Presumed Choroidal Metastasis of Primary Cutaneous Melanoma: A Case Report.

IF 0.6 Q4 OPHTHALMOLOGY
Case Reports in Ophthalmology Pub Date : 2025-03-24 eCollection Date: 2025-01-01 DOI:10.1159/000544879
Teele Palumaa, Artur Klett
{"title":"Presumed Choroidal Metastasis of Primary Cutaneous Melanoma: A Case Report.","authors":"Teele Palumaa, Artur Klett","doi":"10.1159/000544879","DOIUrl":null,"url":null,"abstract":"<p><strong>Introduction: </strong>Choroidal metastases most often originate from breast tumors in females and lung cancer in males. Primary cutaneous tumors rarely metastasize to the uveal tract.</p><p><strong>Case presentation: </strong>Here, we present a rare case of a 47-year-old female patient who was clinically diagnosed with a presumed choroidal metastasis of primary cutaneous melanoma. The patient presented with complaints of decreased vision in her right eye. Her best corrected visual acuity (BCVA) was 0.7 decimal in the right eye and 1.0 in the left eye. Examination revealed a pigmented choroidal lesion in the parafoveal region with a prominence of 2.9 mm, orange pigment on the surface, and subretinal fluid in its projection. She had no history of active malignancy, but at the age of 36, a localized stage IB cutaneous melanoma was removed from her back. Yearly follow-up visits at the dermatologist showed no evidence of active disease. Upon diagnosis of a choroidal tumor, the patient underwent brachytherapy with a ruthenium-106 plaque in the right eye. Follow-up at the oncologist revealed a widespread disease with metastases in distant lymph nodes, liver, lung, pancreas, and brain, an uncommon pattern for primary choroidal melanomas, resembling rather the metastasis pattern of primary cutaneous melanoma. The patient was started on systemic therapy against metastatic cutaneous melanoma. At 21 months after brachytherapy and 19 months after the initiation of systemic anticancer therapy, the patient's BCVA in the right eye returned to 1.0 decimal, the choroidal lesion reduced in size, and subretinal fluid receded. Two years after the initial presentation, all metastases were stable or decreased in size.</p><p><strong>Conclusion: </strong>This case highlights the possibility of a choroidal metastasis of cutaneous melanoma more than a decade after the first presentation of the disease and highlights the effectiveness of combined brachytherapy and systemic anticancer therapy in managing the disease.</p>","PeriodicalId":9635,"journal":{"name":"Case Reports in Ophthalmology","volume":"16 1","pages":"267-273"},"PeriodicalIF":0.6000,"publicationDate":"2025-03-24","publicationTypes":"Journal Article","fieldsOfStudy":null,"isOpenAccess":false,"openAccessPdf":"https://www.ncbi.nlm.nih.gov/pmc/articles/PMC12002729/pdf/","citationCount":"0","resultStr":null,"platform":"Semanticscholar","paperid":null,"PeriodicalName":"Case Reports in Ophthalmology","FirstCategoryId":"1085","ListUrlMain":"https://doi.org/10.1159/000544879","RegionNum":0,"RegionCategory":null,"ArticlePicture":[],"TitleCN":null,"AbstractTextCN":null,"PMCID":null,"EPubDate":"2025/1/1 0:00:00","PubModel":"eCollection","JCR":"Q4","JCRName":"OPHTHALMOLOGY","Score":null,"Total":0}
引用次数: 0

Abstract

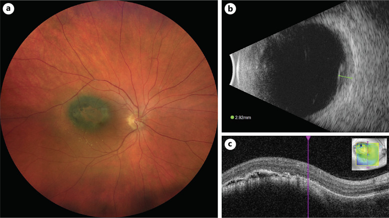
Introduction: Choroidal metastases most often originate from breast tumors in females and lung cancer in males. Primary cutaneous tumors rarely metastasize to the uveal tract.

Case presentation: Here, we present a rare case of a 47-year-old female patient who was clinically diagnosed with a presumed choroidal metastasis of primary cutaneous melanoma. The patient presented with complaints of decreased vision in her right eye. Her best corrected visual acuity (BCVA) was 0.7 decimal in the right eye and 1.0 in the left eye. Examination revealed a pigmented choroidal lesion in the parafoveal region with a prominence of 2.9 mm, orange pigment on the surface, and subretinal fluid in its projection. She had no history of active malignancy, but at the age of 36, a localized stage IB cutaneous melanoma was removed from her back. Yearly follow-up visits at the dermatologist showed no evidence of active disease. Upon diagnosis of a choroidal tumor, the patient underwent brachytherapy with a ruthenium-106 plaque in the right eye. Follow-up at the oncologist revealed a widespread disease with metastases in distant lymph nodes, liver, lung, pancreas, and brain, an uncommon pattern for primary choroidal melanomas, resembling rather the metastasis pattern of primary cutaneous melanoma. The patient was started on systemic therapy against metastatic cutaneous melanoma. At 21 months after brachytherapy and 19 months after the initiation of systemic anticancer therapy, the patient's BCVA in the right eye returned to 1.0 decimal, the choroidal lesion reduced in size, and subretinal fluid receded. Two years after the initial presentation, all metastases were stable or decreased in size.

Conclusion: This case highlights the possibility of a choroidal metastasis of cutaneous melanoma more than a decade after the first presentation of the disease and highlights the effectiveness of combined brachytherapy and systemic anticancer therapy in managing the disease.

Abstract Image

Abstract Image

原发性皮肤黑色素瘤的脉络膜转移:1例报告。
脉络膜转移最常起源于女性乳腺肿瘤和男性肺癌。原发性皮肤肿瘤很少转移到葡萄膜束。病例介绍:在此,我们报告一例罕见的47岁女性患者,临床诊断为原发性皮肤黑色素瘤的脉络膜转移。病人主诉右眼视力下降。其最佳矫正视力(BCVA)为右眼0.7分位,左眼1.0分位。检查发现在中央凹旁区有一个色素沉着的脉络膜病变,突出2.9 mm,表面有橙色色素,其投影处有视网膜下积液。她没有活动性恶性肿瘤病史,但在36岁时,从她的背部切除了局部IB期皮肤黑色素瘤。每年对皮肤科医生的随访显示没有活动性疾病的证据。在诊断出脉络膜肿瘤后,患者在右眼接受了近距离治疗,并植入了钌-106斑块。在肿瘤学家的随访中发现,这种疾病广泛存在于远处淋巴结、肝脏、肺、胰腺和脑的转移,这是原发性脉络膜黑色素瘤的一种不常见的模式,与原发性皮肤黑色素瘤的转移模式相似。患者开始接受针对转移性皮肤黑色素瘤的全身治疗。在近距离放疗21个月和开始全身抗癌治疗19个月后,患者右眼BCVA恢复到1.0十进制,脉络膜病变缩小,视网膜下积液减少。首次出现后两年,所有转移灶均稳定或缩小。结论:该病例强调了皮肤黑色素瘤首次出现十多年后发生脉膜转移的可能性,并强调了近距离放疗和全身抗癌治疗在治疗该疾病方面的有效性。
本文章由计算机程序翻译,如有差异,请以英文原文为准。
求助全文
约1分钟内获得全文 求助全文
来源期刊
CiteScore
0.90
自引率
0.00%
发文量
129
审稿时长
12 weeks
期刊介绍: This peer-reviewed online-only journal publishes original case reports covering the entire spectrum of ophthalmology, including prevention, diagnosis, treatment, toxicities of therapy, supportive care, quality-of-life, and survivorship issues. The submission of negative results is strongly encouraged. The journal will also accept case reports dealing with the use of novel technologies, both in the arena of diagnosis and treatment. Supplementary material is welcomed. The intent of the journal is to provide clinicians and researchers with a tool to disseminate their personal experiences to a wider public as well as to review interesting cases encountered by colleagues all over the world. Universally used terms can be searched across the entire growing collection of case reports, further facilitating the retrieval of specific information. Following the open access principle, the entire contents can be retrieved at no charge, guaranteeing easy access to this valuable source of anecdotal information at all times.
×
引用
GB/T 7714-2015
复制
MLA
复制
APA
复制
导出至
BibTeX EndNote RefMan NoteFirst NoteExpress
×
提示
您的信息不完整,为了账户安全,请先补充。
现在去补充
×
提示
您因"违规操作"
具体请查看互助需知
我知道了
×
提示
确定
请完成安全验证×
copy
已复制链接
快去分享给好友吧!
我知道了
右上角分享
点击右上角分享
0
联系我们:info@booksci.cn Book学术提供免费学术资源搜索服务,方便国内外学者检索中英文文献。致力于提供最便捷和优质的服务体验。 Copyright © 2023 布克学术 All rights reserved.
京ICP备2023020795号-1
ghs 京公网安备 11010802042870号
Book学术文献互助
Book学术文献互助群
群 号:604180095
Book学术官方微信