Challenges in Diagnosis and Treatment of Achalasia Cardia in Uganda: A Case Report of an Adolescent Female Presenting With Dysphagia.

IF 0.5 Q4 SURGERY
Case Reports in Surgery Pub Date : 2025-03-11 eCollection Date: 2025-01-01 DOI:10.1155/cris/5527940
Tracy Tushabe Namata, Deogratius Bakulumpagi, Anna Nyisomeh, Davis Nsamba, Brian Bbosa, Didas Mugisa
{"title":"Challenges in Diagnosis and Treatment of Achalasia Cardia in Uganda: A Case Report of an Adolescent Female Presenting With Dysphagia.","authors":"Tracy Tushabe Namata, Deogratius Bakulumpagi, Anna Nyisomeh, Davis Nsamba, Brian Bbosa, Didas Mugisa","doi":"10.1155/cris/5527940","DOIUrl":null,"url":null,"abstract":"<p><p><b>Background:</b> Our case highlights the challenges in diagnosing and managing achalasia cardia, particularly in resource-limited settings and more so in adolescents who fall outside of the typical age range. <b>Case Presentation:</b> We present a case of an 18-year-old female from Uganda who was admitted with a 6-month history of progressive dysphagia, weight loss, and postprandial vomiting. Diagnosis of achalasia cardia was confirmed via endoscopy and barium swallow. Heller cardiomyotomy via open transthoracic approach was performed, but she developed an esophageal perforation, which was successfully managed with repeat thoracotomy and esophageal repair. Complete resolution of achalasia symptoms was achieved at a 5-month follow-up. <b>Conclusion:</b> This case highlights the importance of maintaining a high index of clinical suspicion, especially in young patients, and the significance of informed consent prior to initiating treatment. Additionally, it emphasizes the importance of early recognition of treatment-related complications, such as esophageal perforation, as key to prompt management and improved patient outcomes.</p>","PeriodicalId":9600,"journal":{"name":"Case Reports in Surgery","volume":"2025 ","pages":"5527940"},"PeriodicalIF":0.5000,"publicationDate":"2025-03-11","publicationTypes":"Journal Article","fieldsOfStudy":null,"isOpenAccess":false,"openAccessPdf":"https://www.ncbi.nlm.nih.gov/pmc/articles/PMC11991763/pdf/","citationCount":"0","resultStr":null,"platform":"Semanticscholar","paperid":null,"PeriodicalName":"Case Reports in Surgery","FirstCategoryId":"1085","ListUrlMain":"https://doi.org/10.1155/cris/5527940","RegionNum":0,"RegionCategory":null,"ArticlePicture":[],"TitleCN":null,"AbstractTextCN":null,"PMCID":null,"EPubDate":"2025/1/1 0:00:00","PubModel":"eCollection","JCR":"Q4","JCRName":"SURGERY","Score":null,"Total":0}
引用次数: 0

Abstract

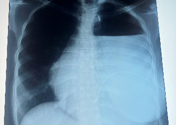
Background: Our case highlights the challenges in diagnosing and managing achalasia cardia, particularly in resource-limited settings and more so in adolescents who fall outside of the typical age range. Case Presentation: We present a case of an 18-year-old female from Uganda who was admitted with a 6-month history of progressive dysphagia, weight loss, and postprandial vomiting. Diagnosis of achalasia cardia was confirmed via endoscopy and barium swallow. Heller cardiomyotomy via open transthoracic approach was performed, but she developed an esophageal perforation, which was successfully managed with repeat thoracotomy and esophageal repair. Complete resolution of achalasia symptoms was achieved at a 5-month follow-up. Conclusion: This case highlights the importance of maintaining a high index of clinical suspicion, especially in young patients, and the significance of informed consent prior to initiating treatment. Additionally, it emphasizes the importance of early recognition of treatment-related complications, such as esophageal perforation, as key to prompt management and improved patient outcomes.

Abstract Image

Abstract Image

Abstract Image

乌干达贲门失弛缓症诊断和治疗的挑战:一例以吞咽困难为表现的青春期女性病例报告。
背景:我们的病例强调了贲门失弛缓症的诊断和治疗的挑战,特别是在资源有限的环境中,尤其是在典型年龄范围之外的青少年中。病例介绍:我们报告一名来自乌干达的18岁女性,因6个月进行性吞咽困难、体重减轻和餐后呕吐而入院。贲门失弛缓症经内镜及钡餐证实。经开胸入路行Heller心肌切开术,但她出现食管穿孔,经反复开胸和食管修复成功处理。在5个月的随访中,贲门失弛缓症症状完全消失。结论:本病例强调了保持高临床怀疑指数的重要性,特别是在年轻患者中,以及在开始治疗前知情同意的重要性。此外,它强调了早期识别治疗相关并发症(如食管穿孔)的重要性,这是及时管理和改善患者预后的关键。
本文章由计算机程序翻译,如有差异,请以英文原文为准。
求助全文
约1分钟内获得全文 求助全文
来源期刊
自引率
0.00%
发文量
60
审稿时长
13 weeks
×
引用
GB/T 7714-2015
复制
MLA
复制
APA
复制
导出至
BibTeX EndNote RefMan NoteFirst NoteExpress
×
提示
您的信息不完整,为了账户安全,请先补充。
现在去补充
×
提示
您因"违规操作"
具体请查看互助需知
我知道了
×
提示
确定
请完成安全验证×
copy
已复制链接
快去分享给好友吧!
我知道了
右上角分享
点击右上角分享
0
联系我们:info@booksci.cn Book学术提供免费学术资源搜索服务,方便国内外学者检索中英文文献。致力于提供最便捷和优质的服务体验。 Copyright © 2023 布克学术 All rights reserved.
京ICP备2023020795号-1
ghs 京公网安备 11010802042870号
Book学术文献互助
Book学术文献互助群
群 号:604180095
Book学术官方微信