Cryptococcal meningitis due to Cryptococcus neoformans VNI in a koala (Phascolarctos cinereus) with progressive neurological disease.

IF 1.7 4区 农林科学 Q2 VETERINARY SCIENCES
Australian Veterinary Journal Pub Date : 2025-08-01 Epub Date: 2025-04-22 DOI:10.1111/avj.13446
A Teh, R Crisman, E Dwars, R Malik, L H de Miranda, W Meyer, M Krockenberger
{"title":"Cryptococcal meningitis due to Cryptococcus neoformans VNI in a koala (Phascolarctos cinereus) with progressive neurological disease.","authors":"A Teh, R Crisman, E Dwars, R Malik, L H de Miranda, W Meyer, M Krockenberger","doi":"10.1111/avj.13446","DOIUrl":null,"url":null,"abstract":"<p><p>Nearly all cases of cryptococcosis in koalas are caused by Cryptococcus gattii species complex. A rare case of meningitis due to Cryptococcus neoformans VNI/AFLP1 (abbreviated VNI) is described in a koala with nasal colonisation by both species complexes. An eight-year-old koala in a wildlife park presented for seizures and returned a positive latex cryptococcal antigen agglutination test. The koala was euthanased due to the severity of disease, and a post-mortem computed tomography study showed mild mucosal thickening of the right nasal turbinates. The necropsy also showed slightly turbid cisternal cerebrospinal fluid and meningeal opacity. Histology revealed severe granulomatous cryptococcal meningitis and paucireactive right cryptococcal rhinitis. Fungal cultures yielded heavy pure growths of C. neoformans from the brain and spinal cord, and comparable heavy growths of both C. neoformans and C. gattii from the nasal cavity. Cryptococcus species complexes were identified by mass spectrometry (MALDI-TOF) and multi-locus sequence typing (MLST). The C. neoformans isolates from the brain, spinal cord and nasal cavity were identical by MLST and classified as sequencing type (ST) 23 and molecular type (MT) VNI. The C. gattii isolates were classified as ST 51 and AFLP4/VGI (abbreviated VGI). This suggests that the meningitis developed as an extension of C. neoformans VNI from nasal cavity colonisation. This is the second documented case of central nervous system (CNS) cryptococcosis due to C. neoformans species complex in a koala and the first in Australia. Despite heavy nasal colonisation by C. gattii, only the C. neoformans isolate progressed to meningitis.</p>","PeriodicalId":8661,"journal":{"name":"Australian Veterinary Journal","volume":" ","pages":"487-493"},"PeriodicalIF":1.7000,"publicationDate":"2025-08-01","publicationTypes":"Journal Article","fieldsOfStudy":null,"isOpenAccess":false,"openAccessPdf":"https://www.ncbi.nlm.nih.gov/pmc/articles/PMC12331396/pdf/","citationCount":"0","resultStr":null,"platform":"Semanticscholar","paperid":null,"PeriodicalName":"Australian Veterinary Journal","FirstCategoryId":"97","ListUrlMain":"https://doi.org/10.1111/avj.13446","RegionNum":4,"RegionCategory":"农林科学","ArticlePicture":[],"TitleCN":null,"AbstractTextCN":null,"PMCID":null,"EPubDate":"2025/4/22 0:00:00","PubModel":"Epub","JCR":"Q2","JCRName":"VETERINARY SCIENCES","Score":null,"Total":0}
引用次数: 0

Abstract

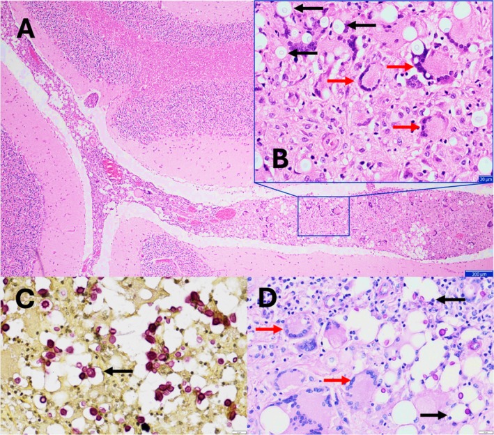
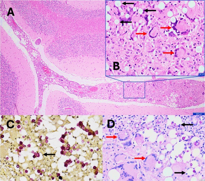
Nearly all cases of cryptococcosis in koalas are caused by Cryptococcus gattii species complex. A rare case of meningitis due to Cryptococcus neoformans VNI/AFLP1 (abbreviated VNI) is described in a koala with nasal colonisation by both species complexes. An eight-year-old koala in a wildlife park presented for seizures and returned a positive latex cryptococcal antigen agglutination test. The koala was euthanased due to the severity of disease, and a post-mortem computed tomography study showed mild mucosal thickening of the right nasal turbinates. The necropsy also showed slightly turbid cisternal cerebrospinal fluid and meningeal opacity. Histology revealed severe granulomatous cryptococcal meningitis and paucireactive right cryptococcal rhinitis. Fungal cultures yielded heavy pure growths of C. neoformans from the brain and spinal cord, and comparable heavy growths of both C. neoformans and C. gattii from the nasal cavity. Cryptococcus species complexes were identified by mass spectrometry (MALDI-TOF) and multi-locus sequence typing (MLST). The C. neoformans isolates from the brain, spinal cord and nasal cavity were identical by MLST and classified as sequencing type (ST) 23 and molecular type (MT) VNI. The C. gattii isolates were classified as ST 51 and AFLP4/VGI (abbreviated VGI). This suggests that the meningitis developed as an extension of C. neoformans VNI from nasal cavity colonisation. This is the second documented case of central nervous system (CNS) cryptococcosis due to C. neoformans species complex in a koala and the first in Australia. Despite heavy nasal colonisation by C. gattii, only the C. neoformans isolate progressed to meningitis.

Abstract Image

Abstract Image

Abstract Image

Abstract Image

Abstract Image

Abstract Image

伴有进行性神经系统疾病的无尾熊(Phascolarctos cinereus)由新型隐球菌引起的隐球菌脑膜炎。
几乎所有的考拉隐球菌病病例都是由加蒂隐球菌引起的。一例罕见的由新型隐球菌VNI/AFLP1(简称VNI)引起的脑膜炎病例描述了一只考拉鼻腔定植的两种物种复合物。一只八岁的考拉在野生动物园出现癫痫发作,并返回阳性乳胶隐球菌抗原凝集试验。由于疾病的严重程度,考拉被安乐死,死后的计算机断层扫描研究显示右鼻甲骨轻度粘膜增厚。尸检还显示池脑脊液轻度混浊和脑膜混浊。组织学表现为严重的肉芽肿性隐球菌性脑膜炎和少反应性右侧隐球菌性鼻炎。真菌培养在大脑和脊髓中产生大量纯粹的新生C.,而在鼻腔中新生C.和加蒂C.都有相当数量的生长。采用质谱法(MALDI-TOF)和多位点序列分型(MLST)对隐球菌的种类进行鉴定。从脑、脊髓和鼻腔分离的新生C.虫经MLST鉴定为序列型(ST) 23和分子型(MT) VNI。gatti分离株被分类为ST 51和AFLP4/VGI(简称VGI)。这表明脑膜炎是由鼻腔定植的新型C. VNI的延伸而发展的。这是记录在案的第二例由新生隐球菌引起的考拉中枢神经系统隐球菌病,也是澳大利亚首例。尽管有大量加蒂梭菌在鼻腔定植,但只有分离的新生梭菌发展为脑膜炎。
本文章由计算机程序翻译,如有差异,请以英文原文为准。
求助全文
约1分钟内获得全文 求助全文
来源期刊
Australian Veterinary Journal
Australian Veterinary Journal 农林科学-兽医学
CiteScore
2.40
自引率
0.00%
发文量
85
审稿时长
18-36 weeks
期刊介绍: Over the past 80 years, the Australian Veterinary Journal (AVJ) has been providing the veterinary profession with leading edge clinical and scientific research, case reports, reviews. news and timely coverage of industry issues. AJV is Australia''s premier veterinary science text and is distributed monthly to over 5,500 Australian Veterinary Association members and subscribers.
×
引用
GB/T 7714-2015
复制
MLA
复制
APA
复制
导出至
BibTeX EndNote RefMan NoteFirst NoteExpress
×
提示
您的信息不完整,为了账户安全,请先补充。
现在去补充
×
提示
您因"违规操作"
具体请查看互助需知
我知道了
×
提示
确定
请完成安全验证×
copy
已复制链接
快去分享给好友吧!
我知道了
右上角分享
点击右上角分享
0
联系我们:info@booksci.cn Book学术提供免费学术资源搜索服务,方便国内外学者检索中英文文献。致力于提供最便捷和优质的服务体验。 Copyright © 2023 布克学术 All rights reserved.
京ICP备2023020795号-1
ghs 京公网安备 11010802042870号
Book学术文献互助
Book学术文献互助群
群 号:604180095
Book学术官方微信