Successful Treatment of Innumerable Untreated Brain Metastases With Trastuzumab Deruxtecan in Chemotherapy-Naïve HER2-Mutated Non-Small-Cell Lung Cancer.

IF 0.6 Q4 ONCOLOGY
Case Reports in Oncological Medicine Pub Date : 2025-04-23 eCollection Date: 2025-01-01 DOI:10.1155/crom/9936011
Sara Young, Sean C Dougherty, Angela M DeRidder, Camilo E Fadul, Ryan D Gentzler
{"title":"Successful Treatment of Innumerable Untreated Brain Metastases With Trastuzumab Deruxtecan in Chemotherapy-Naïve HER2-Mutated Non-Small-Cell Lung Cancer.","authors":"Sara Young, Sean C Dougherty, Angela M DeRidder, Camilo E Fadul, Ryan D Gentzler","doi":"10.1155/crom/9936011","DOIUrl":null,"url":null,"abstract":"<p><p>In non-small-cell lung cancer (NSCLC), activating human epidermal growth factor receptor 2 (HER2) mutations are found in a small subset of patients and are associated with a higher incidence of brain metastases (BMETSs), conferring poor survival outcomes. Trastuzumab deruxtecan (T-DXd) was recently approved as a second-line agent for use in patients with previously treated, unresectable, or metastatic HER2-mutated NSCLC. We present a case of HER2-mutated NSCLC with BMETS, treated with T-DXd to defer whole-brain radiotherapy (WBRT) because of the concern of long-term neurotoxicity. He initially also received bevacizumab to address the cerebral edema, which allowed stopping corticosteroids. After the first two doses, the patient had remarkable clinical and imaging (brain and systemic) responses without progression after more than 1 year of treatment. T-DXd may be an effective and durable therapy for patients with HER2-mutated NSCLC with brain metastases in situations where intracranial disease would otherwise warrant WBRT. Clinical trials are needed to understand the efficacy and durability of T-DXd in NSCLC with BMETS and the optimal sequence of available therapies.</p>","PeriodicalId":9636,"journal":{"name":"Case Reports in Oncological Medicine","volume":"2025 ","pages":"9936011"},"PeriodicalIF":0.6000,"publicationDate":"2025-04-23","publicationTypes":"Journal Article","fieldsOfStudy":null,"isOpenAccess":false,"openAccessPdf":"https://www.ncbi.nlm.nih.gov/pmc/articles/PMC12043382/pdf/","citationCount":"0","resultStr":null,"platform":"Semanticscholar","paperid":null,"PeriodicalName":"Case Reports in Oncological Medicine","FirstCategoryId":"1085","ListUrlMain":"https://doi.org/10.1155/crom/9936011","RegionNum":0,"RegionCategory":null,"ArticlePicture":[],"TitleCN":null,"AbstractTextCN":null,"PMCID":null,"EPubDate":"2025/1/1 0:00:00","PubModel":"eCollection","JCR":"Q4","JCRName":"ONCOLOGY","Score":null,"Total":0}
引用次数: 0

Abstract

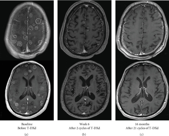
In non-small-cell lung cancer (NSCLC), activating human epidermal growth factor receptor 2 (HER2) mutations are found in a small subset of patients and are associated with a higher incidence of brain metastases (BMETSs), conferring poor survival outcomes. Trastuzumab deruxtecan (T-DXd) was recently approved as a second-line agent for use in patients with previously treated, unresectable, or metastatic HER2-mutated NSCLC. We present a case of HER2-mutated NSCLC with BMETS, treated with T-DXd to defer whole-brain radiotherapy (WBRT) because of the concern of long-term neurotoxicity. He initially also received bevacizumab to address the cerebral edema, which allowed stopping corticosteroids. After the first two doses, the patient had remarkable clinical and imaging (brain and systemic) responses without progression after more than 1 year of treatment. T-DXd may be an effective and durable therapy for patients with HER2-mutated NSCLC with brain metastases in situations where intracranial disease would otherwise warrant WBRT. Clinical trials are needed to understand the efficacy and durability of T-DXd in NSCLC with BMETS and the optimal sequence of available therapies.

Abstract Image

Abstract Image

Abstract Image

曲妥珠单抗在Chemotherapy-Naïve her2突变的非小细胞肺癌中成功治疗无数未经治疗的脑转移瘤
在非小细胞肺癌(NSCLC)中,在一小部分患者中发现了活化的人表皮生长因子受体2 (HER2)突变,并与较高的脑转移(bmets)发生率相关,从而导致较差的生存结果。Trastuzumab deruxtecan (T-DXd)最近被批准作为二线药物用于先前治疗过的,不可切除的或转移性her2突变的NSCLC患者。我们报告了一例her2突变的非小细胞肺癌合并BMETS,由于担心长期神经毒性,使用T-DXd延迟全脑放疗(WBRT)治疗。他最初也接受了贝伐单抗治疗脑水肿,这使得他可以停止使用皮质类固醇。在前两次剂量后,患者有显著的临床和影像学(脑和全身)反应,治疗1年后无进展。对于颅内疾病需要WBRT治疗的her2突变NSCLC脑转移患者,T-DXd可能是一种有效且持久的治疗方法。需要临床试验来了解T-DXd治疗合并BMETS的NSCLC的疗效和持久性,以及现有治疗的最佳顺序。
本文章由计算机程序翻译,如有差异,请以英文原文为准。
求助全文
约1分钟内获得全文 求助全文
来源期刊
自引率
0.00%
发文量
11
审稿时长
16 weeks
期刊介绍: Case Reports in Oncological Medicine is a peer-reviewed, Open Access journal that publishes case reports and case series related to breast cancer, lung cancer, gastrointestinal cancer, skin cancer, head and neck cancer, paediatric oncology, neurooncology as well as genitourinary cancer.
×
引用
GB/T 7714-2015
复制
MLA
复制
APA
复制
导出至
BibTeX EndNote RefMan NoteFirst NoteExpress
×
提示
您的信息不完整,为了账户安全,请先补充。
现在去补充
×
提示
您因"违规操作"
具体请查看互助需知
我知道了
×
提示
确定
请完成安全验证×
copy
已复制链接
快去分享给好友吧!
我知道了
右上角分享
点击右上角分享
0
联系我们:info@booksci.cn Book学术提供免费学术资源搜索服务,方便国内外学者检索中英文文献。致力于提供最便捷和优质的服务体验。 Copyright © 2023 布克学术 All rights reserved.
京ICP备2023020795号-1
ghs 京公网安备 11010802042870号
Book学术文献互助
Book学术文献互助群
群 号:604180095
Book学术官方微信