Ascending Colon Volvulus: The Enigma of Double Gastric Bubble.

IF 0.5 Q4 SURGERY
Case Reports in Surgery Pub Date : 2025-04-17 eCollection Date: 2025-01-01 DOI:10.1155/cris/9531608
Paschalis Gavriilidis, Pantelis Xanthakos
{"title":"Ascending Colon Volvulus: The Enigma of Double Gastric Bubble.","authors":"Paschalis Gavriilidis, Pantelis Xanthakos","doi":"10.1155/cris/9531608","DOIUrl":null,"url":null,"abstract":"<p><p><b>Introduction:</b> Volvulus of the caecum, ascending colon and first third of the transverse colon is a very rare surgical emergency. Timely diagnosis and intervention can avert serious complications. <b>Case Report:</b> A 54-year-old woman presented to the emergency department with colicky epigastric pain radiating to the left iliac fossa that lasted for 12 h. Vital signs were stable upon arrival at the hospital. Physical examination revealed that left abdomen and suprapubic fullness and bowel sounds were recorded, and rebound tests were negative. Laboratory results were neutrophils: 78% (35%-72%), lymphocytes: 16% (20%-45%), HB: 11 g/dL (12-16), HCT: 33% (36%-48%); all the rest were normal. Furthermore, computed tomography revealed a distended close of the large bowel extending from the left hypochondrium to the left iliac fossa. During explorative laparotomy, volvulus of the first third of the transverse, ascending colon and caecum was detected. Because the viability of the bowel wall was compromised, right extended hemicolectomy was performed with consequent ileotransverse anastomosis. The postoperative period was uneventful, and the patient was discharged on the fourth postoperative day. <b>Conclusions:</b> Expeditious diagnosis and early intervention of very rare surgical emergencies such as ascending colon volvulus may avert disastrous complications.</p>","PeriodicalId":9600,"journal":{"name":"Case Reports in Surgery","volume":"2025 ","pages":"9531608"},"PeriodicalIF":0.5000,"publicationDate":"2025-04-17","publicationTypes":"Journal Article","fieldsOfStudy":null,"isOpenAccess":false,"openAccessPdf":"https://www.ncbi.nlm.nih.gov/pmc/articles/PMC12021480/pdf/","citationCount":"0","resultStr":null,"platform":"Semanticscholar","paperid":null,"PeriodicalName":"Case Reports in Surgery","FirstCategoryId":"1085","ListUrlMain":"https://doi.org/10.1155/cris/9531608","RegionNum":0,"RegionCategory":null,"ArticlePicture":[],"TitleCN":null,"AbstractTextCN":null,"PMCID":null,"EPubDate":"2025/1/1 0:00:00","PubModel":"eCollection","JCR":"Q4","JCRName":"SURGERY","Score":null,"Total":0}
引用次数: 0

Abstract

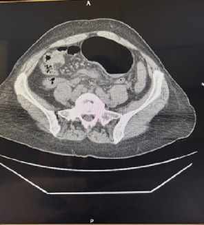
Introduction: Volvulus of the caecum, ascending colon and first third of the transverse colon is a very rare surgical emergency. Timely diagnosis and intervention can avert serious complications. Case Report: A 54-year-old woman presented to the emergency department with colicky epigastric pain radiating to the left iliac fossa that lasted for 12 h. Vital signs were stable upon arrival at the hospital. Physical examination revealed that left abdomen and suprapubic fullness and bowel sounds were recorded, and rebound tests were negative. Laboratory results were neutrophils: 78% (35%-72%), lymphocytes: 16% (20%-45%), HB: 11 g/dL (12-16), HCT: 33% (36%-48%); all the rest were normal. Furthermore, computed tomography revealed a distended close of the large bowel extending from the left hypochondrium to the left iliac fossa. During explorative laparotomy, volvulus of the first third of the transverse, ascending colon and caecum was detected. Because the viability of the bowel wall was compromised, right extended hemicolectomy was performed with consequent ileotransverse anastomosis. The postoperative period was uneventful, and the patient was discharged on the fourth postoperative day. Conclusions: Expeditious diagnosis and early intervention of very rare surgical emergencies such as ascending colon volvulus may avert disastrous complications.

Abstract Image

Abstract Image

Abstract Image

升结肠扭转:双胃泡之谜。
前言:盲肠、升结肠和横结肠前三分之一扭转是一种非常罕见的外科急症。及时诊断和干预可避免严重并发症。病例报告:一名54岁女性,因腹绞痛性上腹痛放射至左髂窝,持续12小时而就诊于急诊科。到达医院时生命体征稳定。体格检查显示左腹部和耻骨上充盈和肠音记录,反跳试验阴性。实验室结果:中性粒细胞:78%(35% ~ 72%),淋巴细胞:16% (20% ~ 45%),HB: 11 g/dL (12 ~ 16), HCT: 33% (36% ~ 48%);其余的都很正常。此外,计算机断层扫描显示大肠膨胀闭合,从左肋软骨延伸至左髂窝。剖腹探查时,发现横结肠、升结肠、盲肠前三分之一扭转。由于肠壁的生存能力受到损害,我们进行了右侧延伸半结肠切除术,随后进行了回肠横断吻合。术后顺利,患者于术后第4天出院。结论:对升结肠扭转等非常罕见的外科急症及时诊断和早期干预可避免严重并发症的发生。
本文章由计算机程序翻译,如有差异,请以英文原文为准。
求助全文
约1分钟内获得全文 求助全文
来源期刊
自引率
0.00%
发文量
60
审稿时长
13 weeks
×
引用
GB/T 7714-2015
复制
MLA
复制
APA
复制
导出至
BibTeX EndNote RefMan NoteFirst NoteExpress
×
提示
您的信息不完整,为了账户安全,请先补充。
现在去补充
×
提示
您因"违规操作"
具体请查看互助需知
我知道了
×
提示
确定
请完成安全验证×
copy
已复制链接
快去分享给好友吧!
我知道了
右上角分享
点击右上角分享
0
联系我们:info@booksci.cn Book学术提供免费学术资源搜索服务,方便国内外学者检索中英文文献。致力于提供最便捷和优质的服务体验。 Copyright © 2023 布克学术 All rights reserved.
京ICP备2023020795号-1
ghs 京公网安备 11010802042870号
Book学术文献互助
Book学术文献互助群
群 号:604180095
Book学术官方微信