L-Arginine Activates the Neuregulin-1/ErbB Receptor Signaling Pathway and Increases Utrophin mRNA Levels in C2C12 Cells.

IF 3.4 Q2 BIOCHEMICAL RESEARCH METHODS
Biochemistry Research International Pub Date : 2025-03-07 eCollection Date: 2025-01-01 DOI:10.1155/bri/2171745
Gladys Tapia, Sebastián Fuenzalida, Constanza Rivera, Pía Apablaza, Mónica Silva, Enrique Jaimovich, Nevenka Juretić
{"title":"L-Arginine Activates the Neuregulin-1/ErbB Receptor Signaling Pathway and Increases Utrophin mRNA Levels in C2C12 Cells.","authors":"Gladys Tapia, Sebastián Fuenzalida, Constanza Rivera, Pía Apablaza, Mónica Silva, Enrique Jaimovich, Nevenka Juretić","doi":"10.1155/bri/2171745","DOIUrl":null,"url":null,"abstract":"<p><p>L-arginine induces the expression of utrophin in skeletal muscle cells, so it has been proposed as a pharmacological treatment to attenuate the symptoms of Duchenne muscular dystrophy (DMD). On the other hand, it has been described that one of the pathways that participates in the expression of utrophin in muscle is the Neuregulin-1 (NRG-1)/ErbB receptors pathway. Several studies have postulated that disintegrin and metalloprotease-17 (ADAM17) causes the proteolytic processing of NRG of transmembrane, allowing the release of NRG to the medium, which when joining its ErbB receptor activates the signaling pathway that triggers utrophin transcription. The aim of this study was to evaluate the effect of L-arginine in the activation of NRG-1/ErbB pathway and utrophin mRNA levels in C2C12 cells, and the participation of ADAM17 in this process. Our results indicate that L-arginine induces phosphorylation of ErbB2 and increases utrophin mRNA levels in C2C12 myotubes, with a maximum increase of 2-fold at 4 h post-stimulation. This effect is not observed when the myotubes are stimulated in the presence of GM6001 (general metalloprotease inhibitor) or PD-158780 (specific inhibitor of ErbB receptor phosphorylation). Experiments performed by flow cytometry suggest that L-arginine stimulates ADAM17 activation in our study model. Furthermore, immunofluorescence analysis supports our findings that L-arginine stimulates ADAM17 increase in treated myotubes. However, our results using pharmacological inhibitors suggest that ADAM17 does not participate in utrophin expression in C2C12 cells treated with L-arginine. The results obtained help to clarify the mechanism of action of L-arginine in the expression of utrophin in muscle cells, which will contribute to the design of new therapeutic strategies in pathologies such as DMD.</p>","PeriodicalId":8826,"journal":{"name":"Biochemistry Research International","volume":"2025 ","pages":"2171745"},"PeriodicalIF":3.4000,"publicationDate":"2025-03-07","publicationTypes":"Journal Article","fieldsOfStudy":null,"isOpenAccess":false,"openAccessPdf":"https://www.ncbi.nlm.nih.gov/pmc/articles/PMC11991828/pdf/","citationCount":"0","resultStr":null,"platform":"Semanticscholar","paperid":null,"PeriodicalName":"Biochemistry Research International","FirstCategoryId":"1085","ListUrlMain":"https://doi.org/10.1155/bri/2171745","RegionNum":0,"RegionCategory":null,"ArticlePicture":[],"TitleCN":null,"AbstractTextCN":null,"PMCID":null,"EPubDate":"2025/1/1 0:00:00","PubModel":"eCollection","JCR":"Q2","JCRName":"BIOCHEMICAL RESEARCH METHODS","Score":null,"Total":0}
引用次数: 0

Abstract

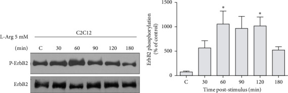
L-arginine induces the expression of utrophin in skeletal muscle cells, so it has been proposed as a pharmacological treatment to attenuate the symptoms of Duchenne muscular dystrophy (DMD). On the other hand, it has been described that one of the pathways that participates in the expression of utrophin in muscle is the Neuregulin-1 (NRG-1)/ErbB receptors pathway. Several studies have postulated that disintegrin and metalloprotease-17 (ADAM17) causes the proteolytic processing of NRG of transmembrane, allowing the release of NRG to the medium, which when joining its ErbB receptor activates the signaling pathway that triggers utrophin transcription. The aim of this study was to evaluate the effect of L-arginine in the activation of NRG-1/ErbB pathway and utrophin mRNA levels in C2C12 cells, and the participation of ADAM17 in this process. Our results indicate that L-arginine induces phosphorylation of ErbB2 and increases utrophin mRNA levels in C2C12 myotubes, with a maximum increase of 2-fold at 4 h post-stimulation. This effect is not observed when the myotubes are stimulated in the presence of GM6001 (general metalloprotease inhibitor) or PD-158780 (specific inhibitor of ErbB receptor phosphorylation). Experiments performed by flow cytometry suggest that L-arginine stimulates ADAM17 activation in our study model. Furthermore, immunofluorescence analysis supports our findings that L-arginine stimulates ADAM17 increase in treated myotubes. However, our results using pharmacological inhibitors suggest that ADAM17 does not participate in utrophin expression in C2C12 cells treated with L-arginine. The results obtained help to clarify the mechanism of action of L-arginine in the expression of utrophin in muscle cells, which will contribute to the design of new therapeutic strategies in pathologies such as DMD.

Abstract Image

Abstract Image

Abstract Image

l -精氨酸激活C2C12细胞中神经调节蛋白1/ErbB受体信号通路并增加Utrophin mRNA水平
l -精氨酸可诱导骨骼肌细胞中肌营养不良蛋白的表达,因此已被提出作为一种减轻杜氏肌营养不良症(DMD)症状的药物治疗方法。另一方面,有报道称肌肉中参与肌营养蛋白表达的途径之一是神经调节蛋白-1 (Neuregulin-1, NRG-1)/ErbB受体途径。一些研究假设,解体素和金属蛋白酶17 (ADAM17)引起跨膜NRG的蛋白水解加工,使NRG释放到介质中,当NRG与其ErbB受体结合时,激活触发富营养因子转录的信号通路。本研究旨在探讨l -精氨酸对C2C12细胞NRG-1/ErbB通路激活和富营养蛋白mRNA水平的影响,以及ADAM17在这一过程中的参与情况。我们的研究结果表明,l -精氨酸诱导ErbB2磷酸化,增加C2C12肌管中肌营养蛋白mRNA水平,在刺激后4小时最大增加2倍。当肌管受到GM6001(一般金属蛋白酶抑制剂)或PD-158780 (ErbB受体磷酸化特异性抑制剂)的刺激时,没有观察到这种效应。流式细胞术实验表明,l -精氨酸在我们的研究模型中刺激ADAM17的激活。此外,免疫荧光分析支持我们的发现,即l -精氨酸刺激治疗后的肌管ADAM17增加。然而,我们使用药物抑制剂的结果表明,ADAM17不参与l -精氨酸处理的C2C12细胞中utrophin的表达。这些结果有助于阐明l -精氨酸在肌细胞中肌营养因子表达中的作用机制,这将有助于设计新的治疗策略,如DMD等病理。
本文章由计算机程序翻译,如有差异,请以英文原文为准。
求助全文
约1分钟内获得全文 求助全文
来源期刊
Biochemistry Research International
Biochemistry Research International BIOCHEMICAL RESEARCH METHODS-
CiteScore
6.30
自引率
0.00%
发文量
27
审稿时长
14 weeks
×
引用
GB/T 7714-2015
复制
MLA
复制
APA
复制
导出至
BibTeX EndNote RefMan NoteFirst NoteExpress
×
提示
您的信息不完整,为了账户安全,请先补充。
现在去补充
×
提示
您因"违规操作"
具体请查看互助需知
我知道了
×
提示
确定
请完成安全验证×
copy
已复制链接
快去分享给好友吧!
我知道了
右上角分享
点击右上角分享
0
联系我们:info@booksci.cn Book学术提供免费学术资源搜索服务,方便国内外学者检索中英文文献。致力于提供最便捷和优质的服务体验。 Copyright © 2023 布克学术 All rights reserved.
京ICP备2023020795号-1
ghs 京公网安备 11010802042870号
Book学术文献互助
Book学术文献互助群
群 号:604180095
Book学术官方微信