup>+</sup>, and Cl<sup>-</sup> were 136, 1.8, and 98 mEq/L, respectively, indicating a preserved balance of sodium and chloride but not potassium. This case underscores the importance of clinicians considering both liver cirrhosis-associated hypoxia and chronic liver disease-induced chronic diarrhea as potential underlying causes, especially when more common causes of hypokalemia have been excluded.</p>","PeriodicalId":9614,"journal":{"name":"Case Reports in Gastroenterology","volume":"19 1","pages":"165-172"},"PeriodicalIF":0.6000,"publicationDate":"2025-03-17","publicationTypes":"Journal Article","fieldsOfStudy":null,"isOpenAccess":false,"openAccessPdf":"https://www.ncbi.nlm.nih.gov/pmc/articles/PMC11913463/pdf/","citationCount":"0","resultStr":null,"platform":"Semanticscholar","paperid":null,"PeriodicalName":"Case Reports in Gastroenterology","FirstCategoryId":"1085","ListUrlMain":"https://doi.org/10.1159/000544099","RegionNum":0,"RegionCategory":null,"ArticlePicture":[],"TitleCN":null,"AbstractTextCN":null,"PMCID":null,"EPubDate":"2025/1/1 0:00:00","PubModel":"eCollection","JCR":"Q4","JCRName":"GASTROENTEROLOGY & HEPATOLOGY","Score":null,"Total":0}
引用次数: 0

Abstract

Introduction: Most patients with compensated cirrhosis remain asymptomatic. However, with the onset of decompensation, electrolyte and acid-base disturbances are frequent in patients with chronic liver disease, including hypokalemia. We encountered a case of chronic liver disease with portal hypertension, primarily presenting with motor weakness caused by intractable hypokalemia, hypoxia-associated respiratory alkalosis, and chronic diarrhea.

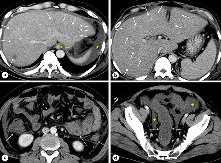
Case presentation: A 54-year-old male presented to the emergency department with motor weakness. He reported experiencing exertional dyspnea and watery diarrhea for the past 3 months, approximately ten times daily. Arterial blood gas analysis indicated hypoxia and hypocapnia compatible with chronic respiratory alkalosis. The transtubular potassium gradient was 1.69, and the aldosterone/renin ratio was 17.6 (ng/dL)/(ng/mL/h). The patient had a 30-year history of consuming 360-720 mL of 20% alcohol almost daily. Abdominal computed tomography revealed multiple regenerative and dysplastic nodules in the liver, splenomegaly, ascites, esophageal varices, and diffuse edematous wall thickening in the bowel, suggesting portal hypertensive enteropathy. Computed tomography of the lungs showed no specific abnormalities in the lungs, pleura, or thoracic wall.

Conclusion: We present a case of liver cirrhosis complicated by intractable hypokalemia, respiratory alkalosis, portal hypertension, and chronic diarrhea. A 24-h urine analysis showed renal excretion levels of Na+, K+, and Cl- at 6.0, 2.5, and 11.0 mmol, respectively, suggesting renal retention of these electrolytes. Meanwhile, the serum levels of Na+, K+, and Cl- were 136, 1.8, and 98 mEq/L, respectively, indicating a preserved balance of sodium and chloride but not potassium. This case underscores the importance of clinicians considering both liver cirrhosis-associated hypoxia and chronic liver disease-induced chronic diarrhea as potential underlying causes, especially when more common causes of hypokalemia have been excluded.

Abstract Image

Abstract Image

顽固性低钾血症合并呼吸性碱中毒和慢性腹泻,以运动无力为主要表现的慢性肝病1例。
大多数代偿性肝硬化患者仍然无症状。然而,随着失代偿的发生,电解质和酸碱紊乱在慢性肝病患者中很常见,包括低钾血症。我们遇到一个慢性肝病合并门静脉高压症的病例,主要表现为顽固性低钾血症、缺氧相关的呼吸性碱中毒和慢性腹泻引起的运动无力。病例介绍:一名54岁男性,因运动无力而被送往急诊室。他报告在过去的3个月里经历了用力性呼吸困难和水样腹泻,大约每天10次。动脉血气分析显示慢性呼吸性碱中毒伴缺氧、低碳酸血症。小管间钾梯度为1.69,醛固酮/肾素比值为17.6 (ng/dL)/(ng/mL/h)。患者有30年的历史,几乎每天饮用360- 720ml 20%酒精。腹部计算机断层扫描显示肝脏多发再生和发育不良结节,脾肿大,腹水,食管静脉曲张,肠弥漫性水肿壁增厚,提示门脉高压性肠病。肺部计算机断层扫描显示肺、胸膜或胸壁未见特异性异常。结论:我们报告一例肝硬化并发顽固性低钾血症、呼吸性碱中毒、门脉高压和慢性腹泻。24小时尿液分析显示,肾脏排泄Na+、K+和Cl-的水平分别为6.0、2.5和11.0 mmol,表明肾脏保留了这些电解质。同时,血清Na+、K+和Cl-水平分别为136、1.8和98 mEq/L,表明钠和氯化物保持平衡,而钾没有保持平衡。该病例强调了临床医生考虑肝硬化相关缺氧和慢性肝病引起的慢性腹泻作为潜在潜在原因的重要性,特别是在排除了更常见的低钾血症原因后。
本文章由计算机程序翻译,如有差异,请以英文原文为准。
求助全文
约1分钟内获得全文 求助全文
来源期刊
Case Reports in Gastroenterology
Case Reports in Gastroenterology Medicine-Gastroenterology
CiteScore
1.10
自引率
0.00%
发文量
99
审稿时长
7 weeks
期刊介绍:
×
引用
GB/T 7714-2015
复制
MLA
复制
APA
复制
导出至
BibTeX EndNote RefMan NoteFirst NoteExpress
×
提示
您的信息不完整,为了账户安全,请先补充。
现在去补充
×
提示
您因"违规操作"
具体请查看互助需知
我知道了
×
提示
确定
请完成安全验证×
copy
已复制链接
快去分享给好友吧!
我知道了
右上角分享
点击右上角分享
0
联系我们:info@booksci.cn Book学术提供免费学术资源搜索服务,方便国内外学者检索中英文文献。致力于提供最便捷和优质的服务体验。 Copyright © 2023 布克学术 All rights reserved.
京ICP备2023020795号-1
ghs 京公网安备 11010802042870号
Book学术文献互助
Book学术文献互助群
群 号:604180095
Book学术官方微信